ARG57807
anti-CCL3 / MIP1 alpha antibody
anti-CCL3 / MIP1 alpha antibody for IHC-Formalin-fixed paraffin-embedded sections,Western blot and Human,Mouse
Overview
| Product Description | Rabbit Polyclonal antibody recognizes CCL3 / MIP1 alpha |
|---|---|
| Tested Reactivity | Hu, Ms |
| Tested Application | IHC-P, WB |
| Host | Rabbit |
| Clonality | Polyclonal |
| Isotype | IgG |
| Target Name | CCL3 / MIP1 alpha |
| Antigen Species | Human |
| Immunogen | KLH-conjugated synthetic peptide corresponding to aa. 59-87 (C-terminus) of Human CCL3 / MIP1 alpha. |
| Conjugation | Un-conjugated |
| Alternate Names | MIP-1-alpha; SIS-beta; PAT 464.1; Tonsillar lymphocyte LD78 alpha protein; G0/G1 switch regulatory protein 19-1; Small-inducible cytokine A3; C-C motif chemokine 3; LD78-alpha; 4-69; Macrophage inflammatory protein 1-alpha; MIP1A; SCYA3; G0S19-1; LD78ALPHA |
Application Instructions
| Application Suggestion |
|
||||||
|---|---|---|---|---|---|---|---|
| Application Note | * The dilutions indicate recommended starting dilutions and the optimal dilutions or concentrations should be determined by the scientist. | ||||||
| Positive Control | Mouse liver |
Properties
| Form | Liquid |
|---|---|
| Purification | Purification with Protein A and immunogen peptide. |
| Buffer | PBS and 0.09% (W/V) Sodium azide. |
| Preservative | 0.09% (W/V) Sodium azide. |
| Storage Instruction | For continuous use, store undiluted antibody at 2-8°C for up to a week. For long-term storage, aliquot and store at -20°C or below. Storage in frost free freezers is not recommended. Avoid repeated freeze/thaw cycles. Suggest spin the vial prior to opening. The antibody solution should be gently mixed before use. |
| Note | For laboratory research only, not for drug, diagnostic or other use. |
Bioinformation
| Database Links | |
|---|---|
| Gene Symbol | CCL3 |
| Gene Full Name | chemokine (C-C motif) ligand 3 |
| Background | This locus represents a small inducible cytokine. The encoded protein, also known as macrophage inflammatory protein 1 alpha, plays a role in inflammatory responses through binding to the receptors CCR1, CCR4 and CCR5. Polymorphisms at this locus may be associated with both resistance and susceptibility to infection by human immunodeficiency virus type 1. [provided by RefSeq, Sep 2010] |
| Function | Monokine with inflammatory and chemokinetic properties. Binds to CCR1, CCR4 and CCR5. One of the major HIV-suppressive factors produced by CD8+ T-cells. Recombinant MIP-1-alpha induces a dose-dependent inhibition of different strains of HIV-1, HIV-2, and simian immunodeficiency virus (SIV). [UniProt] |
| Cellular Localization | Secreted. [UniProt] |
| Calculated MW | 10 kDa |
| PTM | N-terminal processed form LD78-alpha(4-69) is produced by proteolytic cleavage after secretion from HTLV1-transformed T-cells. [UniProt] |
Images (2) Click the Picture to Zoom In
-
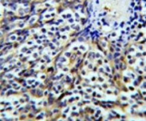
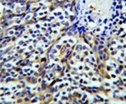
ARG57807 anti-CCL3 / MIP1 alpha antibody IHC-P image
Immunohistochemistry: Formalin-fixed and paraffin-embedded Human tonsil tissue stained with ARG57807 anti-CCL3 / MIP1 alpha antibody.
-
ARG57807 anti-CCL3 / MIP1 alpha antibody WB image
Western blot: 35 µg of Mouse liver lysate stained with ARG57807 anti-CCL3 / MIP1 alpha antibody.
