ARG23597
anti-CD193 / CCR3 antibody
anti-CD193 / CCR3 antibody for IHC-Formalin-fixed paraffin-embedded sections,Western blot and Human
Overview
| Product Description | Rabbit Polyclonal antibody recognizes CD193 / CCR3 |
|---|---|
| Tested Reactivity | Hu |
| Predict Reactivity | Ms, Rat |
| Tested Application | IHC-P, WB |
| Specificity | At least three isoforms of CCR3 are known to exist. This antibody will detect all three isoforms. |
| Host | Rabbit |
| Clonality | Polyclonal |
| Isotype | IgG |
| Target Name | CD193 / CCR3 |
| Antigen Species | Human |
| Immunogen | Synthetic peptide around 14 aa (C-terminus) of Human CD193 / CCR3. |
| Conjugation | Un-conjugated |
| Alternate Names | C-C chemokine receptor type 3; CD193; CKR3; CCR-3; Eosinophil eotaxin receptor; CMKBR3; C-C CKR-3; CCR3; CC-CKR-3; CD antigen CD193 |
Application Instructions
| Application Suggestion |
|
||||||
|---|---|---|---|---|---|---|---|
| Application Note | * The dilutions indicate recommended starting dilutions and the optimal dilutions or concentrations should be determined by the scientist. | ||||||
| Positive Control | Human Spleen | ||||||
| Observed Size | 52 kDa |
Properties
| Form | Liquid |
|---|---|
| Purification | Affinity purification with immunogen. |
| Buffer | PBS and 0.02% Sodium azide |
| Preservative | 0.02% Sodium azide |
| Concentration | 0.5 mg/ml |
| Storage Instruction | For continuous use, store undiluted antibody at 2-8°C for up to a week. For long-term storage, aliquot and store at -20°C or below. Storage in frost free freezers is not recommended. Avoid repeated freeze/thaw cycles. Suggest spin the vial prior to opening. The antibody solution should be gently mixed before use. |
| Note | For laboratory research only, not for drug, diagnostic or other use. |
Bioinformation
| Database Links | |
|---|---|
| Gene Symbol | CCR3 |
| Gene Full Name | chemokine (C-C motif) receptor 3 |
| Background | The protein encoded by this gene is a receptor for C-C type chemokines. It belongs to family 1 of the G protein-coupled receptors. This receptor binds and responds to a variety of chemokines, including eotaxin (CCL11), eotaxin-3 (CCL26), MCP-3 (CCL7), MCP-4 (CCL13), and RANTES (CCL5). It is highly expressed in eosinophils and basophils, and is also detected in TH1 and TH2 cells, as well as in airway epithelial cells. This receptor may contribute to the accumulation and activation of eosinophils and other inflammatory cells in the allergic airway. It is also known to be an entry co-receptor for HIV-1. This gene and seven other chemokine receptor genes form a chemokine receptor gene cluster on the chromosomal region 3p21. Alternatively spliced transcript variants have been described. [provided by RefSeq, Sep 2009] |
| Function | Receptor for a C-C type chemokine. Binds to eotaxin, eotaxin-3, MCP-3, MCP-4, RANTES and MIP-1 delta. Subsequently transduces a signal by increasing the intracellular calcium ions level. Alternative coreceptor with CD4 for HIV-1 infection. [UniProt] |
| Calculated MW | 41 kDa |
Images (3) Click the Picture to Zoom In
-
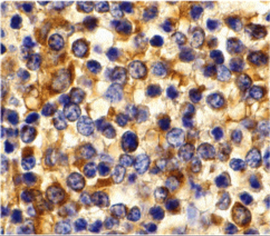
ARG23597 anti-CD193 / CCR3 antibody IHC-P image
Immunohistochemistry: Human spleen tissue stained with ARG23597 anti-CD193 / CCR3 antibody at 10 µg/ml dilution.
-
ARG23597 anti-CD193 / CCR3 antibody WB image
Western blot: Human spleen tissue lysates stained with ARG23597 anti-CD193 / CCR3 antibody at 1 µg/ml (lane 1) and 2 µg/ml (lane 2), and 2 µg/ml in the presence of blocking peptide (lane 3).
-
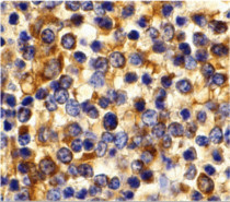
ARG23597 anti-CD193 / CCR3 antibody IHC-P image
Immunohistochemistry: Human Spleen tissue stained with ARG23597 anti-CD193 / CCR3 antibody at 20 µg/ml dilution.
