ARG45229
anti-C1orf77 / FOP antibody
anti-C1orf77 / FOP antibody for Flow cytometry,IHC-Formalin-fixed paraffin-embedded sections,Western blot and Human,Mouse,Rat,Monkey
Overview
| Product Description | Rabbit Polyclonal antibody recognizes C1orf77 / FOP |
|---|---|
| Tested Reactivity | Hu, Ms, Rat, Mk |
| Tested Application | FACS, IHC-P, WB |
| Host | Rabbit |
| Clonality | Polyclonal |
| Isotype | IgG |
| Target Name | C1orf77 / FOP |
| Antigen Species | Human |
| Immunogen | Synthetic peptide corresponding to N-terminal region of human C1orf77 / FOP . |
| Conjugation | Un-conjugated |
| Alternate Names | CHTOP; Chromatin Target Of PRMT1; SRAG; FOP; C1orf77; Small Protein Rich In Arginine And Glycine; Chromatin Target Of PRMT1 Protein; Friend Of PRMT1 Protein; DKFZP547E1010; Small Arginine- And Glycine-Rich Protein; Chromosome 1 Open Reading Frame 77; Friend Of Prmt1; C10orf77; FL-SRAG; SRAG-3; SRAG-5; Pp7704 |
Application Instructions
| Application Suggestion |
|
||||||||
|---|---|---|---|---|---|---|---|---|---|
| Application Note | * The dilutions indicate recommended starting dilutions and the optimal dilutions or concentrations should be determined by the scientist. | ||||||||
| Observed Size | 28 kDa |
Properties
| Form | Liquid |
|---|---|
| Purification | Affinity purification with immunogen. |
| Buffer | 0.2% Na2HPO4, 0.9% NaCl and 4% Trehalose. |
| Stabilizer | 4% Trehalose |
| Concentration | 0.5 mg/ml |
| Storage Instruction | For continuous use, store undiluted antibody at 2-8°C for up to a week. For long-term storage, aliquot and store at -20°C or below. Storage in frost free freezers is not recommended. Avoid repeated freeze/thaw cycles. Suggest spin the vial prior to opening. The antibody solution should be gently mixed before use. |
| Note | For laboratory research only, not for drug, diagnostic or other use. |
Bioinformation
| Database Links | |
|---|---|
| Gene Symbol | CHTOP |
| Gene Full Name | Chromatin Target Of PRMT1 |
| Background | This gene encodes a small nuclear protein that is characterized by an arginine and glycine rich region. This protein may have an important role in the regulation of fetal globin gene expression and in the activation of estrogen-responsive genes. A recent study reported that this protein binds 5-hydroxymethylcytosine (5hmC) and associates with an arginine methyltransferase complex (methylosome), which promotes methylation of arginine 3 of histone H4 (H4R3) and activation of genes involved in glioblastomagenesis. Alternatively spliced transcript variants encoding different isoforms have been described for this gene. |
| Function | Required for effective mRNA nuclear export and is a component of the TREX complex which is thought to couple mRNA transcription, processing and nuclear export, and specifically associates with spliced mRNA and not with unspliced pre-mRNA. TREX is recruited to spliced mRNAs by a transcription-independent mechanism, binds to mRNA upstream of the exon-junction complex (EJC) and is recruited in a splicing- and cap-dependent manner to a region near the 5' end of the mRNA where it functions in mRNA export to the cytoplasm via the TAP/NFX1 pathway. The TREX complex is essential for the export of Kaposi's sarcoma-associated herpesvirus (KSHV) intronless mRNAs and infectious virus production. Stimulates DDX39B ATPase and helicase activities. In cooperation with ALYREF/THOC4 enhances NXF2 RNA binding activity. [Uniprot] |
| Cellular Localization | Nucleus. [Uniprot] |
| Calculated MW | 26 kDa |
| PTM | Acetylation, Isopeptide bond, Methylation, Phosphoprotein, Ubl conjugation. [Uniprot] |
Images (7) Click the Picture to Zoom In
-
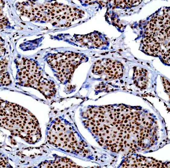
ARG45229 anti-C1orf77 / FOP antibody IHC-P image
Immunohistochemistry: Human breast cancer stained with ARG45229 anti-C1orf77 / FOP antibody at 2 μg/ml dilution.
-
ARG45229 anti-C1orf77 / FOP antibody WB image
Western blot: Hela, THP-1, and MOLT-4 stained with ARG45229 anti-C1orf77 / FOP antibody at 0.5 μg/ml dilution.
-
ARG45229 anti-C1orf77 / FOP antibody FACS image
Flow Cytometry: THP-1 stained with ARG45229 anti-C1orf77 / FOP antibody at 1 µg/10^6 cells dilution.
-
ARG45229 anti-C1orf77 / FOP antibody WB image
Western blot: Rat brain and PC-12 stained with ARG45229 anti-C1orf77 / FOP antibody at 0.5 μg/ml dilution.
-
ARG45229 anti-C1orf77 / FOP antibody FACS image
Flow Cytometry: RH35 stained with ARG45229 anti-C1orf77 / FOP antibody at 1 µg/10^6 cells dilution.
-
ARG45229 anti-C1orf77 / FOP antibody WB image
Western blot: Mouse spleen and mouse brain stained with ARG45229 anti-C1orf77 / FOP antibody at 0.5 μg/ml dilution.
-
ARG45229 anti-C1orf77 / FOP antibody WB image
Western blot: COS-7 stained with ARG45229 anti-C1orf77 / FOP antibody at 0.5 μg/ml dilution.
