ARG45827
anti-CARD15 / NOD2 antibody
anti-CARD15 / NOD2 antibody for IHC-Formalin-fixed paraffin-embedded sections,Western blot and Human,Mouse,Rat
Cell Biology and Cellular Response antibody; Cell Death antibody
Overview
| Product Description | Rabbit Polyclonal antibody recognizes CARD15 / NOD2 |
|---|---|
| Tested Reactivity | Hu, Ms, Rat |
| Tested Application | IHC-P, WB |
| Host | Rabbit |
| Clonality | Polyclonal |
| Isotype | IgG |
| Target Name | CARD15 / NOD2 |
| Antigen Species | Human |
| Immunogen | Recombinant protein corresponding to Human CARD15 / NOD2. |
| Conjugation | Un-conjugated |
| Alternate Names | NOD2; Nucleotide Binding Oligomerization Domain Containing 2; PSORAS1; CLR16.3; CARD15; NLRC2; BLAU; CD; Nucleotide-Binding Oligomerization Domain, Leucine Rich Repeat And CARD Domain Containing 2; Nucleotide-Binding Oligomerization Domain-Containing Protein 2; Caspase Recruitment Domain-Containing Protein 15; Caspase Recruitment Domain Family, Member 15; NLR Family, CARD Domain Containing 2; Inflammatory Bowel Disease Protein 1; NOD-Like Receptor C2; IBD1; Nucleotide-Binding Oligomerization Domain 2; Caspase Recruitment Domain Protein 15; BLAUS; NOD2B; ACUG; YAOS |
Application Instructions
| Application Suggestion |
|
||||||
|---|---|---|---|---|---|---|---|
| Application Note | * The dilutions indicate recommended starting dilutions and the optimal dilutions or concentrations should be determined by the scientist. |
Properties
| Form | Liquid |
|---|---|
| Purification | Affinity purification with immunogen. |
| Buffer | 0.42% Potassium phosphate (pH 7.3), 0.87% NaCl, 0.01% Sodium azide and 30% Glycerol. |
| Preservative | 0.01% Sodium azide |
| Stabilizer | 30% Glycerol |
| Storage Instruction | For continuous use, store undiluted antibody at 2-8°C for up to a week. For long-term storage, aliquot and store at -20°C or below. Storage in frost free freezers is not recommended. Avoid repeated freeze/thaw cycles. Suggest spin the vial prior to opening. The antibody solution should be gently mixed before use. |
| Note | For laboratory research only, not for drug, diagnostic or other use. |
Bioinformation
| Database Links |
Swiss-port # Q9HC29 Human Nucleotide-binding oligomerization domain-containing protein 2 |
|---|---|
| Gene Symbol | NOD2 |
| Gene Full Name | Nucleotide Binding Oligomerization Domain Containing 2 |
| Background | This gene is a member of the Nod1/Apaf-1 family and encodes a protein with two caspase recruitment (CARD) domains and six leucine-rich repeats (LRRs). The protein is primarily expressed in the peripheral blood leukocytes. It plays a role in the immune response to intracellular bacterial lipopolysaccharides (LPS) by recognizing the muramyl dipeptide (MDP) derived from them and activating the NFKB protein. Mutations in this gene have been associated with Crohn disease and Blau syndrome. Alternatively spliced transcript variants encoding distinct isoforms have been found for this gene. [provided by RefSeq, Jun 2014] |
| Function | May also be involved in NLRP1 activation following activation by MDP, leading to CASP1 activation and IL1B release in macrophage. [Uniprot] |
| Cellular Localization | Cell membrane, Cytoplasm, Membrane, Mitochondrion. [Uniprot] |
| Research Area | Cell Biology and Cellular Response antibody; Cell Death antibody |
| Calculated MW | 115 kDa |
| PTM | Glycoprotein, Lipoprotein, Palmitate, Ubl conjugation. [Uniprot] |
Images (3) Click the Picture to Zoom In
-
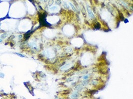
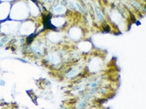
ARG45827 anti-CARD15 / NOD2 antibody IHC-P image
Immunohistochemistry: Human colon stained with ARG45827 anti-CARD15 / NOD2 antibody.
-
ARG45827 anti-CARD15 / NOD2 antibody WB image
Western blot: Rat spleen stained with ARG45827 anti-CARD15 / NOD2 antibody.
-
ARG45827 anti-CARD15 / NOD2 antibody WB image
Western blot: Mouse kidney stained with ARG45827 anti-CARD15 / NOD2 antibody at dilution.
