ARG45963
anti-CLCN2 antibody
anti-CLCN2 antibody for ICC/IF,IHC-Formalin-fixed paraffin-embedded sections,Western blot and Human,Mouse,Rat
Neuroscience antibody; Signaling Transduction antibody
Overview
| Product Description | Rabbit Polyclonal antibody recognizes CLCN2 |
|---|---|
| Tested Reactivity | Hu, Ms, Rat |
| Tested Application | ICC/IF, IHC-P, WB |
| Host | Rabbit |
| Clonality | Polyclonal |
| Isotype | IgG |
| Target Name | CLCN2 |
| Antigen Species | Human |
| Immunogen | Synthesize peptide from human CLCN2, corresponding to amino acid residues L835-P885. |
| Conjugation | Un-conjugated |
| Alternate Names | EGI3; Chloride channel protein 2; ClC-2; clC-2; EGI11; CLC2; LKPAT; EJM6; ECA3; ECA2; EGMA; CIC-2; EJM8 |
Application Instructions
| Application Suggestion |
|
||||||||
|---|---|---|---|---|---|---|---|---|---|
| Application Note | * The dilutions indicate recommended starting dilutions and the optimal dilutions or concentrations should be determined by the scientist. |
Properties
| Form | Liquid |
|---|---|
| Purification | Affinity purified. |
| Buffer | PBS (pH 7.4), 150 mM NaCl, 0.02% Sodium azide and 50% Glycerol. |
| Preservative | 0.02% Sodium azide |
| Stabilizer | 50% Glycerol |
| Storage Instruction | For continuous use, store undiluted antibody at 2-8°C for up to a week. For long-term storage, aliquot and store at -20°C or below. Storage in frost free freezers is not recommended. Avoid repeated freeze/thaw cycles. Suggest spin the vial prior to opening. The antibody solution should be gently mixed before use. |
| Note | For laboratory research only, not for drug, diagnostic or other use. |
Bioinformation
| Database Links | |
|---|---|
| Background | This gene encodes a voltage-gated chloride channel. The encoded protein is a transmembrane protein that maintains chloride ion homeostasis in various cells. Defects in this gene may be a cause of certain epilepsies. Four transcript variants encoding different isoforms have been found for this gene. [provided by RefSeq, Mar 2012] |
| Research Area | Neuroscience antibody; Signaling Transduction antibody |
| Calculated MW | 99 kDa |
| PTM | Phosphorylated. Activated by dephosphorylation. |
Images (3) Click the Picture to Zoom In
-
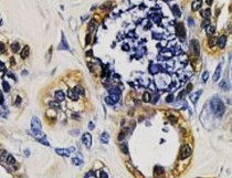
ARG45963 anti-CLCN2 antibody IHC-P image
Immunohistochemistry: Human ovarian cancer stained with ARG45963 anti-CLCN2 antibody at 1:100 dilution.
-
ARG45963 anti-CLCN2 antibody ICC/IF image
Immunofluorescence: HeLa stained with ARG45963 anti-CLCN2 antibody at 1:200 dilution.
-
ARG45963 anti-CLCN2 antibody WB image
Western blot: K562 stained with ARG45963 anti-CLCN2 antibody.
