ARG43584
anti-CYP2D6 antibody
anti-CYP2D6 antibody for Flow cytometry,ICC/IF,IHC-Formalin-fixed paraffin-embedded sections,Western blot and Human
Overview
| Product Description | Rabbit Polyclonal antibody recognizes CYP2D6. |
|---|---|
| Tested Reactivity | Hu |
| Tested Application | FACS, ICC/IF, IHC-P, WB |
| Host | Rabbit |
| Clonality | Polyclonal |
| Isotype | IgG |
| Target Name | CYP2D6 |
| Antigen Species | Human |
| Immunogen | Purified recombinant protein corresponding to human CYP2D6. |
| Conjugation | Un-conjugated |
| Protein Full Name | Cytochrome P450 2D6 |
| Alternate Names | CPD6; CYP2D; CYP2DL1; CYPIID6; P450C2D; P450DB1; CYP2D7AP; CYP2D7BP; CYP2D7P2; CYP2D8P2; P450-DB1 |
Application Instructions
| Application Suggestion |
|
||||||||||
|---|---|---|---|---|---|---|---|---|---|---|---|
| Application Note | * The dilutions indicate recommended starting dilutions and the optimal dilutions or concentrations should be determined by the scientist. |
Properties
| Form | Liquid |
|---|---|
| Purification | Affinity purified. |
| Buffer | 50 mM Tris-Glycine (pH 7.4), 150 mM NaCl, 0.01% Sodium azide, 40% Glycerol and 0.05% BSA. |
| Preservative | 0.01% Sodium azide |
| Stabilizer | 40% Glycerol and 0.05% BSA |
| Concentration | Batch dependent |
| Storage Instruction | For continuous use, store undiluted antibody at 2-8°C for up to a week. For long-term storage, aliquot and store at -20°C or below. Storage in frost free freezers is not recommended. Avoid repeated freeze/thaw cycles. Suggest spin the vial prior to opening. The antibody solution should be gently mixed before use. |
| Note | For laboratory research only, not for drug, diagnostic or other use. |
Bioinformation
| Database Links | |
|---|---|
| Gene Symbol | CYP2D6 |
| Gene Full Name | cytochrome P450, family 2, subfamily D, polypeptide 6 |
| Background | This gene encodes a member of the cytochrome P450 superfamily of enzymes. The cytochrome P450 proteins are monooxygenases which catalyze many reactions involved in drug metabolism and synthesis of cholesterol, steroids and other lipids. This protein localizes to the endoplasmic reticulum and is known to metabolize as many as 25% of commonly prescribed drugs. Its substrates include antidepressants, antipsychotics, analgesics and antitussives, beta adrenergic blocking agents, antiarrythmics and antiemetics. The gene is highly polymorphic in the human population; certain alleles result in the poor metabolizer phenotype, characterized by a decreased ability to metabolize the enzyme's substrates. Some individuals with the poor metabolizer phenotype have no functional protein since they carry 2 null alleles whereas in other individuals the gene is absent. This gene can vary in copy number and individuals with the ultrarapid metabolizer phenotype can have 3 or more active copies of the gene. Alternatively spliced transcript variants encoding different isoforms have been found for this gene. [provided by RefSeq, Jul 2014] |
| Function | Responsible for the metabolism of many drugs and environmental chemicals that it oxidizes. It is involved in the metabolism of drugs such as antiarrhythmics, adrenoceptor antagonists, and tricyclic antidepressants. [UniProt] |
Images (3) Click the Picture to Zoom In
-
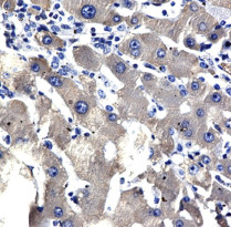
ARG43584 anti-CYP2D6 antibody IHC-P image
Immunohistochemistry: human liver cancer stained with ARG43584 anti-CYP2D6 antibody.
-
ARG43584 anti-CYP2D6 antibody ICC/IF image
Immunofluorescence: Hela stained with ARG43584 anti-CYP2D6 antibody.
-
ARG43584 anti-CYP2D6 antibody WB image
Western blot: Hela stained with ARG43584 anti-CYP2D6 antibody.
