ARG40230
anti-CD99 antibody
anti-CD99 antibody for Flow cytometry,ICC/IF,IHC-Formalin-fixed paraffin-embedded sections,Immunoprecipitation,Western blot and Human
Overview
| Product Description | Rabbit Polyclonal antibody recognizes CD99 |
|---|---|
| Tested Reactivity | Hu |
| Tested Application | FACS, ICC/IF, IHC-P, IP, WB |
| Host | Rabbit |
| Clonality | Polyclonal |
| Isotype | IgG |
| Target Name | CD99 |
| Antigen Species | Human |
| Immunogen | Synthetic peptide derived from Human CD99. |
| Conjugation | Un-conjugated |
| Alternate Names | 12E7; CD99 antigen; MIC2X; MIC2Y; CD antigen CD99; MSK5X; Protein MIC2; MIC2; T-cell surface glycoprotein E2; HBA71; E2 antigen |
Application Instructions
| Application Suggestion |
|
||||||||||||
|---|---|---|---|---|---|---|---|---|---|---|---|---|---|
| Application Note | * The dilutions indicate recommended starting dilutions and the optimal dilutions or concentrations should be determined by the scientist. | ||||||||||||
| Positive Control | HUVEC | ||||||||||||
| Observed Size | ~ 28 kDa |
Properties
| Form | Liquid |
|---|---|
| Purification | Affinity purified. |
| Buffer | PBS (pH 7.4), 0.02% Sodium azide and 50% Glycerol. |
| Preservative | 0.02% Sodium azide |
| Stabilizer | 50% Glycerol |
| Storage Instruction | For continuous use, store undiluted antibody at 2-8°C for up to a week. For long-term storage, aliquot and store at -20°C. Storage in frost free freezers is not recommended. Avoid repeated freeze/thaw cycles. Suggest spin the vial prior to opening. The antibody solution should be gently mixed before use. |
| Note | For laboratory research only, not for drug, diagnostic or other use. |
Bioinformation
| Database Links | |
|---|---|
| Gene Symbol | CD99 |
| Gene Full Name | CD99 molecule |
| Background | CD99 is a cell surface glycoprotein involved in leukocyte migration, T-cell adhesion, ganglioside GM1 and transmembrane protein transport, and T-cell death by a caspase-independent pathway. In addition, the encoded protein may have the ability to rearrange the actin cytoskeleton and may also act as an oncosuppressor in osteosarcoma. This gene is found in the pseudoautosomal region of chromosomes X and Y and escapes X-chromosome inactivation. There is a related pseudogene located immediately adjacent to this locus. [provided by RefSeq, Mar 2016] |
| Function | CD99 involved in T-cell adhesion processes and in spontaneous rosette formation with erythrocytes. Plays a role in a late step of leukocyte extravasation helping leukocytes to overcome the endothelial basement membrane. Acts at the same site as, but independently of, PECAM1. Involved in T-cell adhesion processes. [UniProt] |
| Cellular Localization | Membrane; Single-pass type I membrane protein. [UniProt] |
| Calculated MW | 19 kDa |
| PTM | Extensively O-glycosylated. [UniProt] |
Images (3) Click the Picture to Zoom In
-
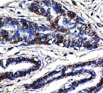
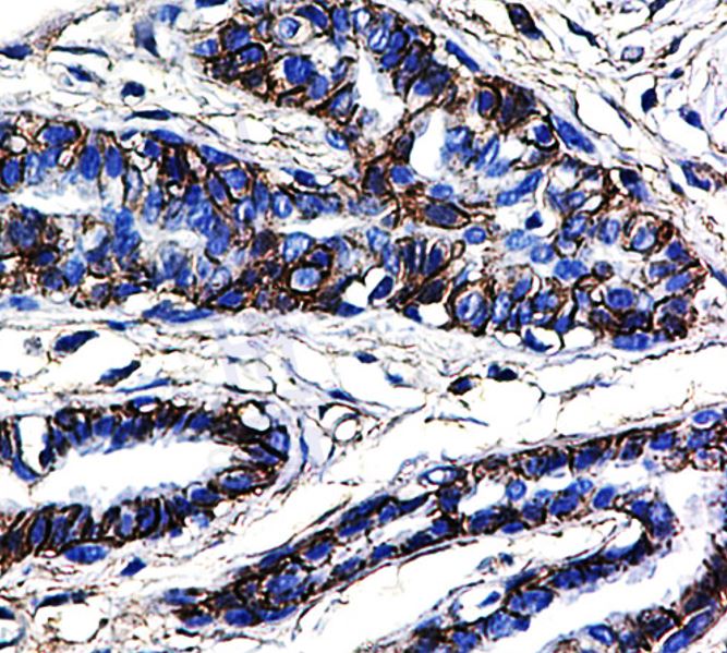
ARG40230 anti-CD99 antibody IHC-P image
Immunohistochemistry: Human breast cancer stained with ARG40230 anti-CD99 antibody.
-
ARG40230 anti-CD99 antibody ICC/IF image
Immunofluorescence: Hela stained with ARG40230 anti-CD99 antibody.
-
ARG40230 anti-CD99 antibody WB image
Western blot: HUVEC cell lysate stained with ARG40230 anti-CD99 antibody.
