ARG45227
anti-CCDC115 antibody
anti-CCDC115 antibody for Flow cytometry,ICC/IF,IHC-Formalin-fixed paraffin-embedded sections,Western blot and Human
Overview
| Product Description | Rabbit Polyclonal antibody recognizes CCDC115 |
|---|---|
| Tested Reactivity | Hu |
| Tested Application | FACS, ICC/IF, IHC-P, WB |
| Host | Rabbit |
| Clonality | Polyclonal |
| Isotype | IgG |
| Target Name | CCDC115 |
| Antigen Species | Human |
| Immunogen | Recombinant protein containing to human CCDC115. |
| Conjugation | Un-conjugated |
| Alternate Names | CCDC115; Coiled-Coil Domain Containing 115; Ccp1; Coiled-Coil Domain-Containing Protein 115; MGC12981; FLJ30131; CDG2O |
Application Instructions
| Application Suggestion |
|
||||||||||
|---|---|---|---|---|---|---|---|---|---|---|---|
| Application Note | * The dilutions indicate recommended starting dilutions and the optimal dilutions or concentrations should be determined by the scientist. | ||||||||||
| Observed Size | 20 kDa |
Properties
| Form | Liquid |
|---|---|
| Purification | Affinity purification with immunogen. |
| Buffer | 0.2% Na2HPO4, 0.9% NaCl and 4% Trehalose. |
| Stabilizer | 4% Trehalose |
| Concentration | 0.5 mg/ml |
| Storage Instruction | For continuous use, store undiluted antibody at 2-8°C for up to a week. For long-term storage, aliquot and store at -20°C or below. Storage in frost free freezers is not recommended. Avoid repeated freeze/thaw cycles. Suggest spin the vial prior to opening. The antibody solution should be gently mixed before use. |
| Note | For laboratory research only, not for drug, diagnostic or other use. |
Bioinformation
| Database Links |
Swiss-port # Q96NT0 Human Coiled-coil domain-containing protein 115 |
|---|---|
| Gene Symbol | CCDC115 |
| Gene Full Name | Coiled-Coil Domain Containing 115 |
| Background | The protein encoded by this gene has been observed to localize to the endoplasmic reticulum (ER)-Golgi intermediate compartment (ERGIC) and coat protein complex I (COPI) vesicles in some human cells. The encoded protein shares some homology with the yeast V-ATPase assembly factor Vma22p, and the orthologous protein in mouse promotes cell proliferation and suppresses cell death. Defects in this gene are a cause of congenital disorder of glycosylation, type IIo in humans. [provided by RefSeq, Mar 2016] |
| Function | Accessory component of the proton-transporting vacuolar (V)-ATPase protein pump involved in intracellular iron homeostasis. In aerobic conditions, required for intracellular iron homeostasis, thus triggering the activity of Fe2+ prolyl hydroxylase (PHD) enzymes, and leading to HIF1A hydroxylation and subsequent proteasomal degradation. Necessary for endolysosomal acidification and lysosomal degradation. [UniProt] |
| Cellular Localization | Cytoplasmic vesicle; Endoplasmic reticulum; Endosome; Lysosome. [UniProt] |
| Calculated MW | 20 kDa |
Images (4) Click the Picture to Zoom In
-
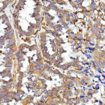
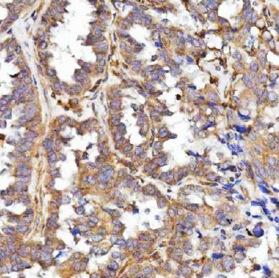
ARG45227 anti-CCDC115 antibody IHC-P image
Immunohistochemistry: Human ovarian cancer stained with ARG45227 anti-CCDC115 antibody at 2 μg/ml dilution.
-
ARG45227 anti-CCDC115 antibody ICC/IF image
Immunofluorescence: A431 stained with ARG45227 anti-CCDC115 antibody at 5 ug/ml dilution.
-
ARG45227 anti-CCDC115 antibody WB image
Western blot: 293T and MOLT-4 stained with ARG45227 anti-CCDC115 antibody at 0.5 μg/ml dilution.
-
ARG45227 anti-CCDC115 antibody FACS image
Flow Cytometry: U937 stained with ARG45227 anti-CCDC115 antibody at 1 µg/10^6 cells dilution.
