ARG66884
anti-CHEK2 antibody
anti-CHEK2 antibody for IHC-Formalin-fixed paraffin-embedded sections,Western blot and Human,Mouse
Overview
| Product Description | Rabbit Polyclonal antibody recognizes CHEK2 |
|---|---|
| Tested Reactivity | Hu, Ms |
| Tested Application | IHC-P, WB |
| Host | Rabbit |
| Clonality | Polyclonal |
| Isotype | IgG |
| Target Name | CHEK2 |
| Antigen Species | Human |
| Immunogen | Immunogen within aa. 1-220 of Human CHEK2. |
| Conjugation | Un-conjugated |
| Alternate Names | Hucds1; PP1425; CDS1; Serine/threonine-protein kinase Chk2; Checkpoint kinase 2; CHK2; hCds1; RAD53; HuCds1; LFS2; CHK2 checkpoint homolog; EC 2.7.11.1; Cds1 homolog |
Application Instructions
| Application Suggestion |
|
||||||
|---|---|---|---|---|---|---|---|
| Application Note | * The dilutions indicate recommended starting dilutions and the optimal dilutions or concentrations should be determined by the scientist. | ||||||
| Observed Size | ~ 63 kDa |
Properties
| Form | Liquid |
|---|---|
| Purification | Affinity purification with immunogen. |
| Buffer | PBS, 0.02% Sodium azide, 50% Glycerol and 0.5% BSA. |
| Preservative | 0.02% Sodium azide |
| Stabilizer | 50% Glycerol and 0.5% BSA |
| Concentration | 1 mg/ml |
| Storage Instruction | For continuous use, store undiluted antibody at 2-8°C for up to a week. For long-term storage, aliquot and store at -20°C. Storage in frost free freezers is not recommended. Avoid repeated freeze/thaw cycles. Suggest spin the vial prior to opening. The antibody solution should be gently mixed before use. |
| Note | For laboratory research only, not for drug, diagnostic or other use. |
Bioinformation
| Database Links |
Swiss-port # O96017 Human Serine/threonine-protein kinase Chk2 Swiss-port # Q9Z265 Mouse Serine/threonine-protein kinase Chk2 |
|---|---|
| Gene Symbol | CHEK2 |
| Gene Full Name | checkpoint kinase 2 |
| Background | In response to DNA damage and replication blocks, cell cycle progression is halted through the control of critical cell cycle regulators. The protein encoded by this gene is a cell cycle checkpoint regulator and putative tumor suppressor. It contains a forkhead-associated protein interaction domain essential for activation in response to DNA damage and is rapidly phosphorylated in response to replication blocks and DNA damage. When activated, the encoded protein is known to inhibit CDC25C phosphatase, preventing entry into mitosis, and has been shown to stabilize the tumor suppressor protein p53, leading to cell cycle arrest in G1. In addition, this protein interacts with and phosphorylates BRCA1, allowing BRCA1 to restore survival after DNA damage. Mutations in this gene have been linked with Li-Fraumeni syndrome, a highly penetrant familial cancer phenotype usually associated with inherited mutations in TP53. Also, mutations in this gene are thought to confer a predisposition to sarcomas, breast cancer, and brain tumors. This nuclear protein is a member of the CDS1 subfamily of serine/threonine protein kinases. Several transcript variants encoding different isoforms have been found for this gene. [provided by RefSeq, Apr 2012] |
| Function | Serine/threonine-protein kinase which is required for checkpoint-mediated cell cycle arrest, activation of DNA repair and apoptosis in response to the presence of DNA double-strand breaks. May also negatively regulate cell cycle progression during unperturbed cell cycles. Following activation, phosphorylates numerous effectors preferentially at the consensus sequence [L-X-R-X-X-S/T]. Regulates cell cycle checkpoint arrest through phosphorylation of CDC25A, CDC25B and CDC25C, inhibiting their activity. Inhibition of CDC25 phosphatase activity leads to increased inhibitory tyrosine phosphorylation of CDK-cyclin complexes and blocks cell cycle progression. May also phosphorylate NEK6 which is involved in G2/M cell cycle arrest. Regulates DNA repair through phosphorylation of BRCA2, enhancing the association of RAD51 with chromatin which promotes DNA repair by homologous recombination. Also stimulates the transcription of genes involved in DNA repair (including BRCA2) through the phosphorylation and activation of the transcription factor FOXM1. Regulates apoptosis through the phosphorylation of p53/TP53, MDM4 and PML. Phosphorylation of p53/TP53 at 'Ser-20' by CHEK2 may alleviate inhibition by MDM2, leading to accumulation of active p53/TP53. Phosphorylation of MDM4 may also reduce degradation of p53/TP53. Also controls the transcription of pro-apoptotic genes through phosphorylation of the transcription factor E2F1. Tumor suppressor, it may also have a DNA damage-independent function in mitotic spindle assembly by phosphorylating BRCA1. Its absence may be a cause of the chromosomal instability observed in some cancer cells. Promotes the CCAR2-SIRT1 association and is required for CCAR2-mediated SIRT1 inhibition (PubMed:25361978). [UniProt] |
| Cellular Localization | Isoform 2: Nucleus. Note=Isoform 10 is present throughout the cell. Isoform 4: Nucleus. Isoform 7: Nucleus. Isoform 9: Nucleus. Isoform 12: Nucleus. Nucleus, PML body. Nucleus, nucleoplasm. Note=Recruited into PML bodies together with TP53. [UniProt] |
| Calculated MW | 61 kDa |
| PTM | Phosphorylated. Phosphorylated at Ser-73 by PLK3 in response to DNA damage, promoting phosphorylation at Thr-68 by ATM and the G2/M transition checkpoint. Phosphorylation at Thr-68 induces homodimerization. Autophosphorylates at Thr-383 and Thr-387 in the T-loop/activation segment upon dimerization to become fully active and phosphorylate its substrates like for instance CDC25C. DNA damage-induced autophosphorylation at Ser-379 induces CUL1-mediated ubiquitination and regulates the pro-apoptotic function. Phosphorylation at Ser-456 also regulates ubiquitination. Phosphorylated by PLK4. Ubiquitinated. CUL1-mediated ubiquitination regulates the pro-apoptotic function. Ubiquitination may also regulate protein stability. Ubiquitinated by RNF8 via 'Lys-48'-linked ubiquitination. [UniProt] |
Images (5) Click the Picture to Zoom In
-
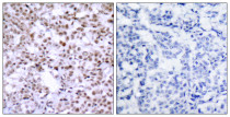
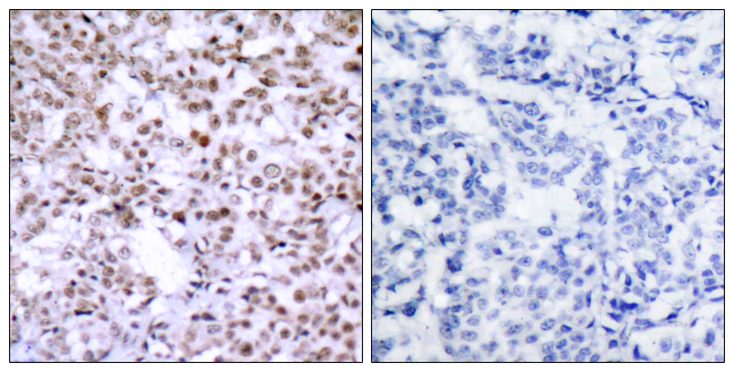
ARG66884 anti-CHEK2 antibody IHC-P image
Immunohistochemistry: Paraffin-embedded Human breast carcinoma tissue stained with ARG66884 anti-CHEK2 antibody. The picture on the right is blocked with the synthetic peptide.
-
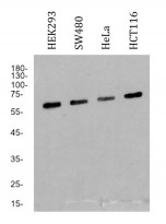
ARG66884 anti-CHEK2 antibody WB image
Western blot: HEK293, SW480, HeLa and HCT116 cell lysates stained with ARG66884 anti-CHEK2 antibody, overnight at 4°C.
-
ARG66884 anti-CHEK2 antibody WB image
Western blot: UV-treated 293T and untreated HeLa cells. Cell nuclear extracts were stained with ARG66884 anti-CHEK2 antibody at 1:500 dilution.
-
ARG66884 anti-CHEK2 antibody WB image
Western blot: HuvEc cell nuclear extracts were stained with ARG66884 anti-CHEK2 antibody at 1:500 dilution.
-
ARG66884 anti-CHEK2 antibody WB image
Western blot: Mouse cardiomyocyte lysate stained with ARG66884 anti-CHEK2 antibody.
