ARG55221
anti-CELF1 / CUGBP1 antibody
anti-CELF1 / CUGBP1 antibody for IHC-Formalin-fixed paraffin-embedded sections,Western blot and Human
Gene Regulation antibody; Neuroscience antibody
Overview
| Product Description | Rabbit Polyclonal antibody recognizes CELF1 / CUGBP1 |
|---|---|
| Tested Reactivity | Hu |
| Predict Reactivity | Ms, Rat, Chk |
| Tested Application | IHC-P, WB |
| Host | Rabbit |
| Clonality | Polyclonal |
| Isotype | IgG |
| Target Name | CELF1 / CUGBP1 |
| Antigen Species | Human |
| Immunogen | KLH-conjugated synthetic peptide corresponding to aa. 1-30 (N-terminus) of Human CUGBP1. |
| Conjugation | Un-conjugated |
| Alternate Names | Embryo deadenylation element-binding protein homolog; NAB50; NAPOR; CUGBP; BRUNOL2; CUG-BP1; Bruno-like protein 2; hNab50; 50 kDa nuclear polyadenylated RNA-binding protein; CUG-BP; CUG-BP- and ETR-3-like factor 1; RNA-binding protein BRUNOL-2; Deadenylation factor CUG-BP; CELF-1; CUGBP1; CUG triplet repeat RNA-binding protein 1; CUGBP Elav-like family member 1; EDEN-BP homolog; EDEN-BP |
Application Instructions
| Application Suggestion |
|
||||||
|---|---|---|---|---|---|---|---|
| Application Note | * The dilutions indicate recommended starting dilutions and the optimal dilutions or concentrations should be determined by the scientist. | ||||||
| Positive Control | ZR-75-1 |
Properties
| Form | Liquid |
|---|---|
| Purification | Purification with Protein A and immunogen peptide. |
| Buffer | PBS and 0.09% (W/V) Sodium azide |
| Preservative | 0.09% (W/V) Sodium azide |
| Storage Instruction | For continuous use, store undiluted antibody at 2-8°C for up to a week. For long-term storage, aliquot and store at -20°C or below. Storage in frost free freezers is not recommended. Avoid repeated freeze/thaw cycles. Suggest spin the vial prior to opening. The antibody solution should be gently mixed before use. |
| Note | For laboratory research only, not for drug, diagnostic or other use. |
Bioinformation
| Database Links | |
|---|---|
| Gene Symbol | CELF1 |
| Gene Full Name | CUGBP, Elav-like family member 1 |
| Background | Members of the CELF/BRUNOL protein family contain two N-terminal RNA recognition motif (RRM) domains, one C-terminal RRM domain, and a divergent segment of 160-230 aa between the second and third RRM domains. Members of this protein family regulate pre-mRNA alternative splicing and may also be involved in mRNA editing, and translation. This gene may play a role in myotonic dystrophy type 1 (DM1) via interactions with the dystrophia myotonica-protein kinase (DMPK) gene. Alternative splicing results in multiple transcript variants encoding different isoforms. [provided by RefSeq, Jul 2008] |
| Function | RNA-binding protein implicated in the regulation of several post-transcriptional events. Involved in pre-mRNA alternative splicing, mRNA translation and stability. Mediates exon inclusion and/or exclusion in pre-mRNA that are subject to tissue-specific and developmentally regulated alternative splicing. Specifically activates exon 5 inclusion of cardiac isoforms of TNNT2 during heart remodeling at the juvenile to adult transition. Acts as both an activator and repressor of a pair of coregulated exons: promotes inclusion of the smooth muscle (SM) exon but exclusion of the non-muscle (NM) exon in actinin pre-mRNAs. Activates SM exon 5 inclusion by antagonizing the repressive effect of PTB. Promotes exclusion of exon 11 of the INSR pre-mRNA. Inhibits, together with HNRNPH1, insulin receptor (IR) pre-mRNA exon 11 inclusion in myoblast. Increases translation and controls the choice of translation initiation codon of CEBPB mRNA. Increases mRNA translation of CEBPB in aging liver (By similarity). Increases translation of CDKN1A mRNA by antagonizing the repressive effect of CALR3. Mediates rapid cytoplasmic mRNA deadenylation. Recruits the deadenylase PARN to the poly(A) tail of EDEN-containing mRNAs to promote their deadenylation. Required for completion of spermatogenesis (By similarity). Binds to (CUG)n triplet repeats in the 3'-UTR of transcripts such as DMPK and to Bruno response elements (BREs). Binds to muscle-specific splicing enhancer (MSE) intronic sites flanking the alternative exon 5 of TNNT2 pre-mRNA. Binds to AU-rich sequences (AREs or EDEN-like) localized in the 3'-UTR of JUN and FOS mRNAs. Binds to the IR RNA. Binds to the 5'-region of CDKN1A and CEBPB mRNAs. Binds with the 5'-region of CEBPB mRNA in aging liver. [UniProt] |
| Cellular Localization | Nucleus. Cytoplasm. Note=RNA-binding activity is detected in both nuclear and cytoplasmic compartments |
| Research Area | Gene Regulation antibody; Neuroscience antibody |
| Calculated MW | 52 kDa |
| PTM | Phosphorylated. Its phosphorylation status increases in senescent cells. |
Images (2) Click the Picture to Zoom In
-
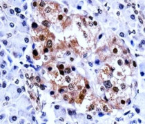
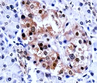
ARG55221 anti-CELF1 / CUGBP1 antibody IHC-P image
Immunohistochemistry: Formalin-fixed and paraffin-embedded Human pancreas tissue stained with ARG55221 anti-CELF1 / CUGBP1 antibody.
-
ARG55221 anti-CELF1 / CUGBP1 antibody WB image
Western blot: 35 µg of ZR-75-1 cell lysate stained with ARG55221 anti-CELF1 / CUGBP1 antibody.
