ARG44082
anti-CHD8 antibody
anti-CHD8 antibody for Flow cytometry,IHC-Formalin-fixed paraffin-embedded sections,Western blot and Human
Overview
| Product Description | Rabbit Polyclonal recognizes CHD8 |
|---|---|
| Tested Reactivity | Hu |
| Tested Application | FACS, IHC-P, WB |
| Host | Rabbit |
| Clonality | Polyclonal |
| Isotype | IgG |
| Target Name | CHD8 |
| Antigen Species | Human |
| Immunogen | Human CHD8 recombinant protein (Position: D10-A428). |
| Conjugation | Un-conjugated |
| Alternate Names | CHD8; Chromodomain Helicase DNA Binding Protein 8; Helicase With SNF2 Domain 1; KIAA1564; HELSNF1; Chromodomain-Helicase-DNA-Binding Protein 8; ATP-Dependent Helicase CHD8; DUPLIN; Axis Duplication Inhibitor; EC 3.6.4.12; EC 3.6.1.7; EC 3.6.1; AUTS18; Duplin; IDDAM; CHD-8 |
Application Instructions
| Application Suggestion |
|
||||||||
|---|---|---|---|---|---|---|---|---|---|
| Application Note | The dilutions indicate recommended starting dilutions and the optimal dilutions or concentrations should be determined by the scientist. |
Properties
| Form | Liquid |
|---|---|
| Purification | Affinity purification with immunogen. |
| Buffer | 0.9% NaCl, 0.2% Na2HPO4, 0.05% Sodium azide and 4% Trehalose. |
| Preservative | 0.05% Sodium azide |
| Stabilizer | 4% Trehalose |
| Concentration | 0.5 mg/ml |
| Storage Instruction | For continuous use, store undiluted antibody at 2-8°C for up to a week. For long-term storage, aliquot and store at -20°C or below. Storage in frost free freezers is not recommended. Avoid repeated freeze/thaw cycles. Suggest spin the vial prior to opening. The antibody solution should be gently mixed before use. |
| Note | For laboratory research only, not for drug, diagnostic or other use. |
Bioinformation
| Database Links |
Swiss-port # Q9HCK8 Human Chromodomain-helicase-DNA-binding protein 8 |
|---|---|
| Gene Symbol | CHD8 |
| Gene Full Name | Chromodomain Helicase DNA Binding Protein 8 |
| Background | This gene encodes a member of the chromodomain-helicase-DNA binding protein family, which is characterized by a SNF2-like domain and two chromatin organization modifier domains. The encoded protein also contains brahma and kismet domains, which are common to the subfamily of chromodomain-helicase-DNA binding proteins to which this protein belongs. This gene has been shown to function in several processes that include transcriptional regulation, epigenetic remodeling, promotion of cell proliferation, and regulation of RNA synthesis. Allelic variants of this gene are associated with autism spectrum disorder. Alternative splicing results in multiple transcript variants. |
| Function | DNA helicase that acts as a chromatin remodeling factor and regulates transcription. Acts as a transcription repressor by remodeling chromatin structure and recruiting histone H1 to target genes. Suppresses p53/TP53-mediated apoptosis by recruiting histone H1 and preventing p53/TP53 transactivation activity. Acts as a negative regulator of Wnt signaling pathway by regulating beta-catenin (CTNNB1) activity. Negatively regulates CTNNB1-targeted gene expression by being recruited specifically to the promoter regions of several CTNNB1 responsive genes. Involved in both enhancer blocking and epigenetic remodeling at chromatin boundary via its interaction with CTCF. Acts as a suppressor of STAT3 activity by suppressing the LIF-induced STAT3 transcriptional activity. Also acts as a transcription activator via its interaction with ZNF143 by participating in efficient U6 RNA polymerase III transcription. |
| Cellular Localization | Nucleus |
| Calculated MW | 290 kDa |
| PTM | Isopeptide bond, Phosphoprotein, Ubl conjugation |
Images (3) Click the Picture to Zoom In
-
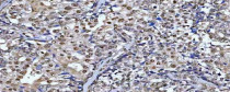
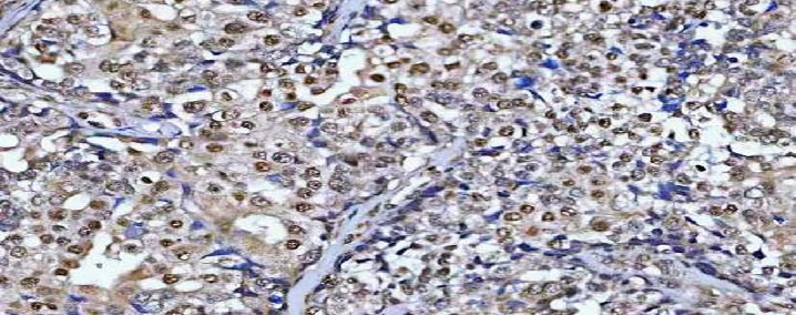
ARG44082 anti-CHD8 antibody IHC-P image
Immunohistochemistry: SH-SY5Y stained with ARG44082 anti-CHD8 antibody at 2 μg/ml dilution.
-
ARG44082 anti-CHD8 antibody WB image
Western blot: HepG2 stained with ARG44082 anti-CHD8 antibody at 0.5 μg/mL dilution.
-
ARG44082 anti-CHD8 antibody FACS image
Flow Cytometry: human ovarian cancer tissue stained with ARG44082 anti-CHD8 antibody at 1 µg/10^6 cells dilution.
