ARG45297
anti-C18orf22 / RBFA antibody
anti-C18orf22 / RBFA antibody for Flow cytometry,ICC/IF,IHC-Formalin-fixed paraffin-embedded sections,Western blot and Human
Overview
| Product Description | Polyclonal antibody recognizes C18orf22 / RBFA |
|---|---|
| Tested Reactivity | Hu |
| Tested Application | FACS, ICC/IF, IHC-P, WB |
| Host | Rabbit |
| Clonality | Polyclonal |
| Isotype | IgG |
| Target Name | C18orf22 / RBFA |
| Antigen Species | Human |
| Immunogen | Recombinant protein containing to human C18orf22 / RBFA. |
| Conjugation | Un-conjugated |
| Alternate Names | RBFA; Ribosome Binding Factor A; C18orf22; HsT169; Putative Ribosome-Binding Factor A, Mitochondrial; Ribosome Binding Factor A (Putative); FLJ21172; Chromosome 18 Open Reading Frame 22 |
Application Instructions
| Application Suggestion |
|
||||||||||
|---|---|---|---|---|---|---|---|---|---|---|---|
| Application Note | * The dilutions indicate recommended starting dilutions and the optimal dilutions or concentrations should be determined by the scientist. | ||||||||||
| Observed Size | 40 kDa |
Properties
| Form | Liquid |
|---|---|
| Purification | Affinity purification with immunogen. |
| Buffer | 0.2% Na2HPO4, 0.9% NaCl and 4% Trehalose. |
| Stabilizer | 4% Trehalose |
| Concentration | 0.5 mg/ml |
| Storage Instruction | For continuous use, store undiluted antibody at 2-8°C for up to a week. For long-term storage, aliquot and store at -20°C or below. Storage in frost free freezers is not recommended. Avoid repeated freeze/thaw cycles. Suggest spin the vial prior to opening. The antibody solution should be gently mixed before use. |
| Note | For laboratory research only, not for drug, diagnostic or other use. |
Bioinformation
| Database Links |
Swiss-port # Q8N0V3 Human Putative ribosome-binding factor A, mitochondrial |
|---|---|
| Gene Symbol | RBFA |
| Gene Full Name | Ribosome Binding Factor A |
| Background | Predicted to be involved in rRNA processing. Located in mitochondrion. [provided by Alliance of Genome Resources, Nov 2024] |
| Function | rRNA processing. [UniProt] |
| Cellular Localization | Mitochondrion. [UniProt] |
| Calculated MW | 38 kDa |
Images (4) Click the Picture to Zoom In
-
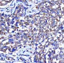
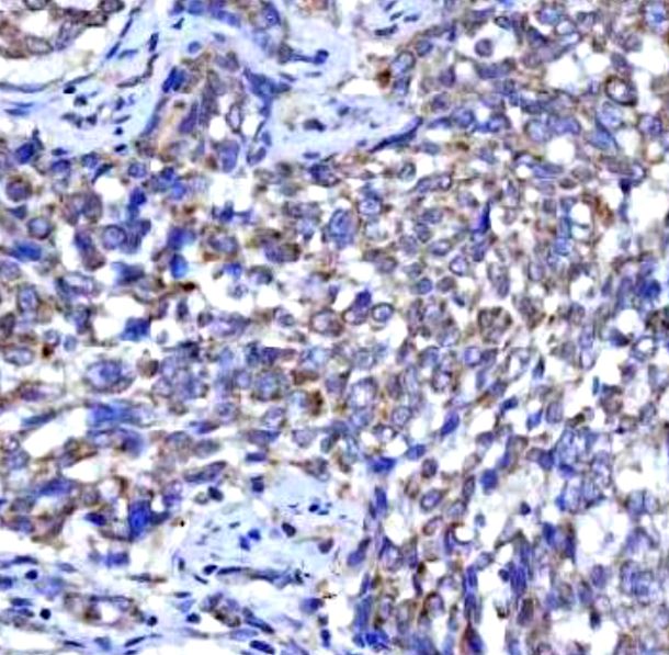
ARG45297 anti-C18orf22 / RBFA antibody IHC-P image
Immunohistochemistry: Human lung squamous cell carcinoma stained with ARG45297 anti-C18orf22 / RBFA antibody at 2 μg/ml dilution.
-
ARG45297 anti-C18orf22 / RBFA antibody ICC/IF image
Immunofluorescence: U20S stained with ARG45297 anti-C18orf22 / RBFA antibody at 5 ug/ml dilution.
-
ARG45297 anti-C18orf22 / RBFA antibody WB image
Western blot: MOLT-4 and HepG2 stained with ARG45297 anti-C18orf22 / RBFA antibody at 0.5 μg/ml dilution.
-
ARG45297 anti-C18orf22 / RBFA antibody FACS image
Flow Cytometry: MCF-7 stained with ARG45297 anti-C18orf22 / RBFA antibody at 1 µg/10^6 cells dilution.
