ARG56679
anti-CCL1 / I-309 antibody
anti-CCL1 / I-309 antibody for ELISA,IHC-Formalin-fixed paraffin-embedded sections,Western blot and Human
Overview
| Product Description | Rabbit Polyclonal antibody recognizes CCL1 / I-309 |
|---|---|
| Tested Reactivity | Hu |
| Tested Application | ELISA, IHC-P, WB |
| Host | Rabbit |
| Clonality | Polyclonal |
| Isotype | IgG |
| Target Name | CCL1 / I-309 |
| Antigen Species | Human |
| Immunogen | E.coli derived Recombinant Human CCL1. (SKSMQVPFSR CCFSFAEQEI PLRAILCYRN TSSICSNEGL IFKLKRGKEA CALDTVGWVQ RHRKMLRHCP SKRK) |
| Conjugation | Un-conjugated |
| Alternate Names | TCA3; T lymphocyte-secreted protein I-309; SISe; P500; Small-inducible cytokine A1; I-309; SCYA1; C-C motif chemokine 1 |
Application Instructions
| Application Suggestion |
|
||||||||
|---|---|---|---|---|---|---|---|---|---|
| Application Note | * The dilutions indicate recommended starting dilutions and the optimal dilutions or concentrations should be determined by the scientist. |
Properties
| Form | Liquid |
|---|---|
| Purification | Affinity purification with immunogen. |
| Buffer | PBS (pH 7.2) |
| Concentration | 1 mg/ml |
| Storage Instruction | For continuous use, store undiluted antibody at 2-8°C for up to a week. For long-term storage, aliquot and store at -20°C or below. Storage in frost free freezers is not recommended. Avoid repeated freeze/thaw cycles. Suggest spin the vial prior to opening. The antibody solution should be gently mixed before use. |
| Note | For laboratory research only, not for drug, diagnostic or other use. |
Bioinformation
| Database Links | |
|---|---|
| Gene Symbol | CCL1 |
| Gene Full Name | chemokine (C-C motif) ligand 1 |
| Background | This antimicrobial gene is one of several chemokine genes clustered on the q-arm of chromosome 17. Chemokines form a superfamily of secreted proteins involved in immunoregulatory and inflammatory processes. The superfamily is divided into four subfamilies based on the arrangement of the N-terminal cysteine residues of the mature peptide. This chemokine, a member of the CC subfamily, is secreted by activated T cells and displays chemotactic activity for monocytes but not for neutrophils. It binds to the chemokine (C-C motif) receptor 8. [provided by RefSeq, Sep 2014] |
| Function | Cytokine that is chemotactic for monocytes but not for neutrophils. Binds to CCR8. [UniProt] |
| Calculated MW | 11 kDa |
Images (2) Click the Picture to Zoom In
-
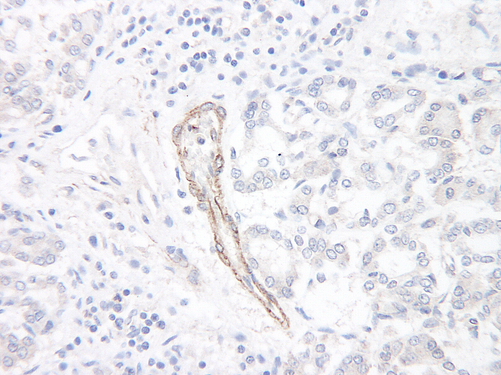
ARG56679 anti-CCL1 / I-309 antibody IHC-P image
Immunohistochemistry: Formalin-fixed and paraffin-embedded sections of Human normal pancreas. The recommended ARG56679 anti-CCL1 / I-309 antibody concentration is 0.25 µg/mL- 0.50 µg/mL with an overnight incubation at 4˚C. An HRP-labeled polymer detection system was used with a DAB chromogen. Antigen Retrieval: Boil tissue section in Sodium Citrate buffer (pH 6.0) followed by cooling at RT for 20 min.
-
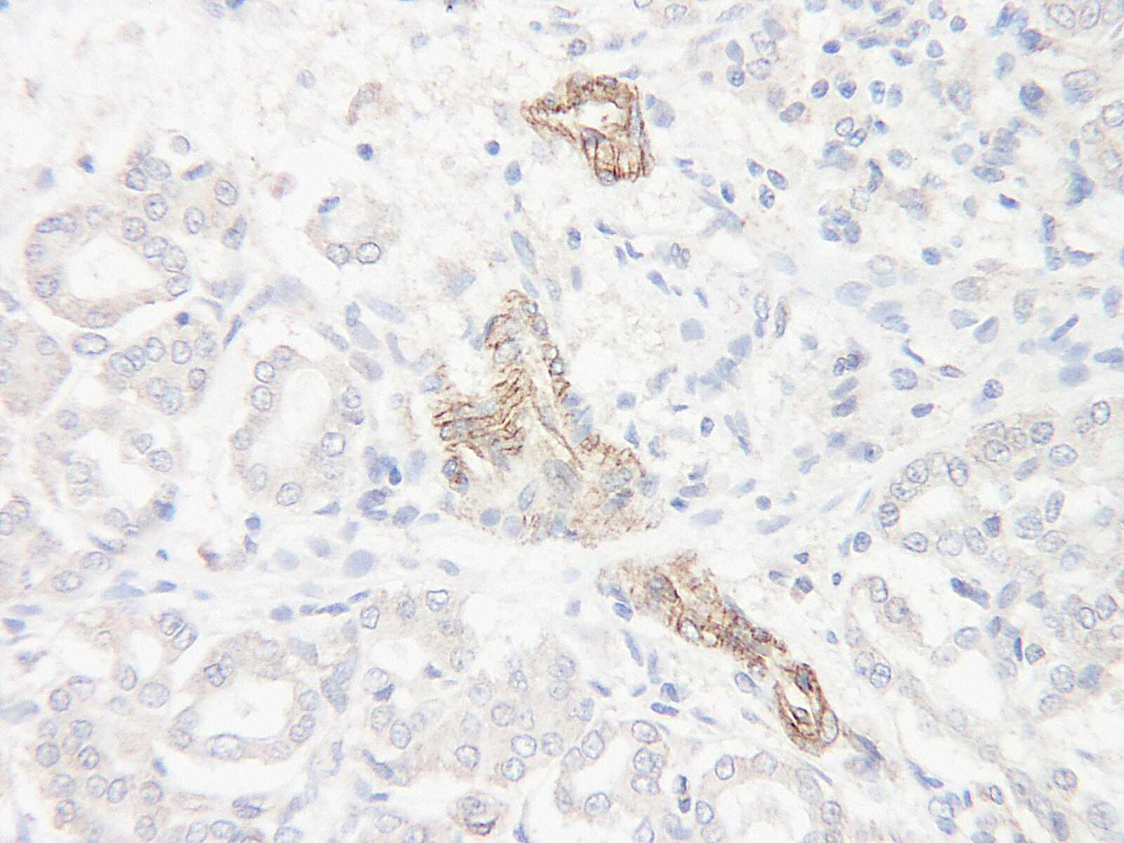
ARG56679 anti-CCL1 / I-309 antibody IHC-P image
Immunohistochemistry: Formalin-fixed and paraffin-embedded sections of Human normal pancreas. The recommended ARG56679 anti-CCL1 / I-309 antibody concentration is 0.25 µg/mL- 0.50 µg/mL with an overnight incubation at 4˚C. An HRP-labeled polymer detection system was used with a DAB chromogen. Antigen Retrieval: Boil tissue section in Sodium Citrate buffer (pH 6.0) followed by cooling at RT for 20 min.
