ARG58436
anti-CRY2 antibody
anti-CRY2 antibody for IHC-Formalin-fixed paraffin-embedded sections,Western blot and Human,Mouse,Rat
Overview
| Product Description | Rabbit Polyclonal antibody recognizes CRY2 |
|---|---|
| Tested Reactivity | Hu, Ms, Rat |
| Tested Application | IHC-P, WB |
| Host | Rabbit |
| Clonality | Polyclonal |
| Isotype | IgG |
| Target Name | CRY2 |
| Antigen Species | Human |
| Immunogen | Synthetic peptide corresponding to a sequence at the N-terminus of Human CRY2 (171-200aa RFQAIISRMELPKKPVGLVTSQQMESCRAE), different from the related Mouse and Rat sequences by five amino acids. |
| Conjugation | Un-conjugated |
| Alternate Names | Cryptochrome-2; PHLL2; HCRY2 |
Application Instructions
| Application Suggestion |
|
||||||
|---|---|---|---|---|---|---|---|
| Application Note | IHC-P: Antigen Retrieval: By heat mediation. * The dilutions indicate recommended starting dilutions and the optimal dilutions or concentrations should be determined by the scientist. |
Properties
| Form | Liquid |
|---|---|
| Purification | Affinity purification with immunogen. |
| Buffer | 0.9% NaCl, 0.2% Na2HPO4, 0.05% Sodium azide and 5% BSA. |
| Preservative | 0.05% Sodium azide |
| Stabilizer | 5% BSA |
| Concentration | 0.5 mg/ml |
| Storage Instruction | For continuous use, store undiluted antibody at 2-8°C for up to a week. For long-term storage, aliquot and store at -20°C or below. Storage in frost free freezers is not recommended. Avoid repeated freeze/thaw cycles. Suggest spin the vial prior to opening. The antibody solution should be gently mixed before use. |
| Note | For laboratory research only, not for drug, diagnostic or other use. |
Bioinformation
| Database Links | |
|---|---|
| Gene Symbol | CRY2 |
| Gene Full Name | cryptochrome circadian clock 2 |
| Background | This gene encodes a flavin adenine dinucleotide-binding protein that is a key component of the circadian core oscillator complex, which regulates the circadian clock. This gene is upregulated by CLOCK/ARNTL heterodimers but then represses this upregulation in a feedback loop using PER/CRY heterodimers to interact with CLOCK/ARNTL. Polymorphisms in this gene have been associated with altered sleep patterns. The encoded protein is widely conserved across plants and animals. Two transcript variants encoding different isoforms have been found for this gene. [provided by RefSeq, Feb 2014] |
| Function | Transcriptional repressor which forms a core component of the circadian clock. The circadian clock, an internal time-keeping system, regulates various physiological processes through the generation of approximately 24 hour circadian rhythms in gene expression, which are translated into rhythms in metabolism and behavior. It is derived from the Latin roots 'circa' (about) and 'diem' (day) and acts as an important regulator of a wide array of physiological functions including metabolism, sleep, body temperature, blood pressure, endocrine, immune, cardiovascular, and renal function. Consists of two major components: the central clock, residing in the suprachiasmatic nucleus (SCN) of the brain, and the peripheral clocks that are present in nearly every tissue and organ system. Both the central and peripheral clocks can be reset by environmental cues, also known as Zeitgebers (German for 'timegivers'). The predominant Zeitgeber for the central clock is light, which is sensed by retina and signals directly to the SCN. The central clock entrains the peripheral clocks through neuronal and hormonal signals, body temperature and feeding-related cues, aligning all clocks with the external light/dark cycle. Circadian rhythms allow an organism to achieve temporal homeostasis with its environment at the molecular level by regulating gene expression to create a peak of protein expression once every 24 hours to control when a particular physiological process is most active with respect to the solar day. Transcription and translation of core clock components (CLOCK, NPAS2, ARNTL/BMAL1, ARNTL2/BMAL2, PER1, PER2, PER3, CRY1 and CRY2) plays a critical role in rhythm generation, whereas delays imposed by post-translational modifications (PTMs) are important for determining the period (tau) of the rhythms (tau refers to the period of a rhythm and is the length, in time, of one complete cycle). A diurnal rhythm is synchronized with the day/night cycle, while the ultradian and infradian rhythms have a period shorter and longer than 24 hours, respectively. Disruptions in the circadian rhythms contribute to the pathology of cardiovascular diseases, cancer, metabolic syndromes and aging. A transcription/translation feedback loop (TTFL) forms the core of the molecular circadian clock mechanism. Transcription factors, CLOCK or NPAS2 and ARNTL/BMAL1 or ARNTL2/BMAL2, form the positive limb of the feedback loop, act in the form of a heterodimer and activate the transcription of core clock genes and clock-controlled genes (involved in key metabolic processes), harboring E-box elements (5'-CACGTG-3') within their promoters. The core clock genes: PER1/2/3 and CRY1/2 which are transcriptional repressors form the negative limb of the feedback loop and interact with the CLOCK|NPAS2-ARNTL/BMAL1|ARNTL2/BMAL2 heterodimer inhibiting its activity and thereby negatively regulating their own expression. This heterodimer also activates nuclear receptors NR1D1/2 and RORA/B/G, which form a second feedback loop and which activate and repress ARNTL/BMAL1 transcription, respectively. CRY1 and CRY2 have redundant functions but also differential and selective contributions at least in defining the pace of the SCN circadian clock and its circadian transcriptional outputs. Less potent transcriptional repressor in cerebellum and liver than CRY1, though less effective in lengthening the period of the SCN oscillator. Seems to play a critical role in tuning SCN circadian period by opposing the action of CRY1. With CRY1, dispensable for circadian rhythm generation but necessary for the development of intercellular networks for rhythm synchrony. May mediate circadian regulation of cAMP signaling and gluconeogenesis by blocking glucagon-mediated increases in intracellular cAMP concentrations and in CREB1 phosphorylation. Besides its role in the maintenance of the circadian clock, is also involved in the regulation of other processes. Plays a key role in glucose and lipid metabolism modulation, in part, through the transcriptional regulation of genes involved in these pathways, such as LEP or ACSL4. Represses glucocorticoid receptor NR3C1/GR-induced transcriptional activity by binding to glucocorticoid response elements (GREs). Represses the CLOCK-ARNTL/BMAL1 induced transcription of BHLHE40/DEC1. Represses the CLOCK-ARNTL/BMAL1 induced transcription of NAMPT (By similarity). [UniProt] |
| Cellular Localization | Cytoplasm. Nucleus. Translocated to the nucleus through interaction with other Clock proteins such as PER2 or ARNTL. [UniProt] |
| Calculated MW | 67 kDa |
| PTM | Phosphorylation on Ser-266 by MAPK is important for the inhibition of CLOCK-ARNTL-mediated transcriptional activity. Phosphorylation by CSKNE requires interaction with PER1 or PER2. Phosphorylated in a circadian manner at Ser-554 and Ser-558 in the suprachiasmatic nucleus (SCN) and liver. Phosphorylation at Ser-558 by DYRK1A promotes subsequent phosphorylation at Ser-554 by GSK3-beta: the two-step phosphorylation at the neighboring Ser residues leads to its proteasomal degradation. Ubiquitinated by the SCF(FBXL3) and SCF(FBXL21) complexes, regulating the balance between degradation and stabilization. The SCF(FBXL3) complex is mainly nuclear and mediates ubiquitination and subsequent degradation of CRY2. In contrast, cytoplasmic SCF(FBXL21) complex-mediated ubiquitination leads to stabilize CRY2 and counteract the activity of the SCF(FBXL3) complex. The SCF(FBXL3) and SCF(FBXL21) complexes probably mediate ubiquitination at different Lys residues. The SCF(FBXL3) complex recognizes and binds CRY2 phosphorylated at Ser-554 and Ser-558. Ubiquitination may be inhibited by PER2. [UniProt] |
Images (3) Click the Picture to Zoom In
-
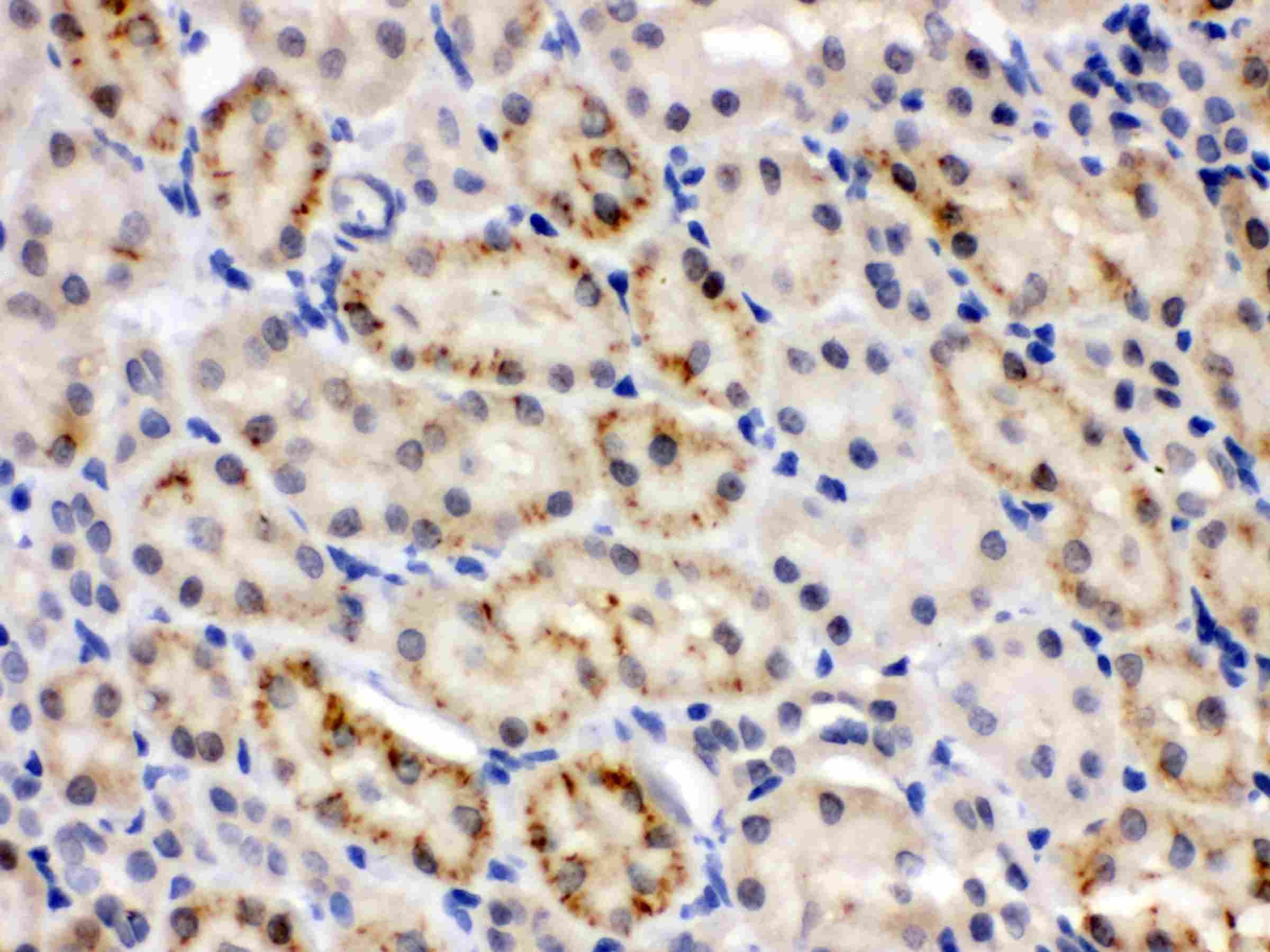
ARG58436 anti-CRY2 antibody IHC-P image
Immunohistochemistry: Paraffin-embedded Rat liver stained with ARG58436 anti-CRY2 antibody.
-
ARG58436 anti-CRY2 antibody WB image
Western blot: 50 µg of Rat testis, 50 µg of Rat brain, 50 µg of Mouse brain and 40 µg of 22RV1 whole cell lysates stained with ARG58436 anti-CRY2 antibody at 0.5 µg/ml dilution.
-
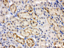
ARG58436 anti-CRY2 antibody IHC-P image
Immunohistochemistry: Paraffin-embedded Mouse kidney stained with ARG58436 anti-CRY2 antibody.
