ARG66148
anti-CD253 / TRAIL antibody
anti-CD253 / TRAIL antibody for ELISA,Western blot and Human,Mouse
Overview
| Product Description | Rabbit Polyclonal antibody recognizes CD253 / TRAIL |
|---|---|
| Tested Reactivity | Hu, Ms |
| Tested Application | ELISA, WB |
| Host | Rabbit |
| Clonality | Polyclonal |
| Isotype | IgG |
| Target Name | CD253 / TRAIL |
| Antigen Species | Mouse |
| Immunogen | E. coli derived recombinant Mouse CD253 / TRAIL. (MRGGRPQKVA AHITGITRRS NSALIPISKD GKTLGQKIES WESSRKGHSF LNHVLFRNGE LVIEQEGLYY IYSQTYFRFQ EAEDASKMVS KDKVRTKQLV QYIYKYTSYP DPIVLMKSAR NSCWSRDAEY GLYSIYQGGL FELKKNDRIF VSVTNEHLMD LDQEASFFGA FLIN) |
| Conjugation | Un-conjugated |
| Alternate Names | TL2; CD253; Protein TRAIL; TNF-related apoptosis-inducing ligand; TRAIL; CD antigen CD253; Apo-2 ligand; Apo-2L; APO2L; Tumor necrosis factor ligand superfamily member 10 |
Application Instructions
| Application Suggestion |
|
||||||
|---|---|---|---|---|---|---|---|
| Application Note | * The dilutions indicate recommended starting dilutions and the optimal dilutions or concentrations should be determined by the scientist. |
Properties
| Form | Liquid |
|---|---|
| Purification | Affinity purification with immunogen. |
| Buffer | PBS (pH 7.2) |
| Concentration | 1 mg/ml |
| Storage Instruction | For continuous use, store undiluted antibody at 2-8°C for up to a week. For long-term storage, aliquot and store at -20°C or below. Storage in frost free freezers is not recommended. Avoid repeated freeze/thaw cycles. Suggest spin the vial prior to opening. The antibody solution should be gently mixed before use. |
| Note | For laboratory research only, not for drug, diagnostic or other use. |
Bioinformation
| Database Links |
Swiss-port # P50591 Human Tumor necrosis factor ligand superfamily member 10 Swiss-port # P50592 Mouse Tumor necrosis factor ligand superfamily member 10 |
|---|---|
| Gene Symbol | Tnfsf10 |
| Gene Full Name | tumor necrosis factor (ligand) superfamily, member 10 |
| Background | The protein encoded by this gene is a cytokine that belongs to the tumor necrosis factor (TNF) ligand family. This protein preferentially induces apoptosis in transformed and tumor cells, but does not appear to kill normal cells although it is expressed at a significant level in most normal tissues. This protein binds to several members of TNF receptor superfamily including TNFRSF10A/TRAILR1, TNFRSF10B/TRAILR2, TNFRSF10C/TRAILR3, TNFRSF10D/TRAILR4, and possibly also to TNFRSF11B/OPG. The activity of this protein may be modulated by binding to the decoy receptors TNFRSF10C/TRAILR3, TNFRSF10D/TRAILR4, and TNFRSF11B/OPG that cannot induce apoptosis. The binding of this protein to its receptors has been shown to trigger the activation of MAPK8/JNK, caspase 8, and caspase 3. Alternatively spliced transcript variants encoding different isoforms have been found for this gene. [provided by RefSeq, Jul 2010] |
| Function | Cytokine that binds to TNFRSF10A/TRAILR1, TNFRSF10B/TRAILR2, TNFRSF10C/TRAILR3, TNFRSF10D/TRAILR4 and possibly also to TNFRSF11B/OPG. Induces apoptosis. Its activity may be modulated by binding to the decoy receptors TNFRSF10C/TRAILR3, TNFRSF10D/TRAILR4 and TNFRSF11B/OPG that cannot induce apoptosis. [UniProt] |
| Calculated MW | 33 kDa |
| PTM | Tyrosine phosphorylated by PKDCC/VLK. |
Images (3) Click the Picture to Zoom In
-
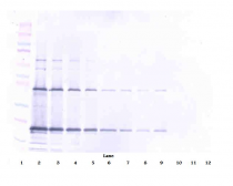
ARG66148 anti-CD253 / TRAIL antibody WB image
Western blot: 250 - 0.24 ng of Mouse TRAIL stained with ARG66148 anti-CD253 / TRAIL antibody, under non-reducing conditions.
-
ARG66148 anti-CD253 / TRAIL antibody standard curve image
Sandwich ELISA: ARG66148 anti-CD253 / TRAIL antibody as a capture antibody at 0.5 - 2.0 µg/ml combined with ARG66149 anti-CD253 / TRAIL antibody (Biotin) as a detection antibody. Results of a typical standard run with optical density reading at 405 - 650 nm.
-
ARG66148 anti-CD253 / TRAIL antibody WB image
Western blot: 250 - 0.24 ng of Mouse TRAIL stained with ARG66148 anti-CD253 / TRAIL antibody, under reducing conditions.
