ARG46029
anti-CD276 / B7-H3 antibody [2A7]
anti-CD276 / B7-H3 antibody [2A7] for Western blot,IHC-Formalin-fixed paraffin-embedded sections,ICC/IF,Flow cytometry and Human
Overview
| Product Description | Mouse Monoclonal antibody [2A7] recognizes CD276 / B7-H3 |
|---|---|
| Tested Reactivity | Hu |
| Tested Application | FACS, ICC/IF, IHC-P, WB |
| Host | Mouse |
| Clonality | Monoclonal |
| Clone | 2A7 |
| Isotype | IgG1, kappa |
| Target Name | CD276 / B7-H3 |
| Antigen Species | Human |
| Immunogen | Extracellular domain of human CD276 / B7-H3. |
| Conjugation | Un-conjugated |
| Alternate Names | CD276; B7-H3; B7 homolog 3; B7H3; 4Ig-B7-H3; B7RP-2; Costimulatory molecule; CD antigen CD276; CD276 antigen |
Application Instructions
| Application Suggestion |
|
||||||||||
|---|---|---|---|---|---|---|---|---|---|---|---|
| Application Note | * The dilutions indicate recommended starting dilutions and the optimal dilutions or concentrations should be determined by the scientist. | ||||||||||
| Observed Size | 100 kDa |
Properties
| Purification | Purification with Protein A |
|---|---|
| Buffer | PBS and 0.02% Sodium azide. |
| Preservative | 0.02% Sodium azide |
| Concentration | 1 mg/ml |
| Storage Instruction | For continuous use, store undiluted antibody at 2-8°C for up to a week. For long-term storage, aliquot and store at -20°C. Storage in frost free freezers is not recommended. Avoid repeated freeze/thaw cycles. Suggest spin the vial prior to opening. The antibody solution should be gently mixed before use. |
| Note | For laboratory research only, not for drug, diagnostic or other use. |
Bioinformation
| Database Links | |
|---|---|
| Gene Symbol | CD276 |
| Gene Full Name | CD276 molecule |
| Background | The protein encoded by this gene belongs to the immunoglobulin superfamily, and thought to participate in the regulation of T-cell-mediated immune response. Studies show that while the transcript of this gene is ubiquitously expressed in normal tissues and solid tumors, the protein is preferentially expressed only in tumor tissues. Additionally, it was observed that the 3' UTR of this transcript contains a target site for miR29 microRNA, and there is an inverse correlation between the expression of this protein and miR29 levels, suggesting regulation of expression of this gene product by miR29. Alternatively spliced transcript variants encoding different isoforms have been found for this gene. [provided by RefSeq, Sep 2011] |
| Function | May participate in the regulation of T-cell-mediated immune response. May play a protective role in tumor cells by inhibiting natural-killer mediated cell lysis as well as a role of marker for detection of neuroblastoma cells. May be involved in the development of acute and chronic transplant rejection and in the regulation of lymphocytic activity at mucosal surfaces. Could also play a key role in providing the placenta and fetus with a suitable immunological environment throughout pregnancy. Both isoform 1 and isoform 2 appear to be redundant in their ability to modulate CD4 T-cell responses. Isoform 2 is shown to enhance the induction of cytotoxic T-cells and selectively stimulates interferon gamma production in the presence of T-cell receptor signaling. [UniProt] |
| Cellular Localization | Membrane; Single-pass type I membrane protein. [UniProt] |
| Calculated MW | 57 kDa |
Images (4) Click the Picture to Zoom In
-
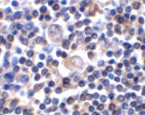
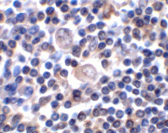
ARG46029 anti-CD276 / B7-H3 antibody [2A7] IHC-P image
Immunohistochemistry: Human colon carcinoma stained with ARG46029 anti-CD276 / B7-H3 antibody [2A7].
-
ARG46029 anti-CD276 / B7-H3 antibody [2A7] ICC/IF image
Immunofluorescence: HEK293 stained with ARG46029 anti-CD276 / B7-H3 antibody [2A7].
-
ARG46029 anti-CD276 / B7-H3 antibody [2A7] FACS image
Flow Cytometry: HEK293 stained with ARG46029 anti-CD276 / B7-H3 antibody [2A7].
-
ARG46029 anti-CD276 / B7-H3 antibody [2A7] WB image
Western blot: HEK293 stained with ARG46029 anti-CD276 / B7-H3 antibody [2A7].
