ARG46105
anti-C1QTNF4 antibody
anti-C1QTNF4 antibody for Western blot,IHC-Formalin-fixed paraffin-embedded sections and Human,Mouse,Rat
Overview
| Product Description | Rabbit Polyclonal antibody recognizes C1QTNF4 |
|---|---|
| Tested Reactivity | Hu, Ms, Rat |
| Tested Application | IHC-P, WB |
| Host | Rabbit |
| Clonality | Polyclonal |
| Isotype | IgG |
| Target Name | C1QTNF4 |
| Antigen Species | Human |
| Immunogen | A 16 amino acid synthetic peptide within aa. 240 - 290 of human C1QTNF4. |
| Conjugation | Un-conjugated |
| Alternate Names | C1QTNF4; C1q and tumor necrosis factor related protein 4; CTRP4; CTRP4; ZACRP4; CTRP4; Complement C1q tumor necrosis factor-related protein 4 |
Application Instructions
| Application Suggestion |
|
||||||
|---|---|---|---|---|---|---|---|
| Application Note | * The dilutions indicate recommended starting dilutions and the optimal dilutions or concentrations should be determined by the scientist. |
Properties
| Form | Liquid |
|---|---|
| Purification | Affinity chromatography purified |
| Buffer | PBS and 0.02% Sodium azide. |
| Preservative | 0.02% Sodium azide |
| Concentration | 1 mg/ml |
| Storage Instruction | For continuous use, store undiluted antibody at 2-8°C for up to a week. For long-term storage, aliquot and store at -155°C or below. Storage in frost free freezers is not recommended. Avoid repeated freeze/thaw cycles. Suggest spin the vial prior to opening. The antibody solution should be gently mixed before use. |
| Note | For laboratory research only, not for drug, diagnostic or other use. |
Bioinformation
| Database Links |
Swiss-port # Q8R066 Mouse Complement C1q tumor necrosis factor-related protein 4 Swiss-port # Q9BXJ3 Human Complement C1q tumor necrosis factor-related protein 4 |
|---|---|
| Gene Symbol | C1QTNF4 |
| Gene Full Name | C1q and tumor necrosis factor related protein 4 |
| Background | Predicted to enable cytokine activity. Involved in positive regulation of cytokine production and positive regulation of signal transduction. Located in extracellular space. [provided by Alliance of Genome Resources, Jul 2025] |
| Function | May be involved in the regulation of the inflammatory network. Its role as pro- or anti-inflammatory seems to be context dependent (PubMed:21658842, PubMed:27086950). Seems to have some role in regulating food intake and energy balance when administered in the brain. This effect is sustained over a two-day period, and it is accompanied by decreased expression of orexigenic neuropeptides in the hypothalamus 3 hours post-injection (By similarity). [UniProt] |
| Cellular Localization | Secreted . [UniProt] |
| Calculated MW | 35 kDa |
Images (3) Click the Picture to Zoom In
-
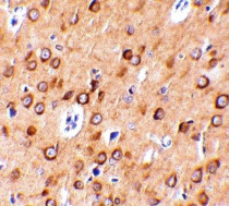
ARG46105 anti-C1QTNF4 antibody IHC-P image
Immunohistochemistry: Rat brain stained with ARG46105 anti-C1QTNF4 antibody.
-
ARG46105 anti-C1QTNF4 antibody ICC/IF image
Immunofluorescence: Rat Brain stained with ARG46105 anti-C1QTNF4 antibody.
-
ARG46105 anti-C1QTNF4 antibody WB image
Western blot: Rat brain stained with ARG46105 anti-C1QTNF4 antibody.
