ARG45602
anti-C1orf64 antibody
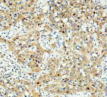
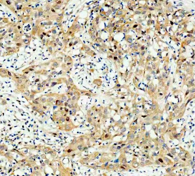
anti-C1orf64 antibody for IHC-Formalin-fixed paraffin-embedded sections,Western blot and Human
Overview
| Product Description | Rabbit Polyclonal antibody recognizes C1orf64 |
|---|---|
| Tested Reactivity | Hu |
| Tested Application | IHC-P, WB |
| Host | Rabbit |
| Clonality | Polyclonal |
| Isotype | IgG |
| Target Name | C1orf64 |
| Antigen Species | Human |
| Immunogen | Recombinant protein containing to human C1orf64. |
| Conjugation | Un-conjugated |
| Alternate Names | SRARP; Steroid Receptor Associated And Regulated Protein; ERRF; ER-Related Factor; C1orf64; Steroid Receptor-Associated And Regulated Protein; Steroid Receptor-Regulated Protein; Estrogen Receptor-Related Factor; MGC24047; Chromosome 1 Open Reading Frame 64; Uncharacterized Protein C1orf64; SSPR |
Application Instructions
| Application Suggestion |
|
||||||
|---|---|---|---|---|---|---|---|
| Application Note | * The dilutions indicate recommended starting dilutions and the optimal dilutions or concentrations should be determined by the scientist. |
Properties
| Form | Liquid |
|---|---|
| Purification | Affinity purified |
| Buffer | 0.2% Na2HPO4, 0.9% NaCl and 4% Trehalose. |
| Stabilizer | 4% Trehalose |
| Concentration | 0.5 mg/ml |
| Storage Instruction | For continuous use, store undiluted antibody at 2-8°C for up to a week. For long-term storage, aliquot and store at -20°C or below. Storage in frost free freezers is not recommended. Avoid repeated freeze/thaw cycles. Suggest spin the vial prior to opening. The antibody solution should be gently mixed before use. |
| Note | For laboratory research only, not for drug, diagnostic or other use. |
Bioinformation
| Database Links |
Swiss-port # Q8N987 Human N-terminal EF-hand calcium-binding protein 1 |
|---|---|
| Gene Symbol | SRARP |
| Gene Full Name | Steroid Receptor Associated And Regulated Protein |
| Background | Enables nuclear estrogen receptor binding activity. Involved in positive regulation of intracellular estrogen receptor signaling pathway. Located in cytoplasm and nucleus. [provided by Alliance of Genome Resources, Feb 2025] |
| Function | May regulate the transcriptional function of androgen and estrogen receptors. [UniProt] |
| Cellular Localization | Cytoplasm; Nucleus. [UniProt] |
| Calculated MW | 18 kDa |
Images (2) Click the Picture to Zoom In
