ARG66058
anti-CD154 / CD40L antibody (Biotin)
anti-CD154 / CD40L antibody (Biotin) for ELISA,Western blot and Human
Overview
| Product Description | Biotin-conjugated Goat Polyclonal antibody recognizes CD154 / CD40L |
|---|---|
| Tested Reactivity | Hu |
| Tested Application | ELISA, WB |
| Host | Goat |
| Clonality | Polyclonal |
| Isotype | IgG |
| Target Name | CD154 / CD40L |
| Antigen Species | Human |
| Immunogen | E. coli derived recombinant Human CD154 / CD40L. (MQKGDQNPQI AAHVISEASS KTTSVLQWAE KGYYTMSNNL VTLENGKQLT VKRQGLYYIY AQVTFCSNRE ASSQAPFIAS LWLKSPGRFE RILLRAANTH SSAKPCGQQS IHLGGVFELQ PGASVFVNVT DPSQVSHGTG FTSFGLLKL) |
| Conjugation | Biotin |
| Alternate Names | TNFSF5; IMD3; T-cell antigen Gp39; HIGM1; CD40-L; gp39; CD40 ligand; Tumor necrosis factor ligand superfamily member 5; CD40L; CD154; TRAP; CD antigen CD154; hCD40L; IGM; T-BAM; TNF-related activation protein |
Application Instructions
| Application Suggestion |
|
||||||
|---|---|---|---|---|---|---|---|
| Application Note | * The dilutions indicate recommended starting dilutions and the optimal dilutions or concentrations should be determined by the scientist. |
Properties
| Form | Liquid |
|---|---|
| Purification | Purified by affinity chromatography. |
| Buffer | PBS (pH 7.2) |
| Concentration | 1 mg/ml |
| Storage Instruction | Aliquot and store in the dark at 2-8°C. Keep protected from prolonged exposure to light. Avoid repeated freeze/thaw cycles. Suggest spin the vial prior to opening. The antibody solution should be gently mixed before use. |
| Note | For laboratory research only, not for drug, diagnostic or other use. |
Bioinformation
| Database Links | |
|---|---|
| Gene Symbol | CD40LG |
| Gene Full Name | CD40 ligand |
| Background | The protein encoded by this gene is expressed on the surface of T cells. It regulates B cell function by engaging CD40 on the B cell surface. A defect in this gene results in an inability to undergo immunoglobulin class switch and is associated with hyper-IgM syndrome. [provided by RefSeq, Jul 2008] |
| Function | Mediates B-cell proliferation in the absence of co-stimulus as well as IgE production in the presence of IL-4. Involved in immunoglobulin class switching. Release of soluble CD40L from platelets is partially regulated by GP IIb/IIIa, actin polymerization, and an matrix metalloproteinases (MMP) inhibitor-sensitive pathway. [UniProt] |
| Calculated MW | 29 kDa |
| PTM | The soluble form derives from the membrane form by proteolytic processing. N-linked glycan is a mixture of high mannose and complex type. Glycan structure does not influence binding affinity to CD40. Not O-glycosylated. |
Images (4) Click the Picture to Zoom In
-
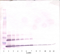
ARG66058 anti-CD154 / CD40L antibody (Biotin) WB image
Western blot: 250 - 0.24 ng of Human sCD40L stained with ARG66058 anti-CD154 / CD40L antibody (Biotin), under non-reducing conditions.
-
ARG66058 anti-CD154 / CD40L antibody (Biotin) standard curve image
Direct ELISA: ARG66058 anti-CD154 / CD40L antibody (Biotin) at 0.25 - 1.0 µg/ml results of a typical standard run with optical density reading at 405 - 650 nm.
-
ARG66058 anti-CD154 / CD40L antibody (Biotin) WB image
Western blot: 250 - 0.24 ng of Human sCD40L stained with ARG66058 anti-CD154 / CD40L antibody (Biotin), under reducing conditions.
-
ARG66058 anti-CD154 / CD40L antibody (Biotin) standard curve image
Sandwich ELISA: ARG66058 anti-CD154 / CD40L antibody (Biotin) as a detection antibody at 0.25 - 1.0 µg/ml combined with ARG66057 anti-CD154 / CD40L antibody as a capture antibody. Results of a typical standard run with optical density reading at 405 - 650 nm.
