ARG55451
anti-CARD6 antibody
anti-CARD6 antibody for IHC-Formalin-fixed paraffin-embedded sections,Western blot and Human
Cell Biology and Cellular Response antibody; Cell Death antibody
Overview
| Product Description | Rabbit Polyclonal antibody recognizes CARD6 |
|---|---|
| Tested Reactivity | Hu |
| Tested Application | IHC-P, WB |
| Host | Rabbit |
| Clonality | Polyclonal |
| Isotype | IgG |
| Target Name | CARD6 |
| Antigen Species | Human |
| Immunogen | KLH-conjugated synthetic peptide around the center region of Human CARD6. |
| Conjugation | Un-conjugated |
| Alternate Names | Caspase recruitment domain-containing protein 6; CINCIN1 |
Application Instructions
| Application Suggestion |
|
||||||
|---|---|---|---|---|---|---|---|
| Application Note | * The dilutions indicate recommended starting dilutions and the optimal dilutions or concentrations should be determined by the scientist. | ||||||
| Positive Control | A549 |
Properties
| Form | Liquid |
|---|---|
| Purification | Purification with Protein A and immunogen peptide. |
| Buffer | PBS and 0.09% (W/V) Sodium azide |
| Preservative | 0.09% (W/V) Sodium azide |
| Storage Instruction | For continuous use, store undiluted antibody at 2-8°C for up to a week. For long-term storage, aliquot and store at -20°C or below. Storage in frost free freezers is not recommended. Avoid repeated freeze/thaw cycles. Suggest spin the vial prior to opening. The antibody solution should be gently mixed before use. |
| Note | For laboratory research only, not for drug, diagnostic or other use. |
Bioinformation
| Database Links |
Swiss-port # Q9BX69 Human Caspase recruitment domain-containing protein 6 |
|---|---|
| Gene Symbol | CARD6 |
| Gene Full Name | caspase recruitment domain family, member 6 |
| Background | This gene encodes a protein that contains a caspase recruitment domain (CARD), an antiparallel six-helical bundle that mediates homotypic protein-protein interactions. The encoded protein is a microtubule-associated protein that has been shown to interact with receptor-interacting protein kinases and positively modulate signal transduction pathways converging on activation of the inducible transcription factor NF-kB. [provided by RefSeq, Jul 2008] |
| Function | May be involved in apoptosis. [UniProt] |
| Research Area | Cell Biology and Cellular Response antibody; Cell Death antibody |
| Calculated MW | 116 kDa |
Images (2) Click the Picture to Zoom In
-
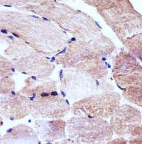
ARG55451 anti-CARD6 antibody IHC-P image
Immunohistochemistry: Paraffin-embedded Human skeletal muscle section stained with ARG55451 anti-CARD6 antibody at 1:25 dilution.
-
ARG55451 anti-CARD6 antibody WB image
Western blot: 20 µg of A549 cell lysate stained with ARG55451 anti-CARD6 antibody at 1:1000 dilution.
