ARG43123
anti-CYP11A1 antibody
anti-CYP11A1 antibody for IHC-Frozen sections,IHC-Formalin-fixed paraffin-embedded sections,Western blot and Human
Overview
| Product Description | Rabbit Polyclonal antibody recognizes CYP11A1 |
|---|---|
| Tested Reactivity | Hu |
| Tested Application | IHC-Fr, IHC-P, WB |
| Host | Rabbit |
| Clonality | Polyclonal |
| Isotype | IgG |
| Target Name | CYP11A1 |
| Antigen Species | Human |
| Immunogen | Synthetic peptide corresponding to aa. 507-521 of Human CYP11A1. (ISFTFWPFNQEATQQ) |
| Conjugation | Un-conjugated |
| Alternate Names | CYP11A; Cytochrome P450; Cholesterol desmolase; P450SCC; EC 1.14.15.6; CYPXIA1; Cytochrome P450 11A1; scc; Cholesterol side-chain cleavage enzyme, mitochondrial |
Application Instructions
| Application Suggestion |
|
||||||||
|---|---|---|---|---|---|---|---|---|---|
| Application Note | * The dilutions indicate recommended starting dilutions and the optimal dilutions or concentrations should be determined by the scientist. | ||||||||
| Observed Size | ~ 56 kDa |
Properties
| Form | Liquid |
|---|---|
| Purification | Immunogen affinity purified. |
| Buffer | 0.2% Na2HPO4, 0.9% NaCl, 0.05% Thimerosal, 0.05% Sodium azide and 5% BSA. |
| Preservative | 0.05% Thimerosal and 0.05% Sodium azide |
| Stabilizer | 5% BSA |
| Concentration | 0.5 mg/ml |
| Storage Instruction | For continuous use, store undiluted antibody at 2-8°C for up to a week. For long-term storage, aliquot and store at -20°C or below. Storage in frost free freezers is not recommended. Avoid repeated freeze/thaw cycles. Suggest spin the vial prior to opening. The antibody solution should be gently mixed before use. |
| Note | For laboratory research only, not for drug, diagnostic or other use. |
Bioinformation
| Database Links |
Swiss-port # P05108 Human Cholesterol side-chain cleavage enzyme, mitochondrial |
|---|---|
| Gene Symbol | CYP11A1 |
| Gene Full Name | cytochrome P450, family 11, subfamily A, polypeptide 1 |
| Background | This gene encodes a member of the cytochrome P450 superfamily of enzymes. The cytochrome P450 proteins are monooxygenases which catalyze many reactions involved in drug metabolism and synthesis of cholesterol, steroids and other lipids. This protein localizes to the mitochondrial inner membrane and catalyzes the conversion of cholesterol to pregnenolone, the first and rate-limiting step in the synthesis of the steroid hormones. Two transcript variants encoding different isoforms have been found for this gene. The cellular location of the smaller isoform is unclear since it lacks the mitochondrial-targeting transit peptide. [provided by RefSeq, Jul 2008] |
| Function | A cytochrome P450 monooxygenase that catalyzes the side-chain hydroxylation and cleavage of cholesterol to pregnenolone, the precursor of most steroid hormones (PubMed:21636783). Catalyzes three sequential oxidation reactions of cholesterol, namely the hydroxylation at C22 followed with the hydroxylation at C20 to yield 20R,22R-hydroxycholesterol that is further cleaved between C20 and C22 to yield the C21-steroid pregnenolone and 4-methylpentanal (PubMed:21636783). Mechanistically, uses molecular oxygen inserting one oxygen atom into a substrate and reducing the second into a water molecule. Two electrons are provided by NADPH via a two-protein mitochondrial transfer system comprising flavoprotein FDXR (adrenodoxin/ferredoxin reductase) and nonheme iron-sulfur protein FDX1 or FDX2 (adrenodoxin/ferredoxin) (PubMed:21636783). [UniProt] |
| Cellular Localization | Mitochondrion inner membrane; Peripheral membrane protein. Note=Localizes to the matrix side of the mitochondrion inner membrane. [UniProt] |
| Calculated MW | 60 kDa |
Images (3) Click the Picture to Zoom In
-
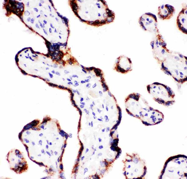
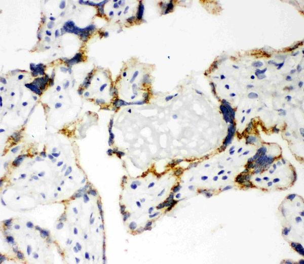
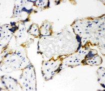
ARG43123 anti-CYP11A1 antibody IHC-P image
Immunohistochemistry: Paraffin-embedded Human placenta tissue stained with ARG43123 anti-CYP11A1 antibody.
-
ARG43123 anti-CYP11A1 antibody WB image
Western blot: Human placenta lysate stained with ARG43123 anti-CYP11A1 antibody.
-
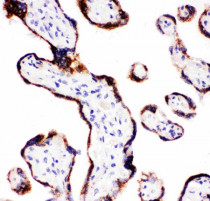
ARG43123 anti-CYP11A1 antibody IHC-Fr image
Immunohistochemistry: Frozen section of Human placenta tissue stained with ARG43123 anti-CYP11A1 antibody.
