ARG67269
anti-Cadherin (pan) antibody [SQab30385]
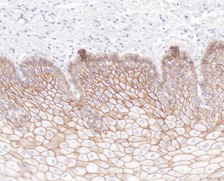
anti-Cadherin (pan) antibody [SQab30385] for IHC-Formalin-fixed paraffin-embedded sections and Human
Overview
| Product Description | Rabbit Monoclonal antibody [SQab30385] recognizes Cadherin (pan). |
|---|---|
| Tested Reactivity | Hu |
| Tested Application | IHC-P |
| Host | Rabbit |
| Clonality | Monoclonal |
| Clone | SQab30385 |
| Isotype | IgG |
| Target Name | Cadherin (pan) |
| Immunogen | Synthetic peptide. |
| Conjugation | Un-conjugated |
| Alternate Names | CDH1; Cadherin 1; Uvomorulin; CD324; UVO; Cadherin 1, Type 1, E-Cadherin (Epithelial); Epithelial Cadherin; E-Cadherin; Cadherin-1; CAM 120/80; CDHE; Calcium-Dependent Adhesion Protein, Epithelial; Epididymis Secretory Sperm Binding Protein; Cadherin 1, E-Cadherin (Epithelial); Cell-CAM 120/80; CD324 Antigen; E-Cadherin 1; Arc-1; BCDS1; ECAD; LCAM |
Application Instructions
| Application Suggestion |
|
||||
|---|---|---|---|---|---|
| Application Note | * The dilutions indicate recommended starting dilutions and the optimal dilutions or concentrations should be determined by the scientist. |
Properties
| Form | Liquid |
|---|---|
| Purification | Affinity purification with immunogen. |
| Buffer | PBS, 0.01% Sodium azide, 40% Glycerol and 0.05% BSA. |
| Preservative | 0.01% Sodium azide |
| Stabilizer | 40% Glycerol and 0.05% BSA |
| Storage Instruction | For continuous use, store undiluted antibody at 2-8°C for up to a week. For long-term storage, aliquot and store at -20°C or below. Storage in frost free freezers is not recommended. Avoid repeated freeze/thaw cycles. Suggest spin the vial prior to opening. The antibody solution should be gently mixed before use. |
| Note | For laboratory research only, not for drug, diagnostic or other use. |
Bioinformation
| Database Links | |
|---|---|
| Gene Symbol | CDH1 |
| Gene Full Name | Cadherin 1 |
| Background | This gene encodes a classical cadherin of the cadherin superfamily. Alternative splicing results in multiple transcript variants, at least one of which encodes a preproprotein that is proteolytically processed to generate the mature glycoprotein. This calcium-dependent cell-cell adhesion protein is comprised of five extracellular cadherin repeats, a transmembrane region and a highly conserved cytoplasmic tail. Mutations in this gene are correlated with gastric, breast, colorectal, thyroid and ovarian cancer. Loss of function of this gene is thought to contribute to cancer progression by increasing proliferation, invasion, and/or metastasis. The ectodomain of this protein mediates bacterial adhesion to mammalian cells and the cytoplasmic domain is required for internalization. This gene is present in a gene cluster with other members of the cadherin family on chromosome 16. [provided by RefSeq, Nov 2015] |
| Function | Serves as a receptor for Listeria monocytogenes; internalin A (InlA) binds to this protein and promotes uptake of the bacteria. [Uniprot] |
| Cellular Localization | Cell junction, Cell membrane, Cytoplasm, Endosome, Golgi apparatus, Membrane. [Uniprot] |
| Calculated MW | 97 kDa |
| PTM | Cleavage on pair of basic residues, Disulfide bond, Glycoprotein, Phosphoprotein, Ubl conjugation. [Uniprot] |
Images (1) Click the Picture to Zoom In
