ARG51638
anti-CDC25A phospho (Ser76) antibody
anti-CDC25A phospho (Ser76) antibody for IHC-Formalin-fixed paraffin-embedded sections,Western blot and Human,Mouse,Rat
Cancer antibody; Cell Biology and Cellular Response antibody; Gene Regulation antibody
Overview
| Product Description | Rabbit Polyclonal antibody recognizes CDC25A phospho (Ser76) |
|---|---|
| Tested Reactivity | Hu, Ms, Rat |
| Tested Application | IHC-P, WB |
| Host | Rabbit |
| Clonality | Polyclonal |
| Isotype | IgG |
| Target Name | CDC25A |
| Antigen Species | Human |
| Immunogen | Peptide sequence around phosphorylation site of serine 76 (M-G-S(p)-S-E) derived from Human cdc25A. |
| Conjugation | Un-conjugated |
| Alternate Names | CDC25A2; EC 3.1.3.48; M-phase inducer phosphatase 1; Dual specificity phosphatase Cdc25A |
Application Instructions
| Application Suggestion |
|
||||||
|---|---|---|---|---|---|---|---|
| Application Note | * The dilutions indicate recommended starting dilutions and the optimal dilutions or concentrations should be determined by the scientist. |
Properties
| Form | Liquid |
|---|---|
| Purification | Antibodies were produced by immunizing rabbits with KLH-conjugated synthetic phosphopeptide. Antibodies were purified by affinity-chromatography using epitope-specific phosphopeptide. In addition, non-phospho specific antibodies were removed by chromatogramphy using non-phosphopeptide. |
| Buffer | PBS (without Mg2+ and Ca2+, pH 7.4), 150mM NaCl, 0.02% Sodium azide and 50% Glycerol. |
| Preservative | 0.02% Sodium azide |
| Stabilizer | 50% Glycerol |
| Concentration | 1 mg/ml |
| Storage Instruction | For continuous use, store undiluted antibody at 2-8°C for up to a week. For long-term storage, aliquot and store at -20°C. Storage in frost free freezers is not recommended. Avoid repeated freeze/thaw cycles. Suggest spin the vial prior to opening. The antibody solution should be gently mixed before use. |
| Note | For laboratory research only, not for drug, diagnostic or other use. |
Bioinformation
| Database Links | |
|---|---|
| Gene Symbol | CDC25A |
| Gene Full Name | cell division cycle 25A |
| Background | Tyrosine protein phosphatase which functions as a dosage-dependent inducer of mitotic progression. Directly dephosphorylates CDC2 and stimulates its kinase activity. Also dephosphorylates CDK2 in complex with cyclin E, in vitro. |
| Function | Tyrosine protein phosphatase which functions as a dosage-dependent inducer of mitotic progression. Directly dephosphorylates CDK1 and stimulates its kinase activity. Also dephosphorylates CDK2 in complex with cyclin E, in vitro. [UniProt] |
| Research Area | Cancer antibody; Cell Biology and Cellular Response antibody; Gene Regulation antibody |
| Calculated MW | 59 kDa |
| PTM | Phosphorylated by CHEK1 on Ser-76, Ser-124, Ser-178, Ser-279, Ser-293 and Thr-507 during checkpoint mediated cell cycle arrest. Also phosphorylated by CHEK2 on Ser-124, Ser-279, and Ser-293 during checkpoint mediated cell cycle arrest. Phosphorylation on Ser-178 and Thr-507 creates binding sites for YWHAE/14-3-3 epsilon which inhibits CDC25A. Phosphorylation on Ser-76, Ser-124, Ser-178, Ser-279 and Ser-293 may also promote ubiquitin-dependent proteolysis of CDC25A by the SCF complex. Phosphorylation of CDC25A at Ser-76 by CHEK1 primes it for subsequent phosphorylation at Ser-79, Ser-82 and Ser-88 by NEK11. Phosphorylation by NEK11 is required for BTRC-mediated polyubiquitination and degradation. Phosphorylation by PIM1 leads to an increase in phosphatase activity. Phosphorylated by PLK3 following DNA damage, leading to promote its ubiquitination and degradation. Ubiquitinated by the anaphase promoting complex/cyclosome (APC/C) ubiquitin ligase complex that contains FZR1/CDH1 during G1 phase leading to its degradation by the proteasome. Ubiquitinated by a SCF complex containing BTRC and FBXW11 during S phase leading to its degradation by the proteasome. Deubiquitination by USP17L2/DUB3 leads to its stabilization. |
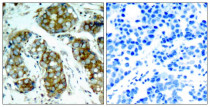
Images (2) Click the Picture to Zoom In
-
ARG51638 anti-CDC25A phospho (Ser76) antibody WB image
Western blot: Extracts from HeLa cells untreated or treated with TNF-a and CA stained with ARG51638 anti-CDC25A phospho (Ser76) antibody.
-
ARG51638 anti-CDC25A phospho (Ser76) antibody IHC-P image
Immunohistochemistry: Paraffin-embedded Human breast carcinoma tissue stained with ARG51638 anti-CDC25A phospho (Ser76) antibody (left) or the same antibody preincubated with blocking peptide (right).
