ARG42600
anti-CREB3L2 / BBF2H7 antibody
anti-CREB3L2 / BBF2H7 antibody for IHC-Formalin-fixed paraffin-embedded sections,Western blot and Human
Overview
| Product Description | Rabbit Polyclonal antibody recognizes CREB3L2 / BBF2H7 |
|---|---|
| Tested Reactivity | Hu |
| Predict Reactivity | Ms, Rat, Cow, Dog, Gpig, Hrs, Rb |
| Tested Application | IHC-P, WB |
| Host | Rabbit |
| Clonality | Polyclonal |
| Isotype | IgG |
| Target Name | CREB3L2 / BBF2H7 |
| Antigen Species | Human |
| Immunogen | Synthetic peptide around the N-terminal region of Human CREB3L2 / BBF2H7. (within the following region: HSYSLCEEPRAQSPFTHITSDSFNDDEVESEKWYLSTDF) |
| Conjugation | Un-conjugated |
| Alternate Names | Cyclic AMP-responsive element-binding protein 3-like protein 2; BBF2 human homolog on chromosome 7; BBF2H7; cAMP-responsive element-binding protein 3-like protein 2 |
Application Instructions
| Predict Reactivity Note | Predicted Homology Based on Immunogen Sequence: Cow: 93%; Dog: 85%; Guinea pig: 87%; Horse: 87%; Mouse: 86%; Rabbit: 87%; Rat: 87% | ||||||
|---|---|---|---|---|---|---|---|
| Application Suggestion |
|
||||||
| Application Note | * The dilutions indicate recommended starting dilutions and the optimal dilutions or concentrations should be determined by the scientist. | ||||||
| Positive Control | Jurkat, Human fetal muscle, lung, heart and brain. | ||||||
| Observed Size | ~ 52 kDa |
Properties
| Form | Liquid |
|---|---|
| Purification | Purification with Protein A. |
| Buffer | PBS, 0.09% (w/v) Sodium azide and 2% Sucrose. |
| Preservative | 0.09% (w/v) Sodium azide |
| Stabilizer | 2% Sucrose |
| Concentration | Batch dependent: 0.5 - 1 mg/ml |
| Storage Instruction | For continuous use, store undiluted antibody at 2-8°C for up to a week. For long-term storage, aliquot and store at -20°C or below. Storage in frost free freezers is not recommended. Avoid repeated freeze/thaw cycles. Suggest spin the vial prior to opening. The antibody solution should be gently mixed before use. |
| Note | For laboratory research only, not for drug, diagnostic or other use. |
Bioinformation
| Database Links |
Swiss-port # Q70SY1 Human Cyclic AMP-responsive element-binding protein 3-like protein 2 |
|---|---|
| Gene Symbol | CREB3L2 |
| Gene Full Name | cAMP responsive element binding protein 3-like 2 |
| Background | This gene encodes a member of the oasis bZIP transcription factor family. Members of this family can dimerize but form homodimers only. The encoded protein is a transcriptional activator. Translocations between this gene on chromosome 7 and the gene fused in sarcoma on chromosome 16 can be found in some tumors. Multiple transcript variants encoding different isoforms have been found for this gene. [provided by RefSeq, Dec 2011] |
| Function | Transcription factor involved in unfolded protein response (UPR). In the absence of endoplasmic reticulum (ER) stress, inserted into ER membranes, with N-terminal DNA-binding and transcription activation domains oriented toward the cytosolic face of the membrane. In response to ER stress, transported to the Golgi, where it is cleaved in a site-specific manner by resident proteases S1P/MBTPS1 and S2P/MBTPS2. The released N-terminal cytosolic domain is translocated to the nucleus to effect transcription of specific target genes. Plays a critical role in chondrogenesis by activating the transcription of SEC23A, which promotes the transport and secretion of cartilage matrix proteins, and possibly that of ER biogenesis-related genes (By similarity). In a neuroblastoma cell line, protects cells from ER stress-induced death (PubMed:17178827). In vitro activates transcription of target genes via direct binding to the CRE site (PubMed:17178827). [UniProt] |
| Cellular Localization | Endoplasmic reticulum membrane; Single-pass type II membrane protein. Note=ER membrane resident protein. Upon ER stress, translocated to the Golgi apparatus where it is cleaved. The cytosolic N-terminal fragment (processed cyclic AMP-responsive element-binding protein 3-like protein 1) is transported into the nucleus. Processed cyclic AMP-responsive element-binding protein 3-like protein 2: Nucleus. Note=Upon ER stress, translocated into the nucleus. [UniProt] |
| Calculated MW | 57 kDa |
| PTM | Upon ER stress, translocated to the Golgi apparatus, where it is processed by regulated intramembrane proteolysis (RIP) to release the cytosol-facing N-terminal transcription factor domain. The cleavage is performed sequentially by site-1 and site-2 proteases (S1P/MBTPS1 and S2P/MBTPS2). N-glycosylated. Ubiquitinated by HRD1/SYVN1; undergoes 'Lys-48'-linked ubiquitination, followed by rapid proteasomal degradation under normal conditions. Upon ER stress, SYVN1 E3 ubiquitin-protein ligase dissociates from its substrate, ubiquitination does not occur and CREB3L2 is stabilized. [UniProt] |
Images (6) Click the Picture to Zoom In
-
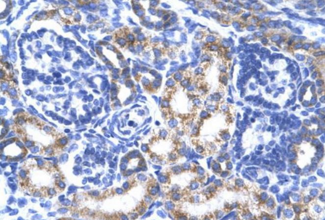
ARG42600 anti-CREB3L2 / BBF2H7 antibody IHC-P image
Immunohistochemistry: Paraffin-embedded Human kidney tissue stained with ARG42600 anti-CREB3L2 / BBF2H7 antibody.
-
ARG42600 anti-CREB3L2 / BBF2H7 antibody WB image
Western blot: Jurkat cell lysate stained with ARG42600 anti-CREB3L2 / BBF2H7 antibody at 1.25 µg/ml dilution.
-
ARG42600 anti-CREB3L2 / BBF2H7 antibody WB image
Western blot: Human fetal muscle lysate stained with ARG42600 anti-CREB3L2 / BBF2H7 antibody at 1 µg/ml dilution.
-
ARG42600 anti-CREB3L2 / BBF2H7 antibody WB image
Western blot: Human fetal lung lysate stained with ARG42600 anti-CREB3L2 / BBF2H7 antibody at 1 µg/ml dilution.
-
ARG42600 anti-CREB3L2 / BBF2H7 antibody WB image
Western blot: Human fetal heart lysate stained with ARG42600 anti-CREB3L2 / BBF2H7 antibody at 1 µg/ml dilution.
-
ARG42600 anti-CREB3L2 / BBF2H7 antibody WB image
Western blot: Human fetal brain lysate stained with ARG42600 anti-CREB3L2 / BBF2H7 antibody at 1 µg/ml dilution.
