ARG66787
anti-CLK2 antibody
anti-CLK2 antibody for IHC-Formalin-fixed paraffin-embedded sections,Western blot and Human
Overview
| Product Description | Rabbit Polyclonal antibody recognizes CLK2 |
|---|---|
| Tested Reactivity | Hu |
| Tested Application | IHC-P, WB |
| Host | Rabbit |
| Clonality | Polyclonal |
| Isotype | IgG |
| Target Name | CLK2 |
| Antigen Species | Human |
| Immunogen | Synthetic peptide between aa. 1-50 of Human CLK2. |
| Conjugation | Un-conjugated |
| Alternate Names | CDC-like kinase 2; Dual specificity protein kinase CLK2; EC 2.7.12.1 |
Application Instructions
| Application Suggestion |
|
||||||
|---|---|---|---|---|---|---|---|
| Application Note | * The dilutions indicate recommended starting dilutions and the optimal dilutions or concentrations should be determined by the scientist. | ||||||
| Positive Control | COLO205 and A549 | ||||||
| Observed Size | ~ 60 kDa |
Properties
| Form | Liquid |
|---|---|
| Purification | Affinity purification with immunogen. |
| Buffer | PBS, 0.02% Sodium azide, 50% Glycerol and 0.5% BSA. |
| Preservative | 0.02% Sodium azide |
| Stabilizer | 50% Glycerol and 0.5% BSA |
| Concentration | 1 mg/ml |
| Storage Instruction | For continuous use, store undiluted antibody at 2-8°C for up to a week. For long-term storage, aliquot and store at -20°C. Storage in frost free freezers is not recommended. Avoid repeated freeze/thaw cycles. Suggest spin the vial prior to opening. The antibody solution should be gently mixed before use. |
| Note | For laboratory research only, not for drug, diagnostic or other use. |
Bioinformation
| Database Links |
Swiss-port # P49760 Human Dual specificity protein kinase CLK2 |
|---|---|
| Gene Symbol | CLK2 |
| Gene Full Name | CDC-like kinase 2 |
| Background | This gene encodes a dual specificity protein kinase that phosphorylates serine/threonine and tyrosine-containing substrates. Activity of this protein regulates serine- and arginine-rich (SR) proteins of the spliceosomal complex, thereby influencing alternative transcript splicing. Chromosomal translocations have been characterized between this locus and the PAFAH1B3 (platelet-activating factor acetylhydrolase 1b, catalytic subunit 3 (29kDa)) gene on chromosome 19, resulting in the production of a fusion protein. Note that this gene is distinct from the TELO2 gene (GeneID:9894), which shares the CLK2 alias, but encodes a protein that is involved in telomere length regulation. There is a pseudogene for this gene on chromosome 7. Alternative splicing results in multiple transcript variants. [provided by RefSeq, Jun 2014] |
| Function | Dual specificity kinase acting on both serine/threonine and tyrosine-containing substrates. Phosphorylates serine- and arginine-rich (SR) proteins of the spliceosomal complex. May be a constituent of a network of regulatory mechanisms that enable SR proteins to control RNA splicing and can cause redistribution of SR proteins from speckles to a diffuse nucleoplasmic distribution. Acts as a suppressor of hepatic gluconeogenesis and glucose output by repressing PPARGC1A transcriptional activity on gluconeogenic genes via its phosphorylation. Phosphorylates PPP2R5B thereby stimulating the assembly of PP2A phosphatase with the PPP2R5B-AKT1 complex leading to dephosphorylation of AKT1. Phosphorylates: PTPN1, SRSF1 and SRSF3. Regulates the alternative splicing of tissue factor (F3) pre-mRNA in endothelial cells. Phosphorylates PAGE4 at several serine and threonine residues and this phosphorylation attenuates the ability of PAGE4 to potentiate the transcriptional activator activity of JUN (PubMed:28289210). [UniProt] |
| Cellular Localization | Isoform 1: Nucleus. Nucleus speckle. Note=Inhibition of phosphorylation at Ser-142 results in accumulation in the nuclear speckle. Isoform 2: Nucleus speckle. Note=Co-localizes with serine- and arginine-rich (SR) proteins in the nuclear speckles. [UniProt] |
| Calculated MW | 60 kDa |
| PTM | Autophosphorylates on all three types of residues. Phosphorylation on Ser-34 and Thr-127 by AKT1 is induced by ionizing radiation or insulin. Phosphorylation plays a critical role in cell proliferation following low dose radiation and prevents cell death following high dose radiation. Phosphorylation at Thr-344 by PKB/AKT2 induces its kinase activity which is required for its stability. The phosphorylation status at Ser-142 influences its subnuclear localization; inhibition of phosphorylation at Ser-142 results in accumulation in the nuclear speckle. [UniProt] |
Images (3) Click the Picture to Zoom In
-
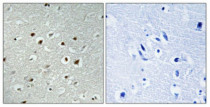
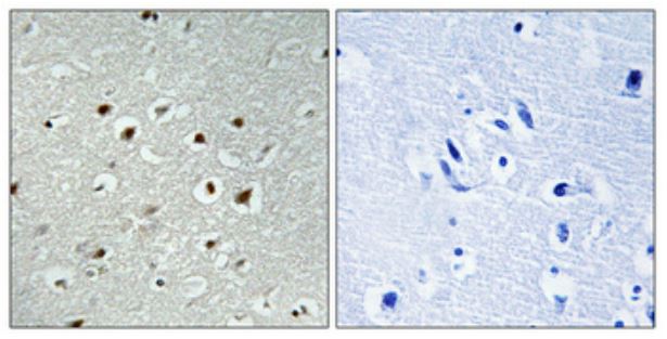
ARG66787 anti-CLK2 antibody IHC-P image
Immunohistochemistry: Paraffin-embedded Human brain tissue. Antigen Retrieval: Tris/EDTA buffer (pH 8.0) at high pressure and temperature. The tissue section was stained with ARG66787 anti-CLK2 antibody at 1:100 dilution, overnight at 4°C. Negetive control (right): Antibody was pre-absorbed by immunogen peptide.
-
ARG66787 anti-CLK2 antibody WB image
Western blot: COLO205 cell nucleus lysate stained with ARG66787 anti-CLK2 antibody.
-
ARG66787 anti-CLK2 antibody WB image
Western blot: COLO205 and A549 cell lysates stained with ARG66787 anti-CLK2 antibody. The lane on the right is blocked with the synthetic peptide.
