ARG42059
anti-CD106 / VCAM1 antibody
anti-CD106 / VCAM1 antibody for Flow cytometry,ICC/IF,IHC-Formalin-fixed paraffin-embedded sections,IHC-Frozen sections,Immunoprecipitation,Western blot and Human,Mouse,Rat
Overview
| Product Description | Rabbit Polyclonal antibody recognizes CD106 / VCAM1 |
|---|---|
| Tested Reactivity | Hu, Ms, Rat |
| Tested Application | FACS, ICC/IF, IHC-Fr, IHC-P, IP, WB |
| Host | Rabbit |
| Clonality | Polyclonal |
| Isotype | IgG |
| Target Name | CD106 / VCAM1 |
| Antigen Species | Human |
| Immunogen | Synthetic peptide of Human CD106 / VCAM1. |
| Conjugation | Un-conjugated |
| Alternate Names | CD106; INCAM-100; Vascular cell adhesion protein 1; VCAM-1; CD antigen CD106; V-CAM 1 |
Application Instructions
| Application Suggestion |
|
||||||||||||||
|---|---|---|---|---|---|---|---|---|---|---|---|---|---|---|---|
| Application Note | * The dilutions indicate recommended starting dilutions and the optimal dilutions or concentrations should be determined by the scientist. | ||||||||||||||
| Positive Control | Mouse kidney | ||||||||||||||
| Observed Size | ~ 100 kDa |
Properties
| Form | Liquid |
|---|---|
| Purification | Affinity purified. |
| Buffer | PBS (pH 7.4), 150 mM NaCl, 0.02% Sodium azide and 50% Glycerol. |
| Preservative | 0.02% Sodium azide |
| Stabilizer | 50% Glycerol |
| Storage Instruction | For continuous use, store undiluted antibody at 2-8°C for up to a week. For long-term storage, aliquot and store at -20°C. Storage in frost free freezers is not recommended. Avoid repeated freeze/thaw cycles. Suggest spin the vial prior to opening. The antibody solution should be gently mixed before use. |
| Note | For laboratory research only, not for drug, diagnostic or other use. |
Bioinformation
| Database Links | |
|---|---|
| Gene Symbol | VCAM1 |
| Gene Full Name | vascular cell adhesion molecule 1 |
| Background | This gene is a member of the Ig superfamily and encodes a cell surface sialoglycoprotein expressed by cytokine-activated endothelium. This type I membrane protein mediates leukocyte-endothelial cell adhesion and signal transduction, and may play a role in the development of artherosclerosis and rheumatoid arthritis. Three alternatively spliced transcripts encoding different isoforms have been described for this gene. [provided by RefSeq, Dec 2010] |
| Function | Important in cell-cell recognition. Appears to function in leukocyte-endothelial cell adhesion. Interacts with integrin alpha-4/beta-1 (ITGA4/ITGB1) on leukocytes, and mediates both adhesion and signal transduction. The VCAM1/ITGA4/ITGB1 interaction may play a pathophysiologic role both in immune responses and in leukocyte emigration to sites of inflammation. [UniProt] |
| Cellular Localization | Membrane; Single-pass type I membrane protein. [UniProt] |
| Calculated MW | 81 kDa |
| PTM | Sialoglycoprotein. [UniProt] |
Images (4) Click the Picture to Zoom In
-
ARG42059 anti-CD106 / VCAM1 antibody IHC-Fr image
Immunohistochemistry: Mouse endothelial stained with ARG42059 anti-CD106 / VCAM1 antibody at 1:100 dilution.
From Rui Fan et al. Biochim Biophys Acta Mol Cell Biol Lipids. (2023), doi: 10.1016/j.bbalip.2023.159330, Fig. 2B.
-
ARG42059 anti-CD106 / VCAM1 antibody ICC/IF image
Immunofluorescence: K562 cells stained with ARG42059 anti-CD106 / VCAM1 antibody.
-
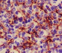
ARG42059 anti-CD106 / VCAM1 antibody IHC-P image
Immunohistochemistry: Paraffin-embedded Human tonsil tissue stained with ARG42059 anti-CD106 / VCAM1 antibody.
-
ARG42059 anti-CD106 / VCAM1 antibody WB image
Western blot: Mouse kidney lysate stained with ARG42059 anti-CD106 / VCAM1 antibody.

