ARG46138
anti-CRACR2A antibody
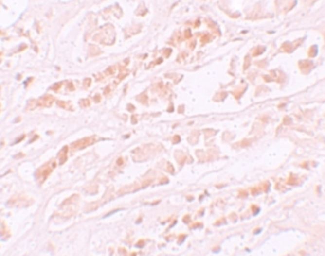
anti-CRACR2A antibody for Western blot,IHC-Formalin-fixed paraffin-embedded sections and Human,Mouse
Overview
| Product Description | Rabbit Polyclonal antibody recognizes CRACR2A |
|---|---|
| Tested Reactivity | Hu, Ms |
| Tested Application | IHC-P, WB |
| Host | Rabbit |
| Clonality | Polyclonal |
| Isotype | IgG |
| Target Name | CRACR2A |
| Antigen Species | Human |
| Immunogen | A 14 amino acid synthetic peptide within aa. 640 - 690 of human CRACR2A. |
| Conjugation | Un-conjugated |
| Alternate Names | EF-hand calcium binding domain 4B; EFCAB4B; CRACR2A; CRACR2A; EF-hand calcium-binding domain-containing protein 4B; Calcium release-activated calcium channel regulator 2A; CRAC channel regulator 2A |
Application Instructions
| Application Suggestion |
|
||||||
|---|---|---|---|---|---|---|---|
| Application Note | * The dilutions indicate recommended starting dilutions and the optimal dilutions or concentrations should be determined by the scientist. |
Properties
| Form | Liquid |
|---|---|
| Purification | Affinity chromatography purified |
| Buffer | PBS and 0.02% Sodium azide. |
| Preservative | 0.02% Sodium azide |
| Concentration | 1 mg/ml |
| Storage Instruction | For continuous use, store undiluted antibody at 2-8°C for up to a week. For long-term storage, aliquot and store at -188°C or below. Storage in frost free freezers is not recommended. Avoid repeated freeze/thaw cycles. Suggest spin the vial prior to opening. The antibody solution should be gently mixed before use. |
| Note | For laboratory research only, not for drug, diagnostic or other use. |
Bioinformation
| Database Links |
Swiss-port # Q3UP38 Mouse EF-hand calcium-binding domain-containing protein 4B Swiss-port # Q9BSW2 Human EF-hand calcium-binding domain-containing protein 4B |
|---|---|
| Gene Symbol | EFCAB4B |
| Gene Full Name | EF-hand calcium binding domain 4B |
| Background | Enables GTPase activity and calcium ion binding activity. Involved in several processes, including activation of store-operated calcium channel activity; positive regulation of JNK cascade; and store-operated calcium entry. Located in several cellular components, including Golgi apparatus; Weibel-Palade body; and immunological synapse. [provided by Alliance of Genome Resources, Apr 2025] |
| Function | [Isoform 1]: Ca(2+)-binding protein that plays a key role in store-operated Ca(2+) entry (SOCE) in T-cells by regulating CRAC channel activation. Acts as a cytoplasmic calcium-sensor that facilitates the clustering of ORAI1 and STIM1 at the junctional regions between the plasma membrane and the endoplasmic reticulum upon low Ca(2+) concentration. It thereby regulates CRAC channel activation, including translocation and clustering of ORAI1 and STIM1. Upon increase of cytoplasmic Ca(2+) resulting from opening of CRAC channels, dissociates from ORAI1 and STIM1, thereby destabilizing the ORAI1-STIM1 complex. {ECO:0000269|PubMed:20418871, ECO:0000269|PubMed:27016526}.; [Isoform 2]: Rab GTPase that mediates the trafficking of Weibel-Palade bodies (WPBs) to microtubule organizing center (MTOC) in endothelial cells in response to acute inflammatory stimuli (PubMed:31092558). During histamine (but not thrombin) stimulation of endothelial cells, the dynein-bound form induces retrograde transport of a subset of WPBs along microtubules to the MTOC in a Ca(2+)-independent manner and its GTPase activity is essential for this function (PubMed:31092558). Ca(2+)-regulated dynein adapter protein that activates dynein-mediated transport and dynein-dynactin motility on microtubules and regulates endosomal trafficking of CD47 (PubMed:30814157). Acts as an intracellular signaling module bridging two important T-cell receptor (TCR) signaling pathways, Ca(2+)-NFAT and JNK, to affect T-cell activation (PubMed:27016526). In resting T-cells, is predominantly localized near TGN network in a GTP-bound form, upon TCR stimulation, localizes at the immunological synapse via interaction with VAV1 to activate downstream Ca(2+)-NFAT and JNK signaling pathways (PubMed:27016526). Plays a role in T-helper 1 (Th1) cell differentiation and T-helper 17 (Th17) cell effector function (PubMed:29987160). Plays a role in store-operated Ca(2+) entry (SOCE) in T-cells by regulating CRAC channel activation. [UniProt] |
| Cellular Localization | Cytoplasm; Golgi apparatus. [UniProt] |
| Calculated MW | 83 kDa |
| PTM | Lipoprotein. [UniProt] |
Images (2) Click the Picture to Zoom In
