ARG64046
anti-CPT1A antibody
anti-CPT1A antibody for IHC-Formalin-fixed paraffin-embedded sections,Western blot and Human
Cancer antibody; Cell Biology and Cellular Response antibody; Controls and Markers antibody; Metabolism antibody; Signaling Transduction antibody
Overview
| Product Description | Goat Polyclonal antibody recognizes CPT1A |
|---|---|
| Tested Reactivity | Hu |
| Tested Application | IHC-P, WB |
| Specificity | This antibody is expected to recognize both reported isoforms (NP_001867.2; NP_001027017.1) but is not expected to recognise CPT1B. |
| Host | Goat |
| Clonality | Polyclonal |
| Isotype | IgG |
| Target Name | CPT1A |
| Antigen Species | Human |
| Immunogen | C-DPAQTVEQRLKLFK |
| Conjugation | Un-conjugated |
| Alternate Names | L-CPT1; Carnitine O-palmitoyltransferase I, liver isoform; CPT1; Carnitine O-palmitoyltransferase 1, liver isoform; CPT1-L; Carnitine palmitoyltransferase 1A; CPTI-L; EC 2.3.1.21; CPT I |
Application Instructions
| Application Suggestion |
|
||||||
|---|---|---|---|---|---|---|---|
| Application Note | WB: Recommend incubate at RT for 1h. IHC-P: Antigen Retrieval: Steam tissue section in Citrate buffer (pH 6.0). * The dilutions indicate recommended starting dilutions and the optimal dilutions or concentrations should be determined by the scientist. |
Properties
| Form | Liquid |
|---|---|
| Purification | Purified from goat serum by antigen affinity chromatography. |
| Buffer | Tris saline (pH 7.3), 0.02% Sodium azide and 0.5% BSA. |
| Preservative | 0.02% Sodium azide |
| Stabilizer | 0.5% BSA |
| Concentration | 0.5 mg/ml |
| Storage Instruction | For continuous use, store undiluted antibody at 2-8°C for up to a week. For long-term storage, aliquot and store at -20°C or below. Storage in frost free freezers is not recommended. Avoid repeated freeze/thaw cycles. Suggest spin the vial prior to opening. The antibody solution should be gently mixed before use. |
| Note | For laboratory research only, not for drug, diagnostic or other use. |
Bioinformation
| Database Links |
Swiss-port # P50416 Human Carnitine O-palmitoyltransferase 1, liver isoform |
|---|---|
| Background | The mitochondrial oxidation of long-chain fatty acids is initiated by the sequential action of carnitine palmitoyltransferase I (which is located in the outer membrane and is detergent-labile) and carnitine palmitoyltransferase II (which is located in the inner membrane and is detergent-stable), together with a carnitine-acylcarnitine translocase. CPT I is the key enzyme in the carnitine-dependent transport across the mitochondrial inner membrane and its deficiency results in a decreased rate of fatty acid beta-oxidation. Alternatively spliced transcript variants encoding different isoforms have been found for this gene. [provided by RefSeq, Jul 2008] |
| Research Area | Cancer antibody; Cell Biology and Cellular Response antibody; Controls and Markers antibody; Metabolism antibody; Signaling Transduction antibody |
| Calculated MW | 88 kDa |
Images (3) Click the Picture to Zoom In
-
ARG64046 anti-CPT1A antibody IHC-P image
Immunohistochemistry: Paraffin-embedded Human heart tissue. Antigen Retrieval: Steam tissue section in Citrate buffer (pH 6.0). The tissue section was stained with ARG64046 anti-CPT1A antibody at 4 µg/ml dilution followed by AP-staining.
-
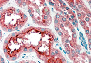
ARG64046 anti-CPT1A antibody IHC-P image
Immunohistochemistry: paraffin embedded Human Kidney. (Steamed antigen retrieval with citrate buffer pH 6) stained with ARG64046 anti-CPT1A antibody at 4 µg/ml dilution followed by AP-staining.
-
ARG64046 anti-CPT1A antibody WB image
Western blot: 35 µg of MCF7 cell lysate (in RIPA buffer) stained with ARG64046 anti-CPT1A antibody at 2 µg/ml dilution and incubated at RT for 1 hour.
