ARG40909
anti-CD104 / Integrin beta 4 antibody
anti-CD104 / Integrin beta 4 antibody for IHC-Formalin-fixed paraffin-embedded sections,Western blot and Human,Mouse
Overview
| Product Description | Rabbit Polyclonal antibody recognizes CD104 / Integrin beta 4 |
|---|---|
| Tested Reactivity | Hu, Ms |
| Tested Application | IHC-P, WB |
| Host | Rabbit |
| Clonality | Polyclonal |
| Isotype | IgG |
| Target Name | CD104 / Integrin beta 4 |
| Antigen Species | Human |
| Immunogen | Synthetic peptide derived from Human Integrin beta 4. |
| Conjugation | Un-conjugated |
| Alternate Names | Integrin beta-4; GP150; CD antigen CD104; CD104 |
Application Instructions
| Application Suggestion |
|
||||||
|---|---|---|---|---|---|---|---|
| Application Note | * The dilutions indicate recommended starting dilutions and the optimal dilutions or concentrations should be determined by the scientist. | ||||||
| Positive Control | SW480 |
Properties
| Form | Liquid |
|---|---|
| Purification | Affinity purified. |
| Buffer | PBS (pH 7.4), 150 mM NaCl, 0.02% Sodium azide and 50% Glycerol. |
| Preservative | 0.02% Sodium azide |
| Stabilizer | 50% Glycerol |
| Storage Instruction | For continuous use, store undiluted antibody at 2-8°C for up to a week. For long-term storage, aliquot and store at -20°C. Storage in frost free freezers is not recommended. Avoid repeated freeze/thaw cycles. Suggest spin the vial prior to opening. The antibody solution should be gently mixed before use. |
| Note | For laboratory research only, not for drug, diagnostic or other use. |
Bioinformation
| Database Links | |
|---|---|
| Gene Symbol | ITGB4 |
| Gene Full Name | integrin, beta 4 |
| Background | Integrins are heterodimers comprised of alpha and beta subunits, that are noncovalently associated transmembrane glycoprotein receptors. Different combinations of alpha and beta polypeptides form complexes that vary in their ligand-binding specificities. Integrins mediate cell-matrix or cell-cell adhesion, and transduced signals that regulate gene expression and cell growth. This gene encodes the integrin beta 4 subunit, a receptor for the laminins. This subunit tends to associate with alpha 6 subunit and is likely to play a pivotal role in the biology of invasive carcinoma. Mutations in this gene are associated with epidermolysis bullosa with pyloric atresia. Multiple alternatively spliced transcript variants encoding distinct isoforms have been found for this gene. [provided by RefSeq, Jul 2008] |
| Function | Integrin alpha-6/beta-4 is a receptor for laminin. Plays a critical structural role in the hemidesmosome of epithelial cells. Is required for the regulation of keratinocyte polarity and motility. [UniProt] |
| Cellular Localization | Cell membrane; Single-pass type I membrane protein. Cell membrane; Lipid-anchor. Cell junction, hemidesmosome. Note=Colocalizes with DST at the leading edge of migrating keratinocytes. [UniProt] |
| Calculated MW | 202 kDa |
| PTM | Palmitoylated by DHHC3 at several cysteines of the membrane-proximal region, enhancing stability and cell surface expression. Palmitoylation also promotes secundary association with tertaspanins. [UniProt] |
Images (2) Click the Picture to Zoom In
-
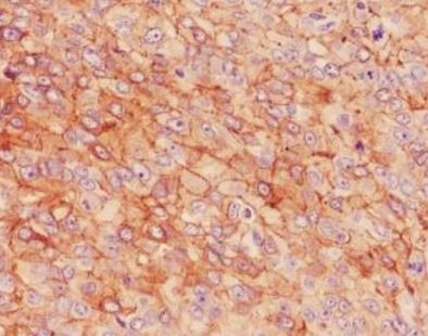
ARG40909 anti-CD104 / Integrin beta 4 antibody IHC-P image
Immunohistochemistry: Paraffin-embedded Human breast cancer tissue stained with ARG40909 anti-CD104 / Integrin beta 4 antibody.
-
ARG40909 anti-CD104 / Integrin beta 4 antibody WB image
Western blot: SW480 cell lysate stained with ARG40909 anti-CD104 / Integrin beta 4 antibody.
