ARG66281
anti-CDK1 / CDC2 antibody
anti-CDK1 / CDC2 antibody for ICC/IF,IHC-Formalin-fixed paraffin-embedded sections,Western blot and Human
Cell Biology and Cellular Response antibody; Gene Regulation antibody; Neuroscience antibody
Overview
| Product Description | Rabbit Polyclonal antibody recognizes CDK1 / CDC2 |
|---|---|
| Tested Reactivity | Hu |
| Predict Reactivity | Ms, Rat |
| Tested Application | ICC/IF, IHC-P, WB |
| Specificity | The antibody detects endogenous level of total CDC2 protein. |
| Host | Rabbit |
| Clonality | Polyclonal |
| Isotype | IgG |
| Target Name | CDK1 / CDC2 |
| Antigen Species | Human |
| Immunogen | KLH-conjugated synthetic peptide around aa. 13-17 (GTYGV) of Human CDC2. |
| Conjugation | Un-conjugated |
| Alternate Names | CDK1; Cyclin Dependent Kinase 1; CDC28A; CDC2; Cell Division Cycle 2, G1 To S And G2 To M; Cell Division Control Protein 2 Homolog; Cell Division Protein Kinase 1; Cyclin-Dependent Kinase 1; P34 Protein Kinase; P34CDC2; Cell Cycle Controller CDC2; EC 2.7.11.22; EC 2.7.11.23; CDKN1 |
Application Instructions
| Application Suggestion |
|
||||||||
|---|---|---|---|---|---|---|---|---|---|
| Application Note | * The dilutions indicate recommended starting dilutions and the optimal dilutions or concentrations should be determined by the scientist. |
Properties
| Form | Liquid |
|---|---|
| Purification | Affinity purification with immunogen. |
| Buffer | PBS (pH 7.4), 150mM NaCl, 0.02% Sodium azide and 50% Glycerol. |
| Preservative | 0.02% Sodium azide |
| Stabilizer | 50% Glycerol |
| Concentration | 1 mg/ml |
| Storage Instruction | For continuous use, store undiluted antibody at 2-8°C for up to a week. For long-term storage, aliquot and store at -20°C. Storage in frost free freezers is not recommended. Avoid repeated freeze/thaw cycles. Suggest spin the vial prior to opening. The antibody solution should be gently mixed before use. |
| Note | For laboratory research only, not for drug, diagnostic or other use. |
Bioinformation
| Database Links | |
|---|---|
| Gene Symbol | CDK1 |
| Gene Full Name | Cyclin Dependent Kinase 1 |
| Background | The protein encoded by this gene is a member of the Ser/Thr protein kinase family. This protein is a catalytic subunit of the highly conserved protein kinase complex known as M-phase promoting factor (MPF), which is essential for G2/M phase transitions of eukaryotic cell cycle. Mitotic cyclins stably associate with this protein and function as regulatory subunits. The kinase activity of this protein is controlled by cyclin accumulation and destruction through the cell cycle. The phosphorylation and dephosphorylation of this protein also play important regulatory roles in cell cycle control. Alternatively spliced transcript variants encoding different isoforms have been found for this gene. [provided by RefSeq, May 2023] |
| Function | Plays a key role in the control of the eukaryotic cell cycle by modulating the centrosome cycle as well as mitotic onset; promotes G2-M transition via association with multiple interphase cyclins. [UniProt] |
| Cellular Localization | Cytoplasm, Cytoskeleton, Mitochondrion, Nucleus. [UniProt] |
| Research Area | Cell Biology and Cellular Response antibody; Gene Regulation antibody; Neuroscience antibody |
| Calculated MW | 34 kDa |
| PTM | Acetylation, Isopeptide bond, Phosphoprotein, Ubl conjugation. [UniProt] |
Images (4) Click the Picture to Zoom In
-
ARG66281 anti-CDK1 / CDC2 antibody WB image
Western blot: HK2 stained with ARG66281 anti-CDK1 / CDC2 antibody.
From Hsing-Yu Chen et al. Int J Mol Sci (2023), doi: 10.3390/ijms241310945, Fig. 4A.
-
ARG66281 anti-CDK1 / CDC2 antibody ICC/IF image
Immunofluorescence: Methanol-fixed HeLa cells stained with ARG66281 anti-CDK1 / CDC2 antibody.
-
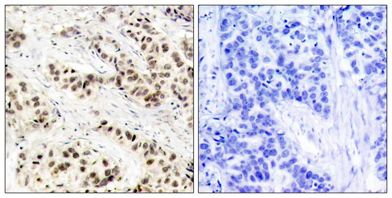
ARG66281 anti-CDK1 / CDC2 antibody IHC-P image
Immunohistochemistry: Paraffin-embedded Human breast carcinoma tissue stained with ARG66281 anti-CDK1 / CDC2 antibody (left) or the same antibody pre-incubated with blocking peptide (right).
-
ARG66281 anti-CDK1 / CDC2 antibody WB image
Western blot: HeLa and MCF7 cell lysates stained with ARG66281 anti-CDK1 / CDC2 antibody.

