ARG67297
anti-CA14 / Carbonic Anhydrase 14 antibody [SQab30392]
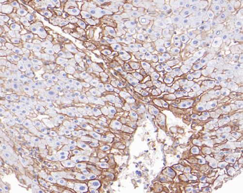
anti-CA14 / Carbonic Anhydrase 14 antibody [SQab30392] for IHC-Formalin-fixed paraffin-embedded sections and Human
Overview
| Product Description | Recombinant Rabbit Monoclonal antibody [SQab30392] recognizes CA14 / Carbonic Anhydrase 14 |
|---|---|
| Tested Reactivity | Hu |
| Tested Application | IHC-P |
| Host | Rabbit |
| Clonality | Monoclonal |
| Clone | SQab30392 |
| Isotype | IgG |
| Target Name | CA14 / Carbonic Anhydrase 14 |
| Immunogen | Synthetic peptide |
| Conjugation | Un-conjugated |
| Alternate Names | Carbonate dehydratase XIV; CA-XIV; Carbonic anhydrase 14; EC 4.2.1.1; CAXiV; Carbonic anhydrase XIV |
Application Instructions
| Application Suggestion |
|
||||
|---|---|---|---|---|---|
| Application Note | IHC-P: Antigen Retrieval: Heat mediation was performed in Tris/EDTA buffer (pH 9.0). * The dilutions indicate recommended starting dilutions and the optimal dilutions or concentrations should be determined by the scientist. |
Properties
| Form | Liquid |
|---|---|
| Purification | Affinity chromatography purified |
| Buffer | PBS, 0.01% Sodium azide, 40% Glycerol and 0.05% BSA. |
| Preservative | 0.01% Sodium azide |
| Stabilizer | 40% Glycerol and 0.05% BSA |
| Storage Instruction | For continuous use, store undiluted antibody at 2-8°C for up to a week. For long-term storage, aliquot and store at -20°C or below. Storage in frost free freezers is not recommended. Avoid repeated freeze/thaw cycles. Suggest spin the vial prior to opening. The antibody solution should be gently mixed before use. |
| Note | For laboratory research only, not for drug, diagnostic or other use. |
Bioinformation
| Database Links | |
|---|---|
| Gene Symbol | CA14 |
| Gene Full Name | carbonic anhydrase XIV |
| Background | Carbonic anhydrases (CAs) are a large family of zinc metalloenzymes that catalyze the reversible hydration of carbon dioxide. They participate in a variety of biological processes, including respiration, calcification, acid-base balance, bone resorption, and the formation of aqueous humor, cerebrospinal fluid, saliva, and gastric acid. They show extensive diversity in tissue distribution and in their subcellular localization. CA XIV is predicted to be a type I membrane protein and shares highest sequence similarity with the other transmembrane CA isoform, CA XII; however, they have different patterns of tissue-specific expression and thus may play different physiologic roles. [provided by RefSeq, Jul 2008] |
| Function | Reversible hydration of carbon dioxide. [UniProt] |
| Cellular Localization | Membrane; Single-pass type I membrane protein. [UniProt] |
| Highlight | Related products: Carbonic Anhydrase antibodies; Carbonic Anhydrase ELISA Kits; New ELISA data calculation tool: Simplify the ELISA analysis by GainData |
Images (1) Click the Picture to Zoom In
