ARG43085
anti-CaMKK alpha antibody
anti-CaMKK alpha antibody for IHC-Formalin-fixed paraffin-embedded sections,Western blot and Mouse,Rat
Overview
| Product Description | Rabbit Polyclonal antibody recognizes CaMKK alpha |
|---|---|
| Tested Reactivity | Ms, Rat |
| Tested Application | IHC-P, WB |
| Host | Rabbit |
| Clonality | Polyclonal |
| Isotype | IgG |
| Target Name | CaMKK alpha |
| Antigen Species | Mouse |
| Immunogen | Synthetic peptide corresponding to aa. 10-31 of Mouse CaMKK alpha. (QDPRAELVDRVAAINVAHLEEA) |
| Conjugation | Un-conjugated |
| Alternate Names | CaMKK alpha; CAMKKA; Calcium/calmodulin-dependent protein kinase kinase 1; CaM-KK 1; CaM-kinase kinase alpha; CaM-KK alpha; EC 2.7.11.17; CaM-kinase kinase 1; Calcium/calmodulin-dependent protein kinase kinase alpha; CaM-kinase IV kinase; CaMKK 1 |
Application Instructions
| Application Suggestion |
|
||||||
|---|---|---|---|---|---|---|---|
| Application Note | * The dilutions indicate recommended starting dilutions and the optimal dilutions or concentrations should be determined by the scientist. | ||||||
| Positive Control | Rat brain and Mouse brain | ||||||
| Observed Size | ~ 56 kDa |
Properties
| Form | Liquid |
|---|---|
| Purification | Affinity purification with immunogen. |
| Buffer | 0.2% Na2HPO4, 0.9% NaCl, 0.05% Thimerosal, 0.05% Sodium azide and 5% BSA. |
| Preservative | 0.05% Thimerosal and 0.05% Sodium azide |
| Stabilizer | 5% BSA |
| Concentration | 0.5 mg/ml |
| Storage Instruction | For continuous use, store undiluted antibody at 2-8°C for up to a week. For long-term storage, aliquot and store at -20°C or below. Storage in frost free freezers is not recommended. Avoid repeated freeze/thaw cycles. Suggest spin the vial prior to opening. The antibody solution should be gently mixed before use. |
| Note | For laboratory research only, not for drug, diagnostic or other use. |
Bioinformation
| Database Links |
Swiss-port # P97756 Rat Calcium/calmodulin-dependent protein kinase kinase 1 Swiss-port # Q8VBY2 Mouse Calcium/calmodulin-dependent protein kinase kinase 1 |
|---|---|
| Gene Symbol | CAMKK1 |
| Gene Full Name | calcium/calmodulin-dependent protein kinase kinase 1, alpha |
| Background | The product of this gene belongs to the Serine/Threonine protein kinase family, and to the Ca(2+)/calmodulin-dependent protein kinase subfamily. This protein plays a role in the calcium/calmodulin-dependent (CaM) kinase cascade. Three transcript variants encoding two distinct isoforms have been identified for this gene. [provided by RefSeq, Jul 2008] |
| Function | Calcium/calmodulin-dependent protein kinase that belongs to a proposed calcium-triggered signaling cascade involved in a number of cellular processes. Phosphorylates CAMK1, CAMK1D, CAMK1G and CAMK4. Involved in regulating cell apoptosis. Promotes cell survival by phosphorylating AKT1/PKB that inhibits pro-apoptotic BAD/Bcl2-antagonist of cell death. [UniProt] |
| Cellular Localization | Cytoplasm. Nucleus. [UniProt] |
| Calculated MW | 56 kDa |
| PTM | Appears to be autophosphorylated in a Ca(2+)/calmodulin-dependent manner. Phosphorylated at multiple sites by PRCAKA/PKA. Phosphorylation of Ser-458 is blocked upon binding to Ca(2+)/calmodulin. In vitro, phosphorylated by CAMK1 and CAMK4 (By similarity). [UniProt] |
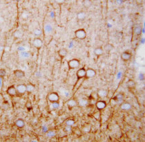
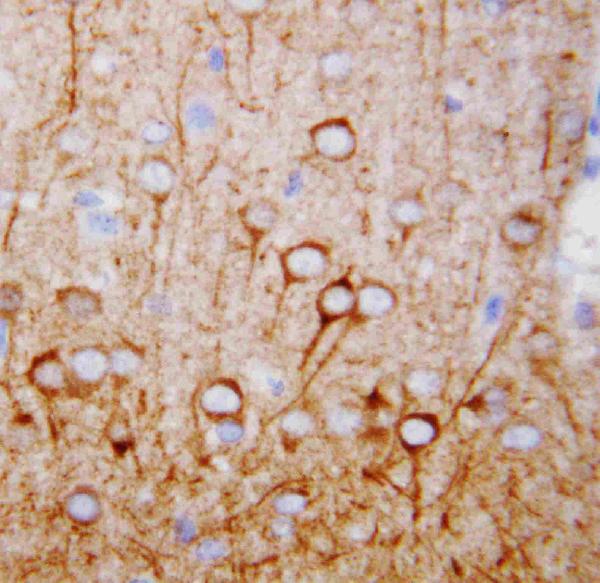
Images (2) Click the Picture to Zoom In
-
ARG43085 anti-CaMKK alpha antibody IHC-P image
Immunohistochemistry: Paraffin-embedded Rat brain tissue stained with ARG43085 anti-CaMKK alpha antibody.
-
ARG43085 anti-CaMKK alpha antibody WB image
Western blot: Rat brain (Lane 1, 2) and Mouse brain (Lane 3, 4) lysates stained with ARG43085 anti-CaMKK alpha antibody.
