ARG46078
anti-CDIP antibody
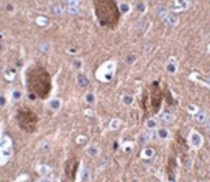
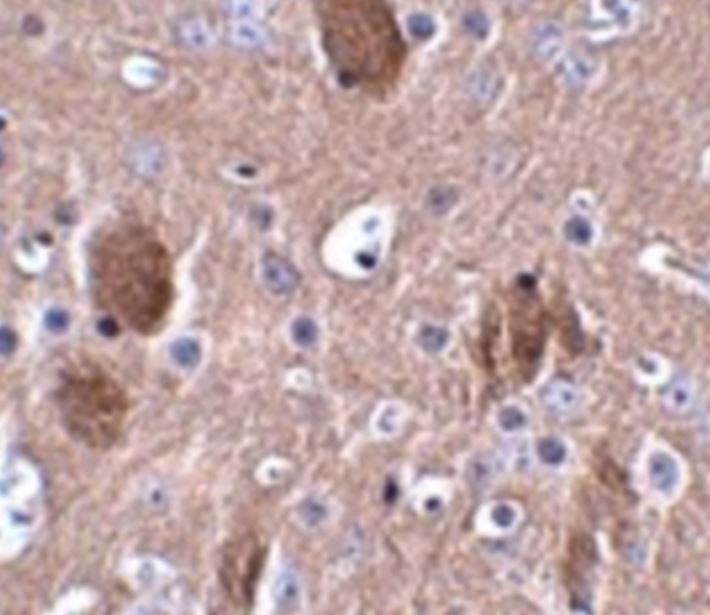
anti-CDIP antibody for Western blot,IHC-Formalin-fixed paraffin-embedded sections and Human,Mouse
Overview
| Product Description | Rabbit Polyclonal antibody recognizes CDIP |
|---|---|
| Tested Reactivity | Hu, Ms |
| Tested Application | IHC-P, WB |
| Host | Rabbit |
| Clonality | Polyclonal |
| Isotype | IgG |
| Target Name | CDIP |
| Antigen Species | Human |
| Immunogen | A 19 amino acid synthetic peptide within aa. 70 - 120 of human CDIP. |
| Conjugation | Un-conjugated |
| Alternate Names | CDIP1; cell death inducing p53 target 1; CDIP; I1; CDIP; LITAFL; C16orf5; Cell death-inducing p53-target protein 1; Cell death involved p53-target |
Application Instructions
| Application Suggestion |
|
||||||
|---|---|---|---|---|---|---|---|
| Application Note | * The dilutions indicate recommended starting dilutions and the optimal dilutions or concentrations should be determined by the scientist. |
Properties
| Form | Liquid |
|---|---|
| Purification | Affinity chromatography purified |
| Buffer | PBS and 0.02% Sodium azide. |
| Preservative | 0.02% Sodium azide |
| Concentration | 1 mg/ml |
| Storage Instruction | For continuous use, store undiluted antibody at 2-8°C for up to a week. For long-term storage, aliquot and store at -128°C or below. Storage in frost free freezers is not recommended. Avoid repeated freeze/thaw cycles. Suggest spin the vial prior to opening. The antibody solution should be gently mixed before use. |
| Note | For laboratory research only, not for drug, diagnostic or other use. |
Bioinformation
| Database Links |
Swiss-port # Q9DB75 Mouse Cell death-inducing p53-target protein 1 Swiss-port # Q9H305 Human Cell death-inducing p53-target protein 1 |
|---|---|
| Gene Symbol | CDIP1 |
| Gene Full Name | cell death inducing p53 target 1 |
| Background | Predicted to enable zinc ion binding activity. Acts upstream of or within intrinsic apoptotic signaling pathway in response to DNA damage by p53 class mediator. Located in cytoplasmic side of late endosome membrane; cytoplasmic side of lysosomal membrane; and nucleus. [provided by Alliance of Genome Resources, Jul 2025] |
| Function | Acts as an important p53/TP53-apoptotic effector. Regulates TNF-alpha-mediated apoptosis in a p53/TP53-dependent manner. [UniProt] |
| Cellular Localization | Cytoplasm; Endosome; Lysosome membrane. [UniProt] |
| Calculated MW | 22 kDa |
Images (2) Click the Picture to Zoom In
