ARG66608
anti-CHST10 antibody
anti-CHST10 antibody for IHC-Formalin-fixed paraffin-embedded sections,Western blot and Human
Overview
| Product Description | Rabbit Polyclonal antibody recognizes CHST10 |
|---|---|
| Tested Reactivity | Hu |
| Tested Application | IHC-P, WB |
| Host | Rabbit |
| Clonality | Polyclonal |
| Isotype | IgG |
| Target Name | CHST10 |
| Antigen Species | Human |
| Immunogen | Synthetic peptide within aa. 160-240 of Human CHST10. |
| Conjugation | Un-conjugated |
| Alternate Names | HNK-1ST; EC 2.8.2.-; HuHNK-1ST; HNK1ST; Carbohydrate sulfotransferase 10; HNK-1 sulfotransferase |
Application Instructions
| Application Suggestion |
|
||||||
|---|---|---|---|---|---|---|---|
| Application Note | * The dilutions indicate recommended starting dilutions and the optimal dilutions or concentrations should be determined by the scientist. | ||||||
| Observed Size | ~ 42 kDa |
Properties
| Form | Liquid |
|---|---|
| Purification | Affinity purification with immunogen. |
| Buffer | PBS, 0.02% Sodium azide, 50% Glycerol and 0.5% BSA. |
| Preservative | 0.02% Sodium azide |
| Stabilizer | 50% Glycerol and 0.5% BSA |
| Concentration | 1 mg/ml |
| Storage Instruction | For continuous use, store undiluted antibody at 2-8°C for up to a week. For long-term storage, aliquot and store at -20°C. Storage in frost free freezers is not recommended. Avoid repeated freeze/thaw cycles. Suggest spin the vial prior to opening. The antibody solution should be gently mixed before use. |
| Note | For laboratory research only, not for drug, diagnostic or other use. |
Bioinformation
| Database Links | |
|---|---|
| Gene Symbol | CHST10 |
| Gene Full Name | carbohydrate sulfotransferase 10 |
| Background | This protein encoded by this gene transfers sulfate to the C-3 hydroxyl of terminal glucuronic acid of protein- and lipid-linked oligosaccharides. This protein was first identified as a sulfotransferase that acts on the human natural killer-1 (HNK-1) glycan; HNK-1 is a carbohydrate involved in neurodevelopment and synaptic plasticity.[provided by RefSeq, Feb 2011] |
| Function | Catalyzes the transfer of sulfate to position 3 of terminal glucuronic acid of both protein- and lipid-linked oligosaccharides. Participates in biosynthesis of HNK-1 carbohydrate structure, a sulfated glucuronyl-lactosaminyl residue carried by many neural recognition molecules, which is involved in cell interactions during ontogenetic development and in synaptic plasticity in the adult. May be indirectly involved in synapse plasticity of the hippocampus, via its role in HNK-1 biosynthesis. [UniProt] |
| Cellular Localization | Golgi apparatus membrane; Single-pass type II membrane protein. [UniProt] |
| Calculated MW | 42 kDa |
Images (2) Click the Picture to Zoom In
-
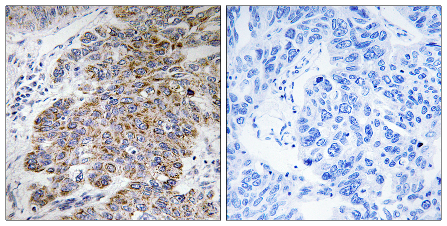
ARG66608 anti-CHST10 antibody IHC-P image
Immunohistochemistry: Paraffin-embedded Human lung carcinoma tissue stained with ARG66608 anti-CHST10 antibody. The picture on the right is blocked with the synthetic peptide.
-
ARG66608 anti-CHST10 antibody WB image
Western blot: HUVEC cell lysate stained with ARG66608 anti-CHST10 antibody.
