ARG57764
anti-CKMT2 antibody
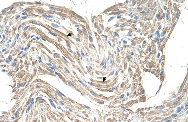
anti-CKMT2 antibody for IHC-Formalin-fixed paraffin-embedded sections,Western blot and Human
Overview
| Product Description | Rabbit Polyclonal antibody recognizes CKMT2 |
|---|---|
| Tested Reactivity | Hu |
| Predict Reactivity | Ms |
| Tested Application | IHC-P, WB |
| Host | Rabbit |
| Clonality | Polyclonal |
| Isotype | IgG |
| Target Name | CKMT2 |
| Antigen Species | Human |
| Immunogen | Synthetic peptide corresponding a region of Human CKMT2. |
| Conjugation | Un-conjugated |
| Alternate Names | EC 2.7.3.2; S-MtCK; Basic-type mitochondrial creatine kinase; Creatine kinase S-type, mitochondrial; Mib-CK; Sarcomeric mitochondrial creatine kinase; SMTCK |
Application Instructions
| Application Suggestion |
|
||||||
|---|---|---|---|---|---|---|---|
| Application Note | * The dilutions indicate recommended starting dilutions and the optimal dilutions or concentrations should be determined by the scientist. | ||||||
| Positive Control | Jurkat cell lysate. | ||||||
| Observed Size | ~ 46 kDa |
Properties
| Form | Liquid |
|---|---|
| Purification | Purification with Protein A. |
| Buffer | PBS and 2% Sucrose. |
| Stabilizer | 2% Sucrose |
| Concentration | 1 mg/ml |
| Storage Instruction | For continuous use, store undiluted antibody at 2-8°C for up to a week. For long-term storage, aliquot and store at -20°C or below. Storage in frost free freezers is not recommended. Avoid repeated freeze/thaw cycles. Suggest spin the vial prior to opening. The antibody solution should be gently mixed before use. |
| Note | For laboratory research only, not for drug, diagnostic or other use. |
Bioinformation
| Database Links |
Swiss-port # P17540 Human Creatine kinase S-type, mitochondrial |
|---|---|
| Gene Symbol | CKMT2 |
| Gene Full Name | creatine kinase, mitochondrial 2 (sarcomeric) |
| Background | Mitochondrial creatine kinase (MtCK) is responsible for the transfer of high energy phosphate from mitochondria to the cytosolic carrier, creatine. It belongs to the creatine kinase isoenzyme family. It exists as two isoenzymes, sarcomeric MtCK and ubiquitous MtCK, encoded by separate genes. Mitochondrial creatine kinase occurs in two different oligomeric forms: dimers and octamers, in contrast to the exclusively dimeric cytosolic creatine kinase isoenzymes. Sarcomeric mitochondrial creatine kinase has 80% homology with the coding exons of ubiquitous mitochondrial creatine kinase. This gene contains sequences homologous to several motifs that are shared among some nuclear genes encoding mitochondrial proteins and thus may be essential for the coordinated activation of these genes during mitochondrial biogenesis. Three transcript variants encoding the same protein have been found for this gene. [provided by RefSeq, Jul 2008] |
| Function | Reversibly catalyzes the transfer of phosphate between ATP and various phosphogens (e.g. creatine phosphate). Creatine kinase isoenzymes play a central role in energy transduction in tissues with large, fluctuating energy demands, such as skeletal muscle, heart, brain and spermatozoa. [UniProt] |
| Calculated MW | 48 kDa |
Images (2) Click the Picture to Zoom In
