ARG41353
anti-CXCL9 / MIG antibody
anti-CXCL9 / MIG antibody for IHC-Formalin-fixed paraffin-embedded sections,Western blot and Human
Overview
| Product Description | Rabbit Polyclonal antibody recognizes CXCL9 / MIG |
|---|---|
| Tested Reactivity | Hu |
| Predict Reactivity | Mk, Rb |
| Tested Application | IHC-P, WB |
| Host | Rabbit |
| Clonality | Polyclonal |
| Isotype | IgG |
| Target Name | CXCL9 / MIG |
| Antigen Species | Human |
| Immunogen | Synthetic peptide corresponding to aa. 37-51 of Human CXCL9 / MIG. (NQGTIHLQSLKDLKQ) |
| Conjugation | Un-conjugated |
| Alternate Names | Small-inducible cytokine B9; crg-10; CMK; Humig; SCYB9; HuMIG; MIG; Gamma-interferon-induced monokine; Monokine induced by interferon-gamma; C-X-C motif chemokine 9 |
Application Instructions
| Application Suggestion |
|
||||||
|---|---|---|---|---|---|---|---|
| Application Note | * The dilutions indicate recommended starting dilutions and the optimal dilutions or concentrations should be determined by the scientist. | ||||||
| Observed Size | ~ 13 kDa |
Properties
| Form | Liquid |
|---|---|
| Purification | Affinity purification with immunogen. |
| Buffer | 0.2% Na2HPO4, 0.9% NaCl, 0.05% Thimerosal, 0.05% Sodium azide and 5% BSA. |
| Preservative | 0.05% Thimerosal and 0.05% Sodium azide |
| Stabilizer | 5% BSA |
| Concentration | 0.5 mg/ml |
| Storage Instruction | For continuous use, store undiluted antibody at 2-8°C for up to a week. For long-term storage, aliquot and store at -20°C or below. Storage in frost free freezers is not recommended. Avoid repeated freeze/thaw cycles. Suggest spin the vial prior to opening. The antibody solution should be gently mixed before use. |
| Note | For laboratory research only, not for drug, diagnostic or other use. |
Bioinformation
| Database Links | |
|---|---|
| Gene Symbol | CXCL9 |
| Gene Full Name | chemokine (C-X-C motif) ligand 9 |
| Background | This antimicrobial gene encodes a protein thought to be involved in T cell trafficking. The encoded protein binds to C-X-C motif chemokine 3 and is a chemoattractant for lymphocytes but not for neutrophils. [provided by RefSeq, Sep 2014] |
| Function | Cytokine that affects the growth, movement, or activation state of cells that participate in immune and inflammatory response. Chemotactic for activated T-cells. Binds to CXCR3. [UniProt] |
| Cellular Localization | Secreted. [UniProt] |
| Calculated MW | 14 kDa |
Images (2) Click the Picture to Zoom In
-
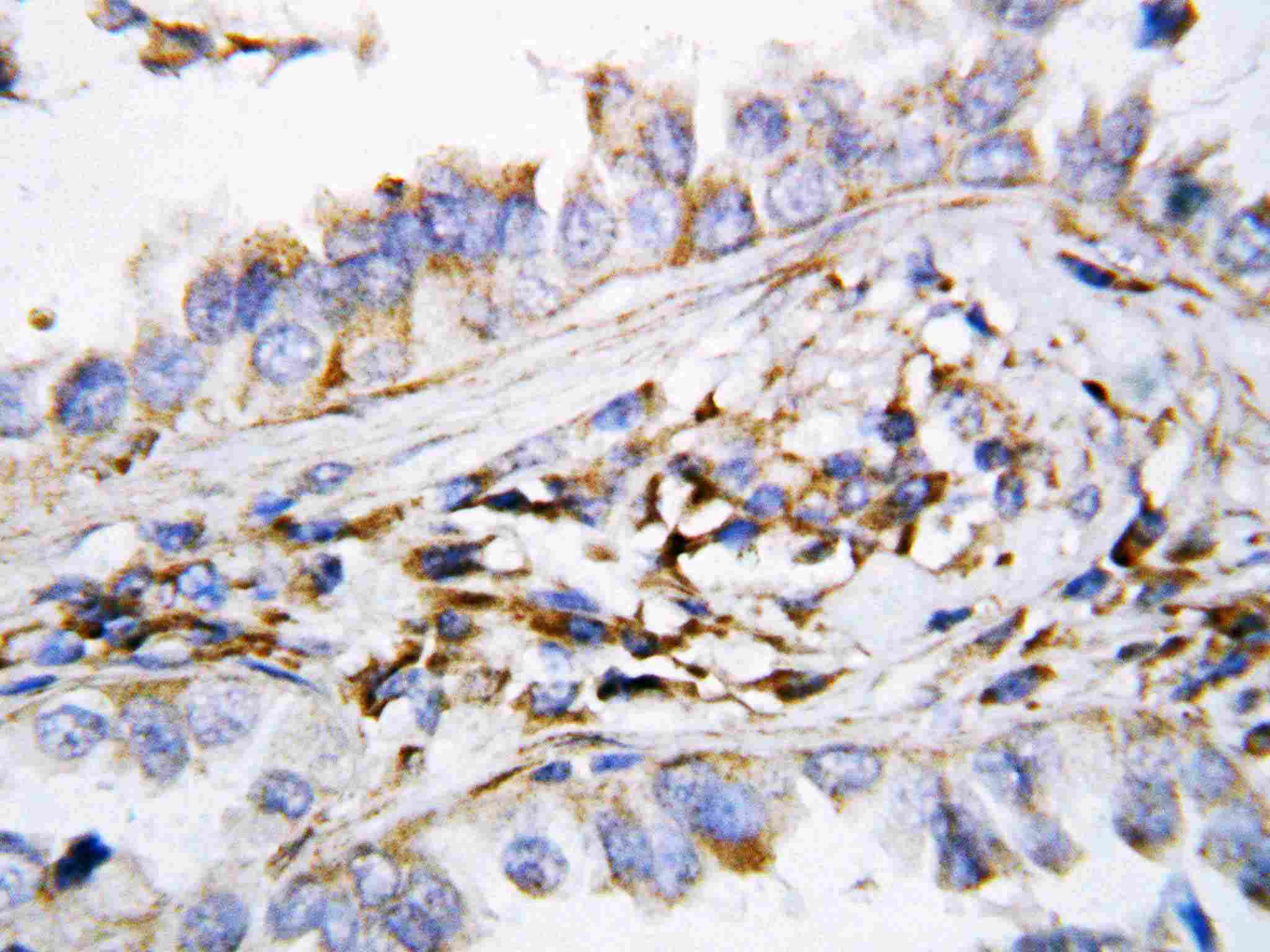
ARG41353 anti-CXCL9 / MIG antibody IHC-P image
Immunohistochemistry: Paraffin-embedded Human lung cancer tissue stained with ARG41353 anti-CXCL9 / MIG antibody.
-
ARG41353 anti-CXCL9 / MIG antibody WB image
Western blot: 10 ng, 5 ng and 2.5 ng (left to right) of Recombinant Human CXCL9 / MIG protein stained with ARG41353 anti-CXCL9 / MIG antibody.
