ARG45984
anti-CD5L antibody
anti-CD5L antibody for ICC/IF,IHC-Formalin-fixed paraffin-embedded sections,Western blot and Human
Overview
| Product Description | Rabbit Polyclonal antibody recognizes CD5L |
|---|---|
| Tested Reactivity | Hu |
| Tested Application | ICC/IF, IHC-P, WB |
| Host | Rabbit |
| Clonality | Polyclonal |
| Isotype | IgG |
| Target Name | CD5L |
| Antigen Species | Human |
| Immunogen | A 16 amino acid synthetic peptide within aa. 60 - 110 of human CD5L. |
| Conjugation | Un-conjugated |
| Alternate Names | CD5L; CD5 molecule-like; AIM; AIM; API6; PRO229; Spalpha; SP-ALPHA; UNQ203/PRO229; CD5 antigen-like; CT-2 |
Application Instructions
| Application Suggestion |
|
||||||||
|---|---|---|---|---|---|---|---|---|---|
| Application Note | * The dilutions indicate recommended starting dilutions and the optimal dilutions or concentrations should be determined by the scientist. |
Properties
| Purification | Affinity chromatography purified |
|---|---|
| Buffer | PBS and 0.02% Sodium azide. |
| Preservative | 0.02% Sodium azide |
| Concentration | 1 mg/ml |
| Storage Instruction | For continuous use, store undiluted antibody at 2-8°C for up to a week. For long-term storage, aliquot and store at -34°C or below. Storage in frost free freezers is not recommended. Avoid repeated freeze/thaw cycles. Suggest spin the vial prior to opening. The antibody solution should be gently mixed before use. |
| Note | For laboratory research only, not for drug, diagnostic or other use. |
Bioinformation
| Database Links | |
|---|---|
| Gene Symbol | CD5L |
| Gene Full Name | CD5 molecule-like |
| Background | Predicted to be involved in cellular defense response. Predicted to act upstream of or within positive regulation of complement-dependent cytotoxicity and regulation of complement activation. Located in cell surface. [provided by Alliance of Genome Resources, Jul 2025] |
| Function | Secreted protein that acts as a key regulator of lipid synthesis: mainly expressed by macrophages in lymphoid and inflamed tissues and regulates mechanisms in inflammatory responses, such as infection or atherosclerosis. Able to inhibit lipid droplet size in adipocytes. Following incorporation into mature adipocytes via CD36-mediated endocytosis, associates with cytosolic FASN, inhibiting fatty acid synthase activity and leading to lipolysis, the degradation of triacylglycerols into glycerol and free fatty acids (FFA). CD5L-induced lipolysis occurs with progression of obesity: participates in obesity-associated inflammation following recruitment of inflammatory macrophages into adipose tissues, a cause of insulin resistance and obesity-related metabolic disease. Regulation of intracellular lipids mediated by CD5L has a direct effect on transcription regulation mediated by nuclear receptors ROR-gamma (RORC). Acts as a key regulator of metabolic switch in T-helper Th17 cells. Regulates the expression of pro-inflammatory genes in Th17 cells by altering the lipid content and limiting synthesis of cholesterol ligand of RORC, the master transcription factor of Th17-cell differentiation. CD5L is mainly present in non-pathogenic Th17 cells, where it decreases the content of polyunsaturated fatty acyls (PUFA), affecting two metabolic proteins MSMO1 and CYP51A1, which synthesize ligands of RORC, limiting RORC activity and expression of pro-inflammatory genes. Participates in obesity-associated autoimmunity via its association with IgM, interfering with the binding of IgM to Fcalpha/mu receptor and enhancing the development of long-lived plasma cells that produce high-affinity IgG autoantibodies (By similarity). Also acts as an inhibitor of apoptosis in macrophages: promotes macrophage survival from the apoptotic effects of oxidized lipids in case of atherosclerosis (PubMed:24295828). Involved in early response to microbial infection against various pathogens by acting as a pattern recognition receptor and by promoting autophagy (PubMed:16030018, PubMed:24223991, PubMed:24583716, PubMed:25713983). [UniProt] |
| Cellular Localization | Secreted; Cytoplasm. [UniProt] |
| Calculated MW | 38 kDa |
| PTM | Disulfide bond; Glycoprotein. [UniProt] |
Images (3) Click the Picture to Zoom In
-
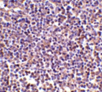
ARG45984 anti-CD5L antibody IHC-P image
Immunohistochemistry: Human lymph node stained with ARG45984 anti-CD5L antibody.
-
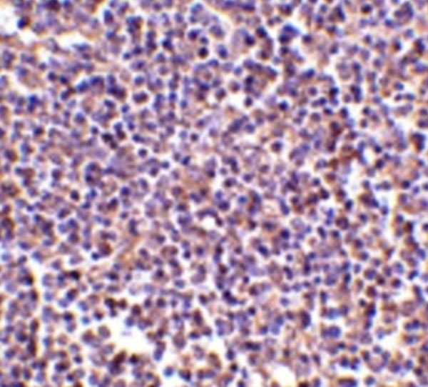
ARG45984 anti-CD5L antibody ICC/IF image
Immunofluorescence: Human Lymph Node stained with ARG45984 anti-CD5L antibody.
-
ARG45984 anti-CD5L antibody WB image
Western blot: Human lymph node stained with ARG45984 anti-CD5L antibody.
