ARG67126
anti-CXCR7 / CD187 antibody
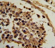
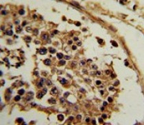
anti-CXCR7 / CD187 antibody for IHC-Formalin-fixed paraffin-embedded sections,Western blot and Human
Overview
| Product Description | Rabbit Polyclonal antibody recognizes CXCR7 / CD187 |
|---|---|
| Tested Reactivity | Hu |
| Predict Reactivity | Ms, Rat |
| Tested Application | IHC-P, WB |
| Host | Rabbit |
| Clonality | Polyclonal |
| Isotype | IgG |
| Target Name | CXCR7 / CD187 |
| Antigen Species | Human |
| Conjugation | Un-conjugated |
| Alternate Names | ACKR3; Atypical Chemokine Receptor 3; GPR159; RDC1; Chemokine Orphan Receptor 1; CMKOR1; CXCR7; G-Protein Coupled Receptor RDC1 Homolog; Chemokine (C-X-C Motif) Receptor 7; C-X-C Chemokine Receptor Type 7 ; G-Protein Coupled Receptor 159; CXC-R7; CXCR-7; RDC-1; G Protein-Coupled Receptor |
Application Instructions
| Application Suggestion |
|
||||||
|---|---|---|---|---|---|---|---|
| Application Note | * The dilutions indicate recommended starting dilutions and the optimal dilutions or concentrations should be determined by the scientist. |
Properties
| Form | Liquid |
|---|---|
| Purification | Purification with Protein A. |
| Buffer | PBS and 0.09% (W/V) Sodium azide. |
| Preservative | 0.09% (W/V) Sodium azide |
| Storage Instruction | For continuous use, store undiluted antibody at 2-8°C for up to a week. For long-term storage, aliquot and store at -20°C or below. Storage in frost free freezers is not recommended. Avoid repeated freeze/thaw cycles. Suggest spin the vial prior to opening. The antibody solution should be gently mixed before use. |
| Note | For laboratory research only, not for drug, diagnostic or other use. |
Bioinformation
| Database Links | |
|---|---|
| Gene Symbol | ACKR3 |
| Gene Full Name | Atypical Chemokine Receptor 3 |
| Background | This gene encodes a member of the G-protein coupled receptor family. Although this protein was earlier thought to be a receptor for vasoactive intestinal peptide (VIP), it is now considered to be an orphan receptor, in that its endogenous ligand has not been identified. The protein is also a coreceptor for human immunodeficiency viruses (HIV). Translocations involving this gene and HMGA2 on chromosome 12 have been observed in lipomas. [provided by RefSeq, Jul 2008] |
| Function | Atypical chemokine receptor that controls chemokine levels and localization via high-affinity chemokine binding that is uncoupled from classic ligand-driven signal transduction cascades, resulting instead in chemokine sequestration, degradation, or transcytosis. Also known as interceptor (internalizing receptor) or chemokine-scavenging receptor or chemokine decoy receptor. Acts as a receptor for chemokines CXCL11 and CXCL12/SDF1. [Uniprot] |
| Cellular Localization | Cell membrane, Endosome, Membrane. [Uniprot] |
| Calculated MW | 41 kDa |
| PTM | Disulfide bond, Glycoprotein, Phosphoprotein, Ubl conjugation. [Uniprot] |
Images (2) Click the Picture to Zoom In
