ARG66995
anti-CHOP / GADD153 antibody
anti-CHOP / GADD153 antibody for ICC/IF,IHC-Formalin-fixed paraffin-embedded sections,Western blot and Human
Developmental Biology antibody; Gene Regulation antibody; Metabolism antibody
Overview
| Product Description | Rabbit Polyclonal antibody recognizes CHOP / GADD153 |
|---|---|
| Tested Reactivity | Hu |
| Predict Reactivity | Ms, Rat |
| Tested Application | ICC/IF, IHC-P, WB |
| Host | Rabbit |
| Clonality | Polyclonal |
| Isotype | IgG |
| Target Name | CHOP / GADD153 |
| Antigen Species | Human |
| Immunogen | Synthetic peptide around the middle region of human GADD153 |
| Conjugation | Un-conjugated |
| Alternate Names | DNA damage-inducible transcript 3 protein; CHOP10; Growth arrest and DNA damage-inducible protein GADD153; GADD153; CCAAT/enhancer-binding protein homologous protein; C/EBP-homologous protein; CHOP; CHOP-10; C/EBP zeta; CEBPZ; DDIT-3; C/EBP-homologous protein 10 |
Application Instructions
| Application Suggestion |
|
||||||||
|---|---|---|---|---|---|---|---|---|---|
| Application Note | * The dilutions indicate recommended starting dilutions and the optimal dilutions or concentrations should be determined by the scientist. | ||||||||
| Positive Control | Jurkat; MCF7 | ||||||||
| Observed Size | 30, 20 kDa |
Properties
| Form | Liquid |
|---|---|
| Purification | Affinity purified. |
| Buffer | 100 mM Tris Glycine (pH 7.0), 0.025% ProClin 300 and 20% Glycerol. |
| Preservative | 0.025% ProClin 300 |
| Stabilizer | 20% Glycerol |
| Storage Instruction | For continuous use, store undiluted antibody at 2-8°C for up to a week. For long-term storage, aliquot and store at -20°C. Storage in frost free freezers is not recommended. Avoid repeated freeze/thaw cycles. Suggest spin the vial prior to opening. The antibody solution should be gently mixed before use. |
| Note | For laboratory research only, not for drug, diagnostic or other use. |
Bioinformation
| Database Links |
Swiss-port # P35638 Human DNA damage-inducible transcript 3 protein |
|---|---|
| Background | GADD153 has been described as a growth arrest and DNA damage-inducible gene that encodes a C/EBP-related nuclear protein. Expression of GADD153 is induced by a variety of cellular stresses, including nutrient deprivation and metabolic perturbations. GADD153 functions to block cells in G1 to S phase in cell cycle progression and acts by dimerizing with other C/EBP proteins to direct GADD153 dimers away from “classical” C/EBP binding sites. Thus GADD153 acts as a negative modulator of C/EBP-like proteins in certain terminally differentiated cells. |
| Research Area | Developmental Biology antibody; Gene Regulation antibody; Metabolism antibody |
| Calculated MW | 19 kDa |
| PTM | Ubiquitinated, leading to its degradation by the proteasome. Phosphorylation at serine residues by MAPK14 enhances its transcriptional activation activity while phosphorylation at serine residues by CK2 inhibits its transcriptional activation activity. |
Images (3) Click the Picture to Zoom In
-
ARG66995 anti-CHOP / GADD153 antibody ICC/IF image
Immunofluorescence: Jurkat cells were fixed with 4% paraformaldehyde at RT for 10 min, permeabilized with 0.1% NP-40 at RT for 10 min and then cells were blocked with 5% BSA at RT for 30 min and stained with ARG66995 anti-CHOP / GADD153 antibody (red) at 1:200 dilution at 4°C for overnight. DAPI (blue) was used for nuclear staining.
-
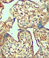
ARG66995 anti-CHOP / GADD153 antibody IHC-P image
Immunohistochemistry: Paraffin-embedded Human lung tissue stained with ARG66995 anti-CHOP / GADD153 antibody at 1:200 dilution. Antigen Retrieval: Boil tissue section in Citrate buffer (pH 6.0).
-
ARG66995 anti-CHOP / GADD153 antibody WB image
Western blot: 50 µg of HeLs cell stained with ARG66995 anti-CHOP / GADD153 antibody at 1:500 dilution, overnight at 4°C.
