ARG46101
anti-CRISP2 antibody
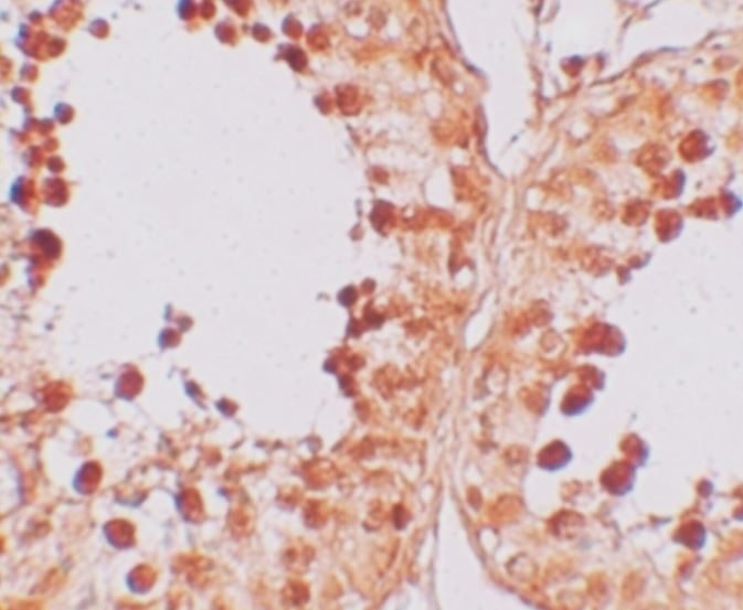
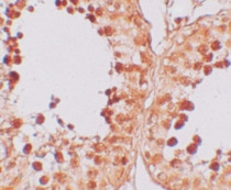
anti-CRISP2 antibody for Western blot,IHC-Formalin-fixed paraffin-embedded sections and Human
Overview
| Product Description | Rabbit Polyclonal antibody recognizes CRISP2 |
|---|---|
| Tested Reactivity | Hu |
| Tested Application | IHC-P, WB |
| Host | Rabbit |
| Clonality | Polyclonal |
| Isotype | IgG |
| Target Name | CRISP2 |
| Antigen Species | Human |
| Immunogen | A 15 amino acid synthetic peptide within the first 50 amino acids of human CRISP2. |
| Conjugation | Un-conjugated |
| Alternate Names | CRISP2; TPX1; TSP1; Testis-specific protein TPX-1; Cancer/testis antigen 36; Cysteine-rich secretory protein 2; GAPDL5; CT36; CRISP-2 |
Application Instructions
| Application Suggestion |
|
||||||
|---|---|---|---|---|---|---|---|
| Application Note | * The dilutions indicate recommended starting dilutions and the optimal dilutions or concentrations should be determined by the scientist. |
Properties
| Purification | Affinity chromatography purified |
|---|---|
| Buffer | PBS and 0.02% Sodium azide. |
| Preservative | 0.02% Sodium azide |
| Concentration | 1 mg/ml |
| Storage Instruction | For continuous use, store undiluted antibody at 2-8°C for up to a week. For long-term storage, aliquot and store at -20°C. Storage in frost free freezers is not recommended. Avoid repeated freeze/thaw cycles. Suggest spin the vial prior to opening. The antibody solution should be gently mixed before use. |
| Note | For laboratory research only, not for drug, diagnostic or other use. |
Bioinformation
| Database Links | |
|---|---|
| Gene Symbol | CRISP2 |
| Gene Full Name | cysteine-rich secretory protein 2 |
| Function | May regulate some ion channels' activity and therebye regulate calcium fluxes during sperm capacitation. [UniProt] |
| Cellular Localization | Secreted. [UniProt] |
| Calculated MW | 27 kDa |
Images (2) Click the Picture to Zoom In
