ARG45194
anti-CDK12 antibody
anti-CDK12 antibody for Flow cytometry,ICC/IF,Immunohistochemistry,Western blot and Human
Overview
| Product Description | Rabbit Polyclonal antibody recognizes CDK12 |
|---|---|
| Tested Reactivity | Hu |
| Tested Application | FACS, ICC/IF, IHC, WB |
| Host | Rabbit |
| Clonality | Polyclonal |
| Isotype | IgG |
| Target Name | CDK12 |
| Antigen Species | Human |
| Immunogen | Recombinant protein containing to human CDK12. |
| Conjugation | Un-conjugated |
| Alternate Names | CDK12; Cyclin Dependent Kinase 12; CRK7; Cdc2-Related Kinase, Arginine/Serine-Rich; KIAA0904; CRKRS; CRKR; Cell Division Cycle 2-Related Protein Kinase 7; Cell Division Protein Kinase 12; CDC2-Related Protein Kinase 7; Cyclin-Dependent Kinase 12; EC 2.7.11.22; CDC2 Related Protein Kinase 7; EC 2.7.11.23; EC 2.7.11 47; HCDK12; CrkRS |
Application Instructions
| Application Suggestion |
|
||||||||||
|---|---|---|---|---|---|---|---|---|---|---|---|
| Application Note | * The dilutions indicate recommended starting dilutions and the optimal dilutions or concentrations should be determined by the scientist. | ||||||||||
| Observed Size | 205 kDa |
Properties
| Form | Liquid |
|---|---|
| Purification | Affinity purification with immunogen. |
| Buffer | 0.2% Na2HPO4, 0.9% NaCl and 4% Trehalose. |
| Stabilizer | 4% Trehalose |
| Concentration | 0.5 mg/ml |
| Storage Instruction | For continuous use, store undiluted antibody at 2-8°C for up to a week. For long-term storage, aliquot and store at -20°C or below. Storage in frost free freezers is not recommended. Avoid repeated freeze/thaw cycles. Suggest spin the vial prior to opening. The antibody solution should be gently mixed before use. |
| Note | For laboratory research only, not for drug, diagnostic or other use. |
Bioinformation
| Database Links | |
|---|---|
| Gene Symbol | CDK12 |
| Gene Full Name | Cyclin Dependent Kinase 12 |
| Background | Enables RNA polymerase II CTD heptapeptide repeat kinase activity and cyclin binding activity. Involved in several processes, including positive regulation of transcription elongation by RNA polymerase II; protein autophosphorylation; and regulation of MAP kinase activity. Located in nuclear speck. Part of cyclin K-CDK12 complex. Biomarker of gastric adenocarcinoma; hepatocellular carcinoma; and stomach cancer. [provided by Alliance of Genome Resources, Nov 2024] |
| Function | Cyclin-dependent kinase that phosphorylates the C-terminal domain (CTD) of the large subunit of RNA polymerase II (POLR2A), thereby acting as a key regulator of transcription elongation. Regulates the expression of genes involved in DNA repair and is required for the maintenance of genomic stability. Preferentially phosphorylates 'Ser-5' in CTD repeats that are already phosphorylated at 'Ser-7', but can also phosphorylate 'Ser-2'. Required for RNA splicing, possibly by phosphorylating SRSF1/SF2. Involved in regulation of MAP kinase activity, possibly leading to affect the response to estrogen inhibitors. [UniProt] |
| Cellular Localization | Nucleus. [UniProt] |
| Calculated MW | 164 kDa |
| PTM | Isopeptide bond; Phosphoprotein; Ubl conjugation. [UniProt] |
Images (4) Click the Picture to Zoom In
-
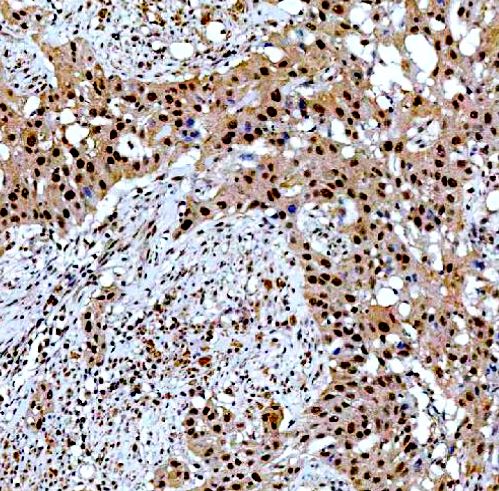
ARG45194 anti-CDK12 antibody IHC-P image
Immunohistochemistry: Human bladder urothelial carcinoma stained with ARG45194 anti-CDK12 antibody at 2 μg/ml dilution.
-
ARG45194 anti-CDK12 antibody ICC/IF image
Immunofluorescence: A549 stained with ARG45194 anti-CDK12 antibody at 5 ug/ml dilution.
-
ARG45194 anti-CDK12 antibody WB image
Western blot: Hela, K562, Jurkat, and HepG2 stained with ARG45194 anti-CDK12 antibody at 0.5 μg/ml dilution.
-
ARG45194 anti-CDK12 antibody FACS image
Flow Cytometry: A549 stained with ARG45194 anti-CDK12 antibody at 1 µg/10^6 cells dilution.
