ARG66657
anti-CDC25B phospho (Ser353) antibody
anti-CDC25B phospho (Ser353) antibody for IHC-Formalin-fixed paraffin-embedded sections,Western blot and Human,Monkey
Overview
| Product Description | Rabbit Polyclonal antibody recognizes CDC25B phospho (Ser353) |
|---|---|
| Tested Reactivity | Hu, Mk |
| Tested Application | IHC-P, WB |
| Host | Rabbit |
| Clonality | Polyclonal |
| Isotype | IgG |
| Target Name | CDC25B |
| Antigen Species | Human |
| Immunogen | Phosphospecific peptide around Ser353 of Human CDC25B. |
| Conjugation | Un-conjugated |
| Alternate Names | M-phase inducer phosphatase 2; EC 3.1.3.48; Dual specificity phosphatase Cdc25B |
Application Instructions
| Application Suggestion |
|
||||||
|---|---|---|---|---|---|---|---|
| Application Note | * The dilutions indicate recommended starting dilutions and the optimal dilutions or concentrations should be determined by the scientist. | ||||||
| Observed Size | ~ 65 kDa |
Properties
| Form | Liquid |
|---|---|
| Purification | Affinity purification with immunogen. |
| Buffer | PBS, 0.02% Sodium azide, 50% Glycerol and 0.5% BSA. |
| Preservative | 0.02% Sodium azide |
| Stabilizer | 50% Glycerol and 0.5% BSA |
| Concentration | 1 mg/ml |
| Storage Instruction | For continuous use, store undiluted antibody at 2-8°C for up to a week. For long-term storage, aliquot and store at -20°C. Storage in frost free freezers is not recommended. Avoid repeated freeze/thaw cycles. Suggest spin the vial prior to opening. The antibody solution should be gently mixed before use. |
| Note | For laboratory research only, not for drug, diagnostic or other use. |
Bioinformation
| Database Links | |
|---|---|
| Gene Symbol | CDC25B |
| Gene Full Name | cell division cycle 25B |
| Background | CDC25B is a member of the CDC25 family of phosphatases. CDC25B activates the cyclin dependent kinase CDC2 by removing two phosphate groups and it is required for entry into mitosis. CDC25B shuttles between the nucleus and the cytoplasm due to nuclear localization and nuclear export signals. The protein is nuclear in the M and G1 phases of the cell cycle and moves to the cytoplasm during S and G2. CDC25B has oncogenic properties, although its role in tumor formation has not been determined. Multiple transcript variants for this gene exist. [provided by RefSeq, Jul 2008] |
| Function | Tyrosine protein phosphatase which functions as a dosage-dependent inducer of mitotic progression. Required for G2/M phases of the cell cycle progression and abscission during cytokinesis in a ECT2-dependent manner. Directly dephosphorylates CDK1 and stimulates its kinase activity. The three isoforms seem to have a different level of activity. [UniProt] |
| Cellular Localization | Cytoplasm, cytoskeleton, microtubule organizing center, centrosome. Cytoplasm, cytoskeleton, spindle pole. [UniProt] |
| Calculated MW | 65 kDa |
| PTM | Phosphorylated by BRSK1 in vitro. Phosphorylated by CHEK1, which inhibits the activity of this protein. Phosphorylation at Ser-353 by AURKA might locally participate in the control of the onset of mitosis. Phosphorylation by MELK at Ser-169 promotes localization to the centrosome and the spindle poles during mitosis. Phosphorylation at Ser-323 and Ser-375 by MAPK14 is required for binding to 14-3-3 proteins. [UniProt] |
Images (2) Click the Picture to Zoom In
-
ARG66657 anti-CDC25B phospho (Ser353) antibody WB image
Western blot: COS7 cells treated with etoposide (25 µM for 24 hours). Cell lysates stained with ARG66657 anti-CDC25B phospho (Ser353) antibody. The lane on the right is blocked with the phospho peptide.
-
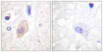
ARG66657 anti-CDC25B phospho (Ser353) antibody IHC-P image
Immunohistochemistry: Paraffin-embedded Human brain tissue stained with ARG66657 anti-CDC25B phospho (Ser353) antibody. The picture on the right is blocked with the phospho peptide.
