ARG55858
anti-CD172b / SIRPB1 antibody
anti-CD172b / SIRPB1 antibody for IHC-Formalin-fixed paraffin-embedded sections,Western blot and Human
Overview
| Product Description | Rabbit Polyclonal antibody recognizes CD172b / SIRPB1 |
|---|---|
| Tested Reactivity | Hu |
| Tested Application | IHC-P, WB |
| Host | Rabbit |
| Clonality | Polyclonal |
| Isotype | IgG |
| Target Name | CD172b / SIRPB1 |
| Antigen Species | Human |
| Immunogen | KLH-conjugated synthetic peptide corresponding to aa. 17-43 (N-terminus) of Human CD172b / SIRPB1. |
| Conjugation | Un-conjugated |
| Alternate Names | SIRP-beta-1 isoform 3; CD172b; SIRP-BETA-1; Signal-regulatory protein beta-1 isoform 3 |
Application Instructions
| Application Suggestion |
|
||||||
|---|---|---|---|---|---|---|---|
| Application Note | * The dilutions indicate recommended starting dilutions and the optimal dilutions or concentrations should be determined by the scientist. | ||||||
| Positive Control | A375 |
Properties
| Form | Liquid |
|---|---|
| Purification | Purification with Protein A and immunogen peptide. |
| Buffer | PBS and 0.09% (W/V) Sodium azide |
| Preservative | 0.09% (W/V) Sodium azide |
| Storage Instruction | For continuous use, store undiluted antibody at 2-8°C for up to a week. For long-term storage, aliquot and store at -20°C or below. Storage in frost free freezers is not recommended. Avoid repeated freeze/thaw cycles. Suggest spin the vial prior to opening. The antibody solution should be gently mixed before use. |
| Note | For laboratory research only, not for drug, diagnostic or other use. |
Bioinformation
| Database Links | |
|---|---|
| Gene Symbol | SIRPB1 |
| Gene Full Name | signal-regulatory protein beta 1 |
| Background | The protein encoded by this gene is a member of the signal-regulatory-protein (SIRP) family, and also belongs to the immunoglobulin superfamily. SIRP family members are receptor-type transmembrane glycoproteins known to be involved in the negative regulation of receptor tyrosine kinase-coupled signaling processes. This protein was found to interact with TYROBP/DAP12, a protein bearing immunoreceptor tyrosine-based activation motifs. This protein was also reported to participate in the recruitment of tyrosine kinase SYK. Multiple transcript variants encoding different isoforms have been found for this gene. [provided by RefSeq, Feb 2009] |
| Function | Immunoglobulin-like cell surface receptor involved in the negative regulation of receptor tyrosine kinase-coupled signaling processes. Participates also in the recruitment of tyrosine kinase SYK. [UniProt] |
| Cellular Localization | Membrane; Single-pass type I membrane protein |
| Calculated MW | 43 kDa |
| PTM | N-glycosylated. |
Images (2) Click the Picture to Zoom In
-
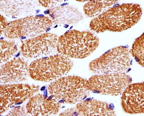
ARG55858 anti-CD172b / SIRPB1 antibody IHC-P image
Immunohistochemistry: Paraffin-embedded Human skeletal muscle tissue stained with ARG55858 anti-CD172b / SIRPB1 antibody at 1:25 dilution.
-
ARG55858 anti-CD172b / SIRPB1 antibody WB image
Western blot: 35 µg of A375 cell lysate stained with ARG55858 anti-CD172b / SIRPB1 antibody.
