ARG44360
anti-CEP164 antibody
anti-CEP164 antibody for IHC-Formalin-fixed paraffin-embedded sections,Western blot and Human,Mouse,Rat
Overview
| Product Description | Rabbit Polyclonal antibody recognizes CEP164 |
|---|---|
| Tested Reactivity | Hu, Ms, Rat |
| Tested Application | IHC-P, WB |
| Host | Rabbit |
| Clonality | Polyclonal |
| Isotype | IgG |
| Target Name | CEP164 |
| Antigen Species | Human |
| Immunogen | Human CEP164 recombinant fusion protein (a.a. sequence: 730-829). |
| Conjugation | Un-conjugated |
| Alternate Names | CEP164; Centrosomal Protein 164; NPHP15; KIAA1052; Centrosomal Protein Of 164 Kda; Centrosomal Protein 164kDa; Cep164 |
Application Instructions
| Application Suggestion |
|
||||||
|---|---|---|---|---|---|---|---|
| Application Note | * The dilutions indicate recommended starting dilutions and the optimal dilutions or concentrations should be determined by the scientist. |
Properties
| Form | Liquid |
|---|---|
| Purification | Affinity purified. |
| Buffer | PBS, 0.02% sodium azide and 50% Glycerol. |
| Preservative | 0.02% sodium azide |
| Stabilizer | 50% Glycerol |
| Storage Instruction | For continuous use, store undiluted antibody at 2-8°C for up to a week. For long-term storage, aliquot and store at -20°C. Storage in frost free freezers is not recommended. Avoid repeated freeze/thaw cycles. Suggest spin the vial prior to opening. The antibody solution should be gently mixed before use. |
| Note | For laboratory research only, not for drug, diagnostic or other use. |
Bioinformation
| Database Links | |
|---|---|
| Gene Symbol | CEP164 |
| Gene Full Name | Centrosomal Protein 164 |
| Background | This gene encodes a centrosomal protein involved in microtubule organization, DNA damage response, and chromosome segregation. The encoded protein is required for assembly of primary cilia and localizes to mature centrioles. Defects in this gene are a cause of nephronophthisis-related ciliopathies. Two transcript variants encoding different isoforms have been found for this gene. |
| Function | Plays a role in microtubule organization and/or maintenance for the formation of primary cilia (PC), a microtubule-based structure that protrudes from the surface of epithelial cells. Plays a critical role in G2/M checkpoint and nuclear divisions. A key player in the DNA damage-activated ATR/ATM signaling cascade since it is required for the proper phosphorylation of H2AX, RPA, CHEK2 and CHEK1. Plays a critical role in chromosome segregation, acting as a mediator required for the maintenance of genomic stability through modulation of MDC1, RPA and CHEK1. |
| Cellular Localization | Cytoplasm, Cytoskeleton, Nucleus |
| Calculated MW | 164 kDa |
| PTM | Phosphoprotein |
Images (4) Click the Picture to Zoom In
-
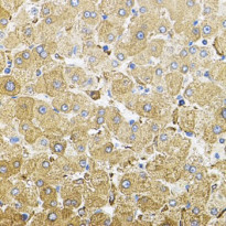
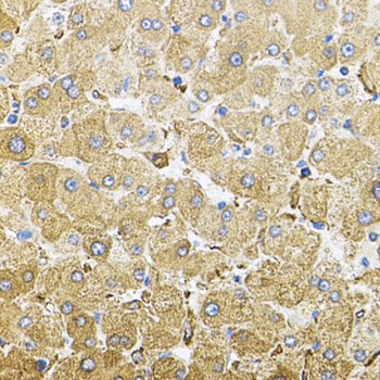
ARG44360 anti-CEP164 antibody IHC-P image
Immunohistochemistry: Human liver stained with ARG44360 anti-CEP164 antibody.
-
ARG44360 anti-CEP164 antibody WB image
Western blot: A375 stained with ARG44360 anti-CEP164 antibody at 1:1000 dilution.
-
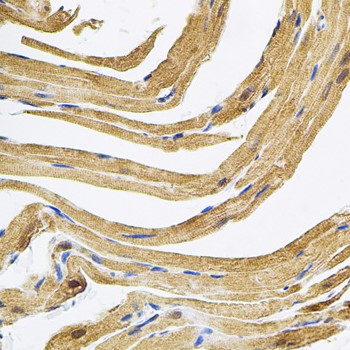
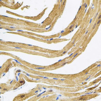
ARG44360 anti-CEP164 antibody IHC-P image
Immunohistochemistry: Rat heart stained with ARG44360 anti-CEP164 antibody.
-
ARG44360 anti-CEP164 antibody IHC-P image
Immunohistochemistry: Mouse brain stained with ARG44360 anti-CEP164 antibody.
