ARG46079
anti-CDNF antibody
anti-CDNF antibody for Western blot,IHC-Formalin-fixed paraffin-embedded sections and Human,Mouse,Rat
Overview
| Product Description | Rabbit Polyclonal antibody recognizes CDNF |
|---|---|
| Tested Reactivity | Hu, Ms, Rat |
| Tested Application | IHC-P, WB |
| Host | Rabbit |
| Clonality | Polyclonal |
| Isotype | IgG |
| Target Name | CDNF |
| Antigen Species | Human |
| Immunogen | A 12 amino acid synthetic peptide within the first 50 amino acids of human CDNF. |
| Conjugation | Un-conjugated |
| Alternate Names | CDNF; ARMETL1; ARMETL1; Cerebral dopamine neurotrophic factor; ARMET-like protein 1 |
Application Instructions
| Application Suggestion |
|
||||||
|---|---|---|---|---|---|---|---|
| Application Note | * The dilutions indicate recommended starting dilutions and the optimal dilutions or concentrations should be determined by the scientist. |
Properties
| Form | Liquid |
|---|---|
| Purification | Affinity chromatography purified |
| Buffer | PBS and 0.02% Sodium azide. |
| Preservative | 0.02% Sodium azide |
| Concentration | 1 mg/ml |
| Storage Instruction | For continuous use, store undiluted antibody at 2-8°C for up to a week. For long-term storage, aliquot and store at -129°C or below. Storage in frost free freezers is not recommended. Avoid repeated freeze/thaw cycles. Suggest spin the vial prior to opening. The antibody solution should be gently mixed before use. |
| Note | For laboratory research only, not for drug, diagnostic or other use. |
Bioinformation
| Database Links | |
|---|---|
| Gene Symbol | CDNF |
| Gene Full Name | cerebral dopamine neurotrophic factor |
| Background | Predicted to enable growth factor activity. Predicted to be involved in dopaminergic neuron differentiation and neuron projection development. Predicted to be located in extracellular region. Predicted to be active in endoplasmic reticulum and extracellular space. [provided by Alliance of Genome Resources, Jul 2025] |
| Function | Trophic factor for dopamine neurons. Prevents the 6-hydroxydopamine (6-OHDA)-induced degeneration of dopaminergic neurons. When administered after 6-OHDA-lesioning, restores the dopaminergic function and prevents the degeneration of dopaminergic neurons in substantia nigra (By similarity). [UniProt] |
| Cellular Localization | Secreted . [UniProt] |
| Calculated MW | 21 kDa |
| PTM | Disulfide bond. [UniProt] |
Images (3) Click the Picture to Zoom In
-
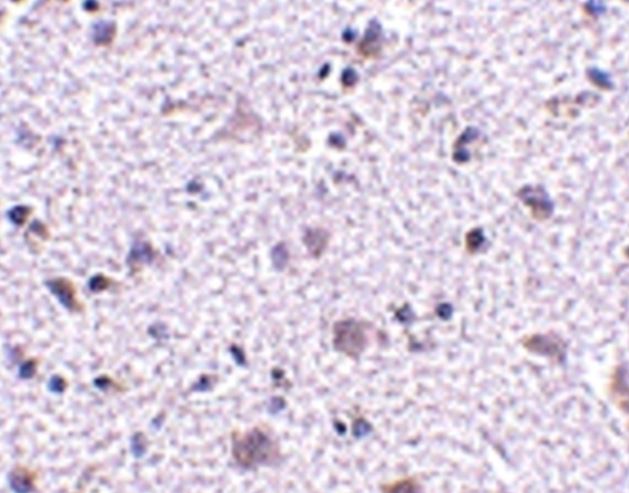
ARG46079 anti-CDNF antibody IHC-P image
Immunohistochemistry: Human brain stained with ARG46079 anti-CDNF antibody.
-
ARG46079 anti-CDNF antibody ICC/IF image
Immunofluorescence: Human Brain stained with ARG46079 anti-CDNF antibody.
-
ARG46079 anti-CDNF antibody WB image
Western blot: A-20 stained with ARG46079 anti-CDNF antibody.
