ARG65736
anti-CNGA2 antibody
anti-CNGA2 antibody for IHC-Formalin-fixed paraffin-embedded sections,Western blot and Human
Cell Biology and Cellular Response antibody; Neuroscience antibody
Overview
| Product Description | Rabbit Polyclonal antibody recognizes CNGA2 |
|---|---|
| Tested Reactivity | Hu |
| Tested Application | IHC-P, WB |
| Host | Rabbit |
| Clonality | Polyclonal |
| Isotype | IgG |
| Target Name | CNGA2 |
| Antigen Species | Human |
| Immunogen | Fusion protein of Human CNGA2 (NP_005131.1) |
| Conjugation | Un-conjugated |
| Alternate Names | CNG2; Cyclic nucleotide-gated channel alpha-2; CNG channel alpha-2; CNG-2; CNCA; OCNCa; Cyclic nucleotide-gated olfactory channel; OCNCALPHA; OCNC1; Cyclic nucleotide-gated cation channel 2; CNCA1 |
Application Instructions
| Application Suggestion |
|
||||||
|---|---|---|---|---|---|---|---|
| Application Note | * The dilutions indicate recommended starting dilutions and the optimal dilutions or concentrations should be determined by the scientist. | ||||||
| Positive Control | Human esophagus cancer, 293T cells |
Properties
| Form | Liquid |
|---|---|
| Purification | Affinity purification with immunogen. |
| Buffer | PBS (pH 7.4), 0.05% Sodium azide and 40% Glycerol |
| Preservative | 0.05% Sodium azide |
| Stabilizer | 40% Glycerol |
| Concentration | 1 mg/ml |
| Storage Instruction | For continuous use, store undiluted antibody at 2-8°C for up to a week. For long-term storage, aliquot and store at -20°C. Storage in frost free freezers is not recommended. Avoid repeated freeze/thaw cycles. Suggest spin the vial prior to opening. The antibody solution should be gently mixed before use. |
| Note | For laboratory research only, not for drug, diagnostic or other use. |
Bioinformation
| Database Links |
Swiss-port # Q16280 Human Cyclic nucleotide-gated olfactory channel |
|---|---|
| Gene Symbol | CNGA2 |
| Gene Full Name | cyclic nucleotide gated channel alpha 2 |
| Background | The protein encoded by this gene represents the alpha subunit of a cyclic nucleotide-gated olfactory channel. The encoded protein contains a carboxy-terminal leucine zipper that mediates channel formation. [provided by RefSeq, Jan 2010] |
| Function | Odorant signal transduction is probably mediated by a G-protein coupled cascade using cAMP as second messenger. The olfactory channel can be shown to be activated by cyclic nucleotides which leads to a depolarization of olfactory sensory neurons. [UniProt] |
| Research Area | Cell Biology and Cellular Response antibody; Neuroscience antibody |
| Calculated MW | 76 kDa |
Images (2) Click the Picture to Zoom In
-
ARG65736 anti-CNGA2 antibody WB image
Western blot: 30 µg of 293T cell lysate stained with ARG65736 anti-CNGA2 antibody at 1:500 dilution.
-
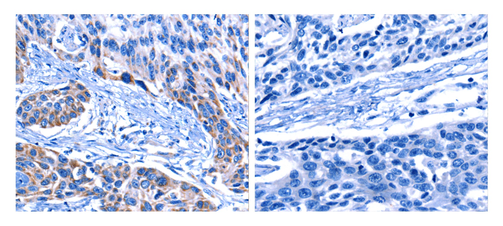
ARG65736 anti-CNGA2 antibody IHC-P image
Immunohistochemistry: paraffin-embedded Human esophagus cancer tissue stained with ARG65736 anti-CNGA2 antibody (left) at 1:25 dilution, or the same antibody pre-incubated with antigen (right). (Original magnification: X200)
