ARG43306
anti-CTHRC1 antibody
anti-CTHRC1 antibody for IHC-Formalin-fixed paraffin-embedded sections,Western blot and Human
Overview
| Product Description | Mouse Monoclonal antibody recognizes CTHRC1 |
|---|---|
| Tested Reactivity | Hu |
| Predict Reactivity | Ms, Rat |
| Tested Application | IHC-P, WB |
| Host | Mouse |
| Clonality | Monoclonal |
| Isotype | IgG1 |
| Target Name | CTHRC1 |
| Antigen Species | Human |
| Immunogen | Recombinant protein of Human CTHRC1. |
| Conjugation | Un-conjugated |
| Alternate Names | Protein NMTC1; Collagen triple helix repeat-containing protein 1 |
Application Instructions
| Application Suggestion |
|
||||||
|---|---|---|---|---|---|---|---|
| Application Note | * The dilutions indicate recommended starting dilutions and the optimal dilutions or concentrations should be determined by the scientist. | ||||||
| Observed Size | ~ 30 kDa |
Properties
| Form | Liquid |
|---|---|
| Purification | Purification with Protein A. |
| Buffer | PBS (pH 7.2), 0.02% Sodium azide and 50% Glycerol. |
| Preservative | 0.02% Sodium azide |
| Stabilizer | 50% Glycerol |
| Concentration | 1 mg/ml |
| Storage Instruction | For continuous use, store undiluted antibody at 2-8°C for up to a week. For long-term storage, aliquot and store at -20°C. Storage in frost free freezers is not recommended. Avoid repeated freeze/thaw cycles. Suggest spin the vial prior to opening. The antibody solution should be gently mixed before use. |
| Note | For laboratory research only, not for drug, diagnostic or other use. |
Bioinformation
| Database Links |
Swiss-port # Q96CG8 Human Collagen triple helix repeat-containing protein 1 |
|---|---|
| Gene Symbol | CTHRC1 |
| Gene Full Name | collagen triple helix repeat containing 1 |
| Background | This locus encodes a protein that may play a role in the cellular response to arterial injury through involvement in vascular remodeling. Mutations at this locus have been associated with Barrett esophagus and esophageal adenocarcinoma. Alternatively spliced transcript variants have been described. [provided by RefSeq, Jan 2012] |
| Function | May act as a negative regulator of collagen matrix deposition. [UniProt] |
| Cellular Localization | Secreted, extracellular space, extracellular matrix. [UniProt] |
| Calculated MW | 26 kDa |
| PTM | N-glycosylated. [UniProt] |
Images (2) Click the Picture to Zoom In
-
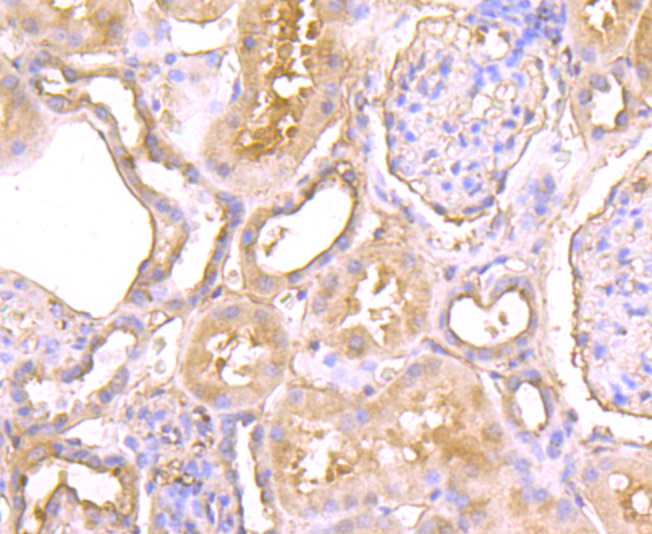
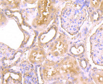
ARG43306 anti-CTHRC1 antibody IHC-P image
Immunohistochemistry: Paraffin-embedded Human kidney tissue stained with ARG43306 anti-CTHRC1 antibody. Counter stained with hematoxylin.
-
ARG43306 anti-CTHRC1 antibody WB image
Western blot: Human CTHRC1 recombinant protein stained with ARG43306 anti-CTHRC1 antibody at 1:500 dilution.
