ARG66911
anti-CD41 antibody [Q90]
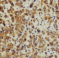
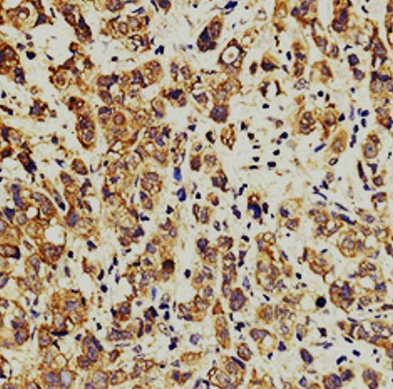
anti-CD41 antibody [Q90] for IHC-Formalin-fixed paraffin-embedded sections and Human
Overview
| Product Description | Mouse Monoclonal antibody [Q90] recognizes CD41 |
|---|---|
| Tested Reactivity | Hu |
| Predict Reactivity | Ms |
| Tested Application | IHC-P |
| Host | Mouse |
| Clonality | Monoclonal |
| Clone | Q90 |
| Isotype | IgG |
| Target Name | CD41 |
| Antigen Species | Human |
| Immunogen | Synthetic peptide corresponding to Human CD41. |
| Conjugation | Un-conjugated |
| Protein Full Name | Integrin alpha-IIb |
| Alternate Names | GTA; GT; GPalpha IIb; PPP1R93; CD41; BDPLT2; BDPLT16; GP2B; Integrin alpha-IIb; GPIIb; Platelet membrane glycoprotein IIb; HPA3; CD antigen CD41; CD41B |
Application Instructions
| Application Suggestion |
|
||||
|---|---|---|---|---|---|
| Application Note | * The dilutions indicate recommended starting dilutions and the optimal dilutions or concentrations should be determined by the scientist. |
Properties
| Form | Liquid |
|---|---|
| Purification | Affinity purification with immunogen. |
| Buffer | PBS (pH 7.4), 0.02% Sodium azide, 50% Glycerol and 0.5% BSA. |
| Preservative | 0.02% Sodium azide |
| Stabilizer | 50% Glycerol and 0.5% BSA |
| Concentration | Batch dependent |
| Storage Instruction | For continuous use, store undiluted antibody at 2-8°C for up to a week. For long-term storage, aliquot and store at -20°C or below. Storage in frost free freezers is not recommended. Avoid repeated freeze/thaw cycles. Suggest spin the vial prior to opening. The antibody solution should be gently mixed before use. |
| Note | For laboratory research only, not for drug, diagnostic or other use. |
Bioinformation
| Database Links | |
|---|---|
| Gene Symbol | ITGA2B |
| Gene Full Name | integrin, alpha 2b (platelet glycoprotein IIb of IIb/IIIa complex, antigen CD41) |
| Background | ITGA2B encodes integrin alpha chain 2b. Integrins are heterodimeric integral membrane proteins composed of an alpha chain and a beta chain. Alpha chain 2b undergoes post-translational cleavage to yield disulfide-linked light and heavy chains that join with beta 3 to form a fibronectin receptor expressed in platelets that plays a crucial role in coagulation. Mutations that interfere with this role result in thrombasthenia. In addition to adhesion, integrins are known to participate in cell-surface mediated signalling. [provided by RefSeq, Jul 2008] |
| Function | Integrin alpha-IIb/beta-3 is a receptor for fibronectin, fibrinogen, plasminogen, prothrombin, thrombospondin and vitronectin. It recognizes the sequence R-G-D in a wide array of ligands. It recognizes the sequence H-H-L-G-G-G-A-K-Q-A-G-D-V in fibrinogen gamma chain. Following activation integrin alpha-IIb/beta-3 brings about platelet/platelet interaction through binding of soluble fibrinogen. This step leads to rapid platelet aggregation which physically plugs ruptured endothelial cell surface. [UniProt] |
| Cellular Localization | Membrane; Single-pass type I membrane protein. [UniProt] |
| Calculated MW | 113 kDa |
| PTM | Cleavage on pair of basic residues; Disulfide bond; Glycoprotein; Pyrrolidone carboxylic acid |
Images (1) Click the Picture to Zoom In
