ARG67259
anti-Cadherin 16 antibody [SQab30375]
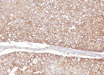
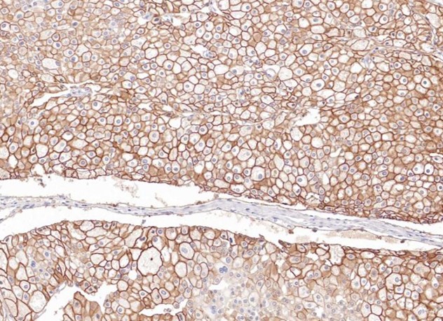
anti-Cadherin 16 antibody [SQab30375] for IHC-Formalin-fixed paraffin-embedded sections and Human
Overview
| Product Description | Rabbit Monoclonal antibody [SQab30375] recognizes Cadherin 16. |
|---|---|
| Tested Reactivity | Hu |
| Tested Application | IHC-P |
| Host | Rabbit |
| Clonality | Monoclonal |
| Clone | SQab30375 |
| Isotype | IgG |
| Target Name | Cadherin 16 |
| Immunogen | Synthetic peptide. |
| Conjugation | Un-conjugated |
| Alternate Names | Symbol: CDH16; Cadherin 16; Cadherin 16, KSP-Cadherin; Kidney-Specific Cadherin; Cadherin-16; KSP-Cadherin; Ksp-Cadherin |
Application Instructions
| Application Suggestion |
|
||||
|---|---|---|---|---|---|
| Application Note | * The dilutions indicate recommended starting dilutions and the optimal dilutions or concentrations should be determined by the scientist. |
Properties
| Form | Liquid |
|---|---|
| Purification | Affinity purification with immunogen. |
| Buffer | PBS, 0.01% Sodium azide, 40% Glycerol and 0.05% BSA. |
| Preservative | 0.01% Sodium azide |
| Stabilizer | 40% Glycerol and 0.05% BSA |
| Storage Instruction | For continuous use, store undiluted antibody at 2-8°C for up to a week. For long-term storage, aliquot and store at -20°C or below. Storage in frost free freezers is not recommended. Avoid repeated freeze/thaw cycles. Suggest spin the vial prior to opening. The antibody solution should be gently mixed before use. |
| Note | For laboratory research only, not for drug, diagnostic or other use. |
Bioinformation
| Database Links | |
|---|---|
| Gene Symbol | CDH16 |
| Gene Full Name | Cadherin 16 |
| Background | This gene is a member of the cadherin superfamily, genes encoding calcium-dependent, membrane-associated glycoproteins. Mapped to a previously identified cluster of cadherin genes on chromosome 16q22.1, the gene localizes with superfamily members CDH1, CDH3, CDH5, CDH8 and CDH11. The protein consists of an extracellular domain containing 6 cadherin domains, a transmembrane region and a truncated cytoplasmic domain but lacks the prosequence and tripeptide HAV adhesion recognition sequence typical of most classical cadherins. Expression is exclusively in kidney, where the protein functions as the principal mediator of homotypic cellular recognition, playing a role in the morphogenic direction of tissue development. Alternatively spliced transcript variants encoding distinct isoforms have been identified. [provided by RefSeq, Mar 2011] |
| Function | Cadherins are calcium-dependent cell adhesion proteins. They preferentially interact with themselves in a homophilic manner in connecting cells; cadherins may thus contribute to the sorting of heterogeneous cell types. [Uniprot] |
| Cellular Localization | Glycoprotein, Phosphoprotein. [Uniprot] |
| Calculated MW | 90 kDa |
| PTM | Cell membrane, Membrane. [Uniprot] |
Images (1) Click the Picture to Zoom In
