ARG57442
anti-CIDE B antibody
anti-CIDE B antibody for IHC-Formalin-fixed paraffin-embedded sections,Western blot and Human,Mouse
Overview
| Product Description | Rabbit Polyclonal antibody recognizes CIDE B |
|---|---|
| Tested Reactivity | Hu, Ms |
| Tested Application | IHC-P, WB |
| Specificity | CIDE-B antibody has no cross activity to CIDE-A. |
| Host | Rabbit |
| Clonality | Polyclonal |
| Isotype | IgG |
| Target Name | CIDE B |
| Immunogen | Synthetic peptide (15 aa) within the last 50 aa of Human CIDE-B. |
| Conjugation | Un-conjugated |
| Alternate Names | Cell death-inducing DFFA-like effector B; Cell death activator CIDE-B |
Application Instructions
| Application Suggestion |
|
||||||
|---|---|---|---|---|---|---|---|
| Application Note | * The dilutions indicate recommended starting dilutions and the optimal dilutions or concentrations should be determined by the scientist. | ||||||
| Positive Control | Mouse small intestine tissue lysate |
Properties
| Form | Liquid |
|---|---|
| Purification | Affinity purification with immunogen. |
| Buffer | PBS and 0.02% Sodium azide |
| Preservative | 0.02% Sodium azide |
| Storage Instruction | For continuous use, store undiluted antibody at 2-8°C for up to a week. For long-term storage, aliquot and store at -20°C or below. Storage in frost free freezers is not recommended. Avoid repeated freeze/thaw cycles. Suggest spin the vial prior to opening. The antibody solution should be gently mixed before use. |
| Note | For laboratory research only, not for drug, diagnostic or other use. |
Bioinformation
| Database Links | |
|---|---|
| Gene Symbol | CIDEB |
| Gene Full Name | cell death-inducing DFFA-like effector b |
| Function | Activates apoptosis. [UniProt] |
| Calculated MW | 25 kDa |
Images (3) Click the Picture to Zoom In
-
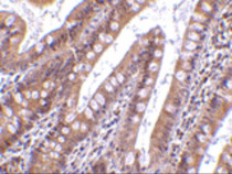
ARG57442 anti-CIDE B antibody IHC image
Immunohistochemistry: Human small intestine cells stained with ARG57442 anti-CIDE B antibody at 20 µg/ml dilution.
-
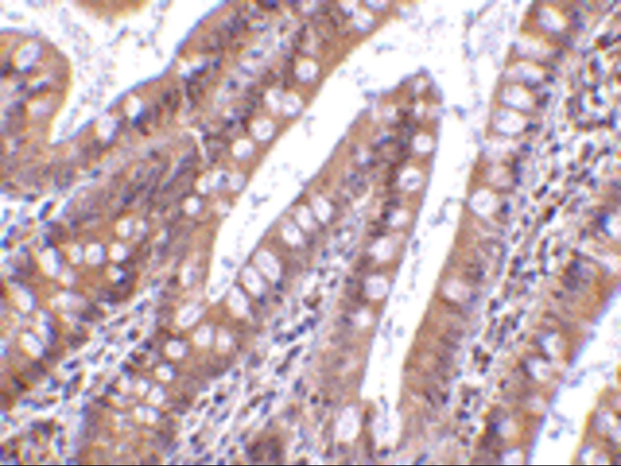
ARG57442 anti-CIDE B antibody IHC-P image
Immunohistochemistry: CIDE-B in Human small intestine tissue stained with ARG57442 anti-CIDE B antibody at 5 µg/ml dilution.
-
ARG57442 anti-CIDE B antibody WB image
Western blot: Mouse small intestine tissue lysate stained with ARG57442 anti-CIDE B antibody at 0.5, 1 and 2 µg/ml dilution.
